验证数据展示
经过测试的应用
| Positive WB detected in | HeLa cells |
| Positive IP detected in | HeLa cells |
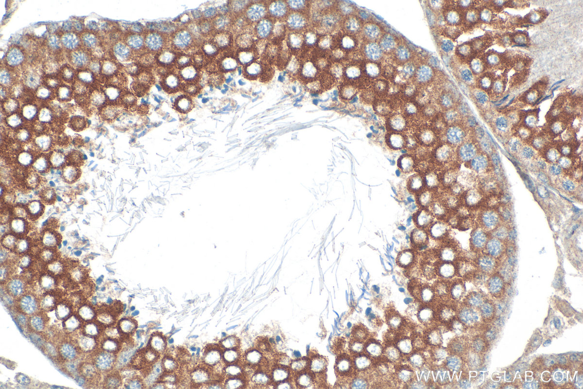
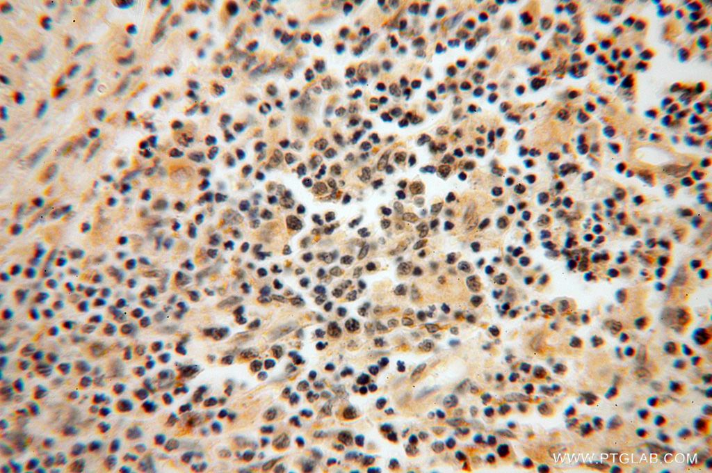
| Positive IHC detected in | rat testis tissue, human kidney tissue Note: suggested antigen retrieval with TE buffer pH 9.0; (*) Alternatively, antigen retrieval may be performed with citrate buffer pH 6.0 |
推荐稀释比
| 应用 | 推荐稀释比 |
|---|---|
| Western Blot (WB) | WB : 1:500-1:1000 |
| Immunoprecipitation (IP) | IP : 0.5-4.0 ug for 1.0-3.0 mg of total protein lysate |
| Immunohistochemistry (IHC) | IHC : 1:50-1:500 |
| It is recommended that this reagent should be titrated in each testing system to obtain optimal results. | |
| Sample-dependent, Check data in validation data gallery. | |
产品信息
17750-1-AP targets LSG1 in WB, IHC, IF, IP, ELISA applications and shows reactivity with human, rat samples.
| 经测试应用 | WB, IHC, IP, ELISA Application Description |
| 文献引用应用 | WB, IF |
| 经测试反应性 | human, rat |
| 文献引用反应性 | human |
| 免疫原 |
CatNo: Ag12016 Product name: Recombinant human LSG1 protein Source: e coli.-derived, PGEX-4T Tag: GST Domain: 260-658 aa of BC068500 Sequence: DRQSNTTEFGHSSFDQAEISHSESEHLPARDSPSLSENPTTDEDDSEYEDCPEEEEDDWQTCSEEDGPKEEDCSQDWKESSTADSEARSRKTPQKRQIHNFSHLVSKQELLELFKELHTGRKVKDGQLTVGLVGYPNVGKSSTINTIMGNKKVSVSATPGHTKHFQTLYVEPGLCLCDCPGLVMPSFVSTKAEMTCSGILPIDQMRDHVPPVSLVCQNIPRHVLEATYGINIITPREDEDPHRPPTSEELLTAYGYMRGFMTAHGQPDQPRSARYILKDYVSGKLLYCHPPPGRDPVTFQHQHQRLLENKMNSDEIKMQLGRNKKAKQIENIVDKTFFHQENVRALTKGVQAVMGYKPGSGVVTASTASSENGAGKPWKKHGNRNKKEKSRRLYKHLDM 种属同源性预测 |
| 宿主/亚型 | Rabbit / IgG |
| 抗体类别 | Polyclonal |
| 产品类型 | Antibody |
| 全称 | large subunit GTPase 1 homolog (S. cerevisiae) |
| 别名 | EC:3.6.1.-, hLsg1, LSG 1 |
| 计算分子量 | 658 aa, 75 kDa |
| 观测分子量 | 75 kDa |
| GenBank蛋白编号 | BC068500 |
| 基因名称 | LSG1 |
| Gene ID (NCBI) | 55341 |
| RRID | AB_2281443 |
| 偶联类型 | Unconjugated |
| 形式 | Liquid |
| 纯化方式 | Antigen affinity purification |
| UNIPROT ID | Q9H089 |
| 储存缓冲液 | PBS with 0.02% sodium azide and 50% glycerol, pH 7.3. |
| 储存条件 | Store at -20°C. Stable for one year after shipment. Aliquoting is unnecessary for -20oC storage. |
实验方案
| Product Specific Protocols | |
|---|---|
| IHC protocol for LSG1 antibody 17750-1-AP | Download protocol |
| IP protocol for LSG1 antibody 17750-1-AP | Download protocol |
| WB protocol for LSG1 antibody 17750-1-AP | Download protocol |
| Standard Protocols | |
|---|---|
| Click here to view our Standard Protocols |
发表文章
| Species | Application | Title |
|---|---|---|
Aging Cell Inhibition of the 60S ribosome biogenesis GTPase LSG1 causes endoplasmic reticular disruption and cellular senescence.
| ||
Mol Cell Biol The Ribosome Assembly Factor LSG1 Interacts with Vesicle-Associated Membrane Protein-Associated Proteins (VAPs) | ||
EMBO Mol Med Portimine A toxin causes skin inflammation through ZAKα-dependent NLRP1 inflammasome activation |





