验证数据展示
经过测试的应用
| Positive WB detected in | HeLa cells, MCF-7 cells, NIH/3T3 cells, mouse colon, mouse heart, rat heart |
| Positive IP detected in | HeLa cells |
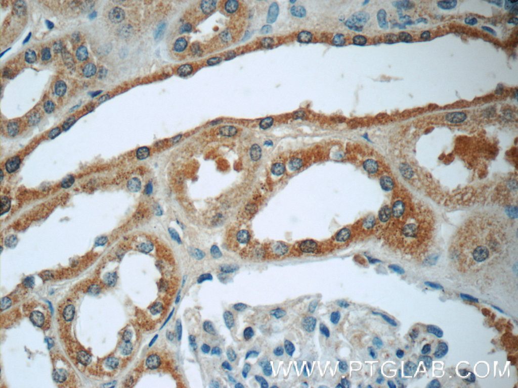
| Positive IHC detected in | human small intestine tissue, human kidney tissue Note: suggested antigen retrieval with TE buffer pH 9.0; (*) Alternatively, antigen retrieval may be performed with citrate buffer pH 6.0 |
| Positive IF/ICC detected in | HeLa cells, A549 cells |
推荐稀释比
| 应用 | 推荐稀释比 |
|---|---|
| Western Blot (WB) | WB : 1:2000-1:10000 |
| Immunoprecipitation (IP) | IP : 0.5-4.0 ug for 1.0-3.0 mg of total protein lysate |
| Immunohistochemistry (IHC) | IHC : 1:20-1:200 |
| Immunofluorescence (IF)/ICC | IF/ICC : 1:200-1:800 |
| It is recommended that this reagent should be titrated in each testing system to obtain optimal results. | |
| Sample-dependent, Check data in validation data gallery. | |
产品信息
25045-1-AP targets LPP in WB, IHC, IF/ICC, IP, ELISA applications and shows reactivity with human, mouse, rat samples.
| 经测试应用 | WB, IHC, IF/ICC, IP, ELISA Application Description |
| 文献引用应用 | WB, IHC, IF |
| 经测试反应性 | human, mouse, rat |
| 文献引用反应性 | human |
| 免疫原 |
CatNo: Ag19205 Product name: Recombinant human LPP protein Source: e coli.-derived, PGEX-4T Tag: GST Domain: 1-350 aa of BC130584 Sequence: MSHPSWLPPKSTGEPLGHVPARMETTHSFGNPSISVSTQQPPKKFAPVVAPKPKYNPYKQPGGEGDFLPPPPPPLDDSSALPSISGNFPPPPPLDEEAFKVQGNPGGKTLEERRSSLDAEIDSLTSILADLECSSPYKPRPPQSSTGSTASPPVSTPVTGHKRMVIPNQPPLTATKKSTLKPQPAPQAGPIPVAPIGTLKPQPQPVPASYTTASTSSRPTFNVQVKSAQPSPHYMAAPSSGQIYGSGPQGYNTQPVPVSGQCPPPSTRGGMDYAYIPPPGLQPEPGYGYAPNQGRYYEGYYAAGPGYGGRNDSDPTYGQQGHPNTWKREPGYTPPGAGNQNPPGMYPVTG 种属同源性预测 |
| 宿主/亚型 | Rabbit / IgG |
| 抗体类别 | Polyclonal |
| 产品类型 | Antibody |
| 全称 | LIM domain containing preferred translocation partner in lipoma |
| 别名 | LIM domain-containing preferred translocation partner in lipoma, Lipoma preferred partner, Lipoma-preferred partner |
| 计算分子量 | 612 aa, 66 kDa |
| 观测分子量 | 70-75 kDa |
| GenBank蛋白编号 | BC130584 |
| 基因名称 | LPP |
| Gene ID (NCBI) | 4026 |
| RRID | AB_2879869 |
| 偶联类型 | Unconjugated |
| 形式 | Liquid |
| 纯化方式 | Antigen affinity purification |
| UNIPROT ID | Q93052 |
| 储存缓冲液 | PBS with 0.02% sodium azide and 50% glycerol, pH 7.3. |
| 储存条件 | Store at -20°C. Stable for one year after shipment. Aliquoting is unnecessary for -20oC storage. |
背景介绍
LPP is a member of a subfamily of LIM domain proteins. Its characteristic is that the N-terminal region is rich in proline, and it has three C-terminal LIM domains. LPP localizes to the cell periphery in focal adhesions and may be involved in cell-cell adhesion and cell motility(PMID: 10637295). LPP is located at the junction of certain disease-related chromosomal translocations, which result in the expression of chimeric proteins that may promote tumor growth(PMID: 12581855).
实验方案
| Product Specific Protocols | |
|---|---|
| IF protocol for LPP antibody 25045-1-AP | Download protocol |
| IHC protocol for LPP antibody 25045-1-AP | Download protocol |
| IP protocol for LPP antibody 25045-1-AP | Download protocol |
| WB protocol for LPP antibody 25045-1-AP | Download protocol |
| Standard Protocols | |
|---|---|
| Click here to view our Standard Protocols |










