验证数据展示
产品信息
66044-1-PBS targets LPCAT1 as part of a matched antibody pair:
MP50776-2: 66044-1-PBS capture and 66044-3-PBS detection (validated in Cytometric bead array)
MP50776-3: 66044-1-PBS capture and 66044-2-PBS detection (validated in Cytometric bead array)
Unconjugated mouse monoclonal antibody pair in PBS only (BSA and azide free) storage buffer at a concentration of 1 mg/mL, ready for conjugation.
This conjugation ready format makes antibodies ideal for use in many applications including: ELISAs, multiplex assays requiring matched pairs, mass cytometry, and multiplex imaging applications.Antibody use should be optimized by the end user for each application and assay.
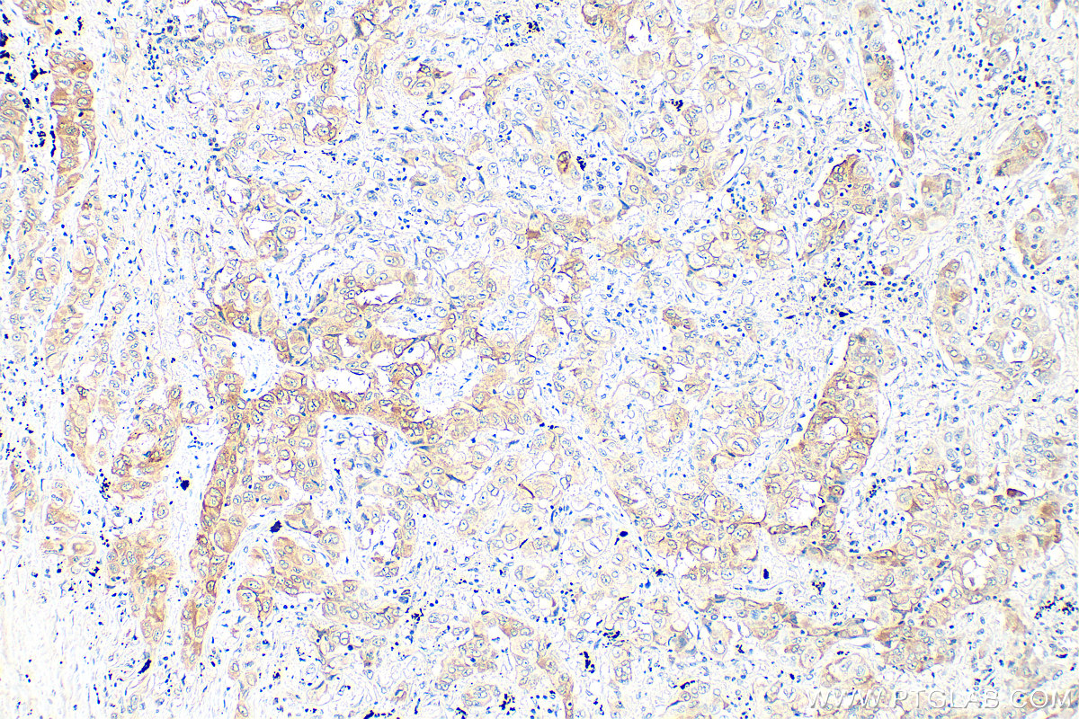
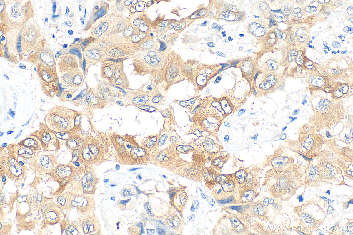
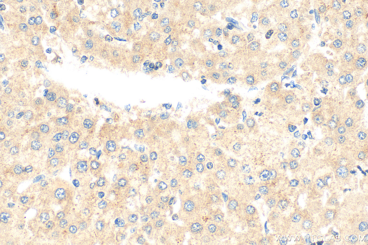
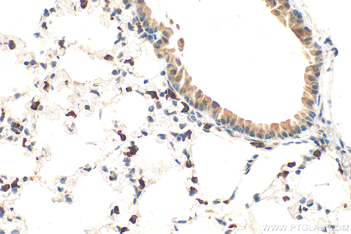
| 经测试应用 | WB, IHC, IF/ICC, IF-P, Cytometric bead array, Indirect ELISA Application Description |
| 经测试反应性 | human, mouse, rat |
| 免疫原 |
CatNo: Ag9060 Product name: Recombinant human LPCAT1 protein Source: e coli.-derived, PET28a Tag: 6*His Domain: 51-395 aa of BC020166 Sequence: IKRRAQSNGKWPQIMIFPEGTCTNRTCLITFKPGAFIPGAPVQPVVLRYPNKLDTITWTWQGPGALEILWLTLCQFHNQVEIEFLPVYSPSEEEKRNPALYASNVRRVMAEALGVSVTDYTFEDCQLALAEGQLRLPADTCLLEFARLVRGLGLKPEKLEKDLDRYSERARMKGGEKIGIAEFAASLEVPVSDLLEDMFSLFDESGSGEVDLRECVVALSVVCRPARTLDTIQLAFKMYGAQEDGSVGEGDLSCILKTALGVAELTVTDLFRAIDQEEKGKITFADFHRFAEMYPAFAEEYLYPDQTHFESCAETSPAPIPNGFCADFSPENSDAGRKPVRKKLD 种属同源性预测 |
| 宿主/亚型 | Mouse / IgG2b |
| 抗体类别 | Monoclonal |
| 产品类型 | Antibody |
| 全称 | lysophosphatidylcholine acyltransferase 1 |
| 别名 | 1-acylglycerol-3-phosphate O-acyltransferase, 1-acylglycerophosphocholine O-acyltransferase, 1-alkenylglycerophosphocholine O-acyltransferase, 1-alkylglycerophosphocholine O-acetyltransferase, 8B6E9 |
| 计算分子量 | 534 aa, 59 kDa |
| 观测分子量 | 55 kDa |
| GenBank蛋白编号 | BC020166 |
| 基因名称 | LPCAT1 |
| Gene ID (NCBI) | 79888 |
| RRID | AB_11045658 |
| 偶联类型 | Unconjugated |
| 形式 | Liquid |
| 纯化方式 | Protein A purification |
| UNIPROT ID | Q8NF37 |
| 储存缓冲液 | PBS only, pH 7.3. |
| 储存条件 | Store at -80°C. The product is shipped with ice packs. Upon receipt, store it immediately at -80°C |
背景介绍
LPCAT1, also named as AYTL2, PFAAP3 and LysoPAFAT, belongs to the 1-acyl-sn-glycerol-3-phosphate acyltransferase family. It is a key enzyme for remodeling phospholipids, including phosphatidylcholine. The expression level of LPCAT1 is able to differentiate prostate cancer from noncancerous prostatic changes, and correlates to the tumor grade of prostate cancer. LPCAT1 possesses both acyltransferase and acetyltransferase activities. It mediates the conversion of 1-acyl-sn-glycero-3-phosphocholine (LPC) into phosphatidylcholine (PC).














