验证数据展示
经过测试的应用
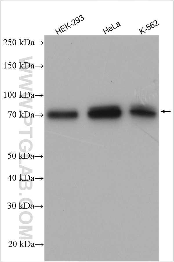
| Positive WB detected in | HEK-293 cells, HeLa cells, K-562 cells |
| Positive IHC detected in | human prostate cancer tissue Note: suggested antigen retrieval with TE buffer pH 9.0; (*) Alternatively, antigen retrieval may be performed with citrate buffer pH 6.0 |
推荐稀释比
| 应用 | 推荐稀释比 |
|---|---|
| Western Blot (WB) | WB : 1:500-1:2000 |
| Immunohistochemistry (IHC) | IHC : 1:50-1:500 |
| It is recommended that this reagent should be titrated in each testing system to obtain optimal results. | |
| Sample-dependent, Check data in validation data gallery. | |
产品信息
29167-1-AP targets TAK1 in WB, IHC, ELISA applications and shows reactivity with human samples.
| 经测试应用 | WB, IHC, ELISA Application Description |
| 经测试反应性 | human |
| 免疫原 |
CatNo: Ag30725 Product name: Recombinant human MAP3K7 protein Source: e coli.-derived, PGEX-4T Tag: GST Domain: 404-579 aa of BC017715 Sequence: GNGQPRRRSIQDLTVTGTEPGQVSSRSSSPSVRMITTSGPTSEKPTRSHPWTPDDSTDTNGSDNSIPMAYLTLDHQLQPLAPCPNSKESMAVFEQHCKMAQEYMKVQTEIALLLQRKQELVAELDQDEKDQQNTSRLVQEHKKLLDENKSLSTYYQQCKKQLEVIRSQQQKRQGTS 种属同源性预测 |
| 宿主/亚型 | Rabbit / IgG |
| 抗体类别 | Polyclonal |
| 产品类型 | Antibody |
| 全称 | mitogen-activated protein kinase kinase kinase 7 |
| 别名 | MAP3K7, EC:2.7.11.25, MAP3K 7, mitogen activated protein kinase kinase kinase 7, Mitogen-activated protein kinase kinase kinase 7 |
| 计算分子量 | 579 aa, 64 kDa |
| 观测分子量 | 64-70 kDa |
| GenBank蛋白编号 | BC017715 |
| 基因名称 | TAK1 |
| Gene ID (NCBI) | 6885 |
| RRID | AB_2918242 |
| 偶联类型 | Unconjugated |
| 形式 | Liquid |
| 纯化方式 | Antigen affinity purification |
| UNIPROT ID | O43318 |
| 储存缓冲液 | PBS with 0.02% sodium azide and 50% glycerol, pH 7.3. |
| 储存条件 | Store at -20°C. Stable for one year after shipment. Aliquoting is unnecessary for -20oC storage. |
背景介绍
MAP3K7(Mitogen-activated protein kinase kinase kinase 7) is also named as TAK1 and belongs to the MAP kinase kinase kinase subfamily. It plays an important role in the cascades of cellular responses evoked by changes in the environment. It has been linked to interleukin-1 receptor and tumor necrosis factor receptor signaling (PMID: 16186825). It has 4 isoforms (53-55 kDa, 64-70 kDa and 75-80 kDa) produced by alternative splicing.
实验方案
| Product Specific Protocols | |
|---|---|
| IHC protocol for TAK1 antibody 29167-1-AP | Download protocol |
| WB protocol for TAK1 antibody 29167-1-AP | Download protocol |
| Standard Protocols | |
|---|---|
| Click here to view our Standard Protocols |

