验证数据展示
经过测试的应用
| Positive WB detected in | pig stomach tissue, HepG2 cells |
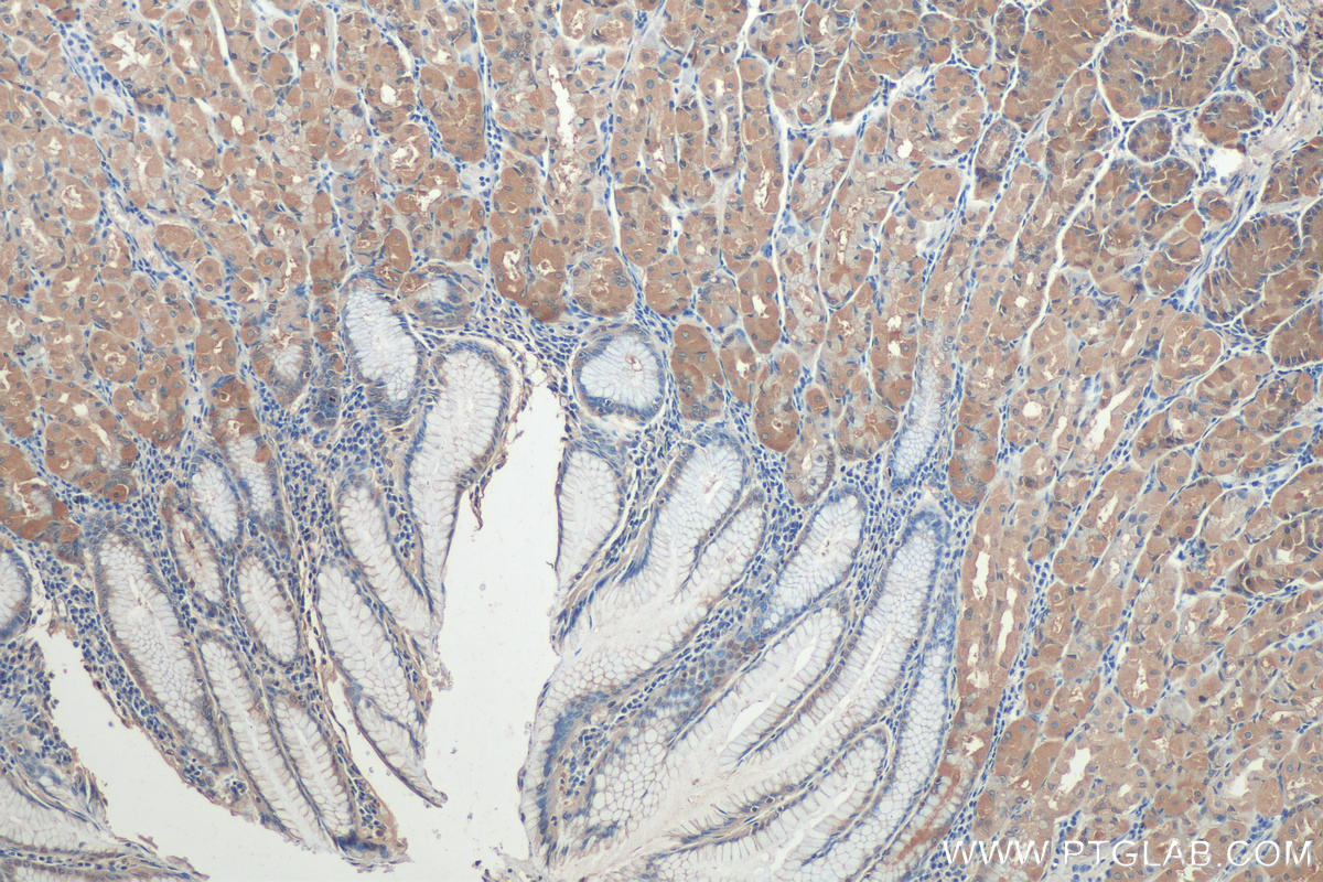
| Positive IHC detected in | human stomach tissue, human small intestine tissue Note: suggested antigen retrieval with TE buffer pH 9.0; (*) Alternatively, antigen retrieval may be performed with citrate buffer pH 6.0 |
推荐稀释比
| 应用 | 推荐稀释比 |
|---|---|
| Western Blot (WB) | WB : 1:1000-1:6000 |
| Immunohistochemistry (IHC) | IHC : 1:150-1:600 |
| It is recommended that this reagent should be titrated in each testing system to obtain optimal results. | |
| Sample-dependent, Check data in validation data gallery. | |
产品信息
67882-1-Ig targets LPCAT3 in WB, IHC, IF, ELISA applications and shows reactivity with human, pig samples.
