验证数据展示
经过测试的应用
| Positive WB detected in | MKN-45 cells, mouse stomach tissue |
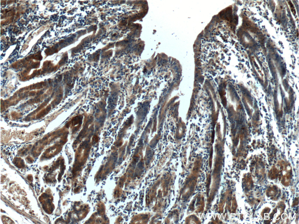
| Positive IHC detected in | human stomach tissue, human liver tissue Note: suggested antigen retrieval with TE buffer pH 9.0; (*) Alternatively, antigen retrieval may be performed with citrate buffer pH 6.0 |
推荐稀释比
| 应用 | 推荐稀释比 |
|---|---|
| Western Blot (WB) | WB : 1:200-1:1000 |
| Immunohistochemistry (IHC) | IHC : 1:50-1:500 |
| It is recommended that this reagent should be titrated in each testing system to obtain optimal results. | |
| Sample-dependent, Check data in validation data gallery. | |
产品信息
25889-1-AP targets LIPF in WB, IHC, ELISA applications and shows reactivity with human, mouse samples.
| 经测试应用 | WB, IHC, ELISA Application Description |
| 经测试反应性 | human, mouse |
| 免疫原 |
CatNo: Ag23149 Product name: Recombinant human LIPF protein Source: e coli.-derived, PGEX-4T Tag: GST Domain: 299-398 aa of BC112272 Sequence: KSGKFQAYDWGSPVQNRMHYDQSQPPYYNVTAMNVPIAVWNGGKDLLADPQDVGLLLPKLPNLIYHKEIPFYNHLDFIWAMDAPQEVYNDIVSMISEDKK 种属同源性预测 |
| 宿主/亚型 | Rabbit / IgG |
| 抗体类别 | Polyclonal |
| 产品类型 | Antibody |
| 全称 | lipase, gastric |
| 别名 | lipase, gastric, HLAL, HGL, GL, Gastric lipase |
| 观测分子量 | 49 kDa |
| GenBank蛋白编号 | BC112272 |
| 基因名称 | LIPF |
| Gene ID (NCBI) | 8513 |
| RRID | AB_2880284 |
| 偶联类型 | Unconjugated |
| 形式 | Liquid |
| 纯化方式 | Antigen affinity purification |
| UNIPROT ID | P07098 |
| 储存缓冲液 | PBS with 0.02% sodium azide and 50% glycerol, pH 7.3. |
| 储存条件 | Store at -20°C. Stable for one year after shipment. Aliquoting is unnecessary for -20oC storage. |
背景介绍
gastric lipase, is an enzyme involved in the digestion of dietary triglycerides in the gastrointestinal tract, and responsible for 30% of fat digestion processes occurring in human. It is secreted by gastric chief cells in the fundic mucosa of the stomach, and it hydrolyzes the ester bonds of triglycerides under acidic pH conditions.
实验方案
| Product Specific Protocols | |
|---|---|
| IHC protocol for LIPF antibody 25889-1-AP | Download protocol |
| WB protocol for LIPF antibody 25889-1-AP | Download protocol |
| Standard Protocols | |
|---|---|
| Click here to view our Standard Protocols |