| 经测试应用 | WB, IHC, ELISA Application Description |
| 文献引用应用 | WB, IF |
| 经测试反应性 | human, pig |
| 文献引用反应性 | human, rat, bovine |
| 免疫原 |
CatNo: Ag6472 Product name: Recombinant human LPCAT3 protein Source: e coli.-derived, PET28a Tag: 6*His Domain: 122-233 aa of BC065194 Sequence: MAYLLAGYYYTATGNYDIKWTMPHCVLTLKLIGLAVDYFDGGKDQNSLSSEQQKYAIRGVPSLLEVAGFSYFYGAFLVGPQFSMNHYMKLVQGELIDIPGKIPNSIIPALKR 种属同源性预测 |
| 宿主/亚型 | Mouse / IgG1 |
| 抗体类别 | Monoclonal |
| 产品类型 | Antibody |
| 全称 | lysophosphatidylcholine acyltransferase 3 |
| 别名 | 1-acylglycerophosphocholine O-acyltransferase, 1-acylglycerophosphoethanolamine O-acyltransferase, 1-acylglycerophosphoserine O-acyltransferase, 1C1G3, C3F |
| 计算分子量 | 56 kDa |
| 观测分子量 | 56 kDa |
| GenBank蛋白编号 | BC065194 |
| 基因名称 | LPCAT3 |
| Gene ID (NCBI) | 10162 |
| RRID | AB_2918639 |
| 偶联类型 | Unconjugated |
| 形式 | Liquid |
| 纯化方式 | Protein G purification |
| UNIPROT ID | Q6P1A2 |
| 储存缓冲液 | PBS with 0.02% sodium azide and 50% glycerol, pH 7.3. |
| 储存条件 | Store at -20°C. Stable for one year after shipment. Aliquoting is unnecessary for -20oC storage. |
背景介绍
Lysophosphatidylcholine acyltransferases (LPCATs) are among the lysophopholipid acyltransferases (LPLATs) that play an important role in lipid metabolism and homeostasis by regulating the abundance of different phosphatidylcholine (PC) species. Lysophosphatidylcholine acyltransferase 3 (LPCAT3) is a member of the LPCAT family that primarily regulates the levels of arachidonic PC species. LPCAT3 is abundantly expressed in the testes, kidneys, and metabolic tissues, including the liver, intestine, and adipose tissues. LPCAT3 is involved in the occurrence and development of atherosclerosis, intestinal tumors, and nonalcoholic steatohepatitis (NASH)(PMID: 35711841).
实验方案
| Product Specific Protocols | |
|---|---|
| IHC protocol for LPCAT3 antibody 67882-1-Ig | Download protocol |
| WB protocol for LPCAT3 antibody 67882-1-Ig | Download protocol |
| Standard Protocols | |
|---|---|
| Click here to view our Standard Protocols |
发表文章
| Species | Application | Title |
|---|---|---|
J Adv Res Modulation of Macrophage ferroptosis under the guide of infrared thermography promotes the healing of pressure injuries | ||
J Immunother Cancer Mefloquine enhances the efficacy of anti-PD-1 immunotherapy via IFN-γ-STAT1-IRF1-LPCAT3-induced ferroptosis in tumors
| ||
Free Radic Biol Med Role of ferroptosis mediated by abnormal membrane structure in DEHP-induced reproductive injury | ||
Phytomedicine Rosmarinic acid liposomes suppress ferroptosis in ischemic brain via inhibition of TfR1 in BMECs | ||
Phytomedicine MaiJiTong granule attenuates atherosclerosis by reducing ferroptosis via activating STAT6-mediated inhibition of DMT1 and SOCS1/p53 pathways in LDLR-/- mice | ||
J Cell Biol The deubiquitinase ZRANB1 is an E3 ubiquitin ligase for SLC7A11 and regulates ferroptotic resistance |





