验证数据展示
经过测试的应用
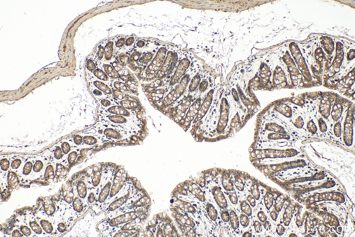
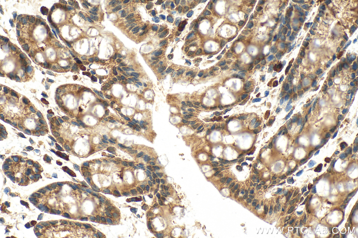
| Positive IHC detected in | mouse colon tissue, human brain tissue Note: suggested antigen retrieval with TE buffer pH 9.0; (*) Alternatively, antigen retrieval may be performed with citrate buffer pH 6.0 |
| Positive IF/ICC detected in | HeLa cells |
推荐稀释比
| 应用 | 推荐稀释比 |
|---|---|
| Immunohistochemistry (IHC) | IHC : 1:50-1:500 |
| Immunofluorescence (IF)/ICC | IF/ICC : 1:200-1:800 |
| It is recommended that this reagent should be titrated in each testing system to obtain optimal results. | |
| Sample-dependent, Check data in validation data gallery. | |
发表文章中的应用
| IHC | See 2 publications below |
| IP | See 1 publications below |
产品信息
19699-1-AP targets LIMK1 in IHC, IF/ICC, IP, ELISA applications and shows reactivity with human, mouse samples.
| 经测试应用 | IHC, IF/ICC, ELISA Application Description |
| 文献引用应用 | IHC, IP |
| 经测试反应性 | human, mouse |
| 文献引用反应性 | human, mouse |
| 免疫原 |
Peptide 种属同源性预测 |
| 宿主/亚型 | Rabbit / IgG |
| 抗体类别 | Polyclonal |
| 产品类型 | Antibody |
| 全称 | LIM domain kinase 1 |
| 别名 | EC:2.7.11.1, LIM domain kinase 1, LIMK, LIMK 1, LIMK-1 |
| 计算分子量 | 73 kDa |
| GenBank蛋白编号 | NM_002314 |
| 基因名称 | LIMK1 |
| Gene ID (NCBI) | 3984 |
| RRID | AB_10696174 |
| 偶联类型 | Unconjugated |
| 形式 | Liquid |
| 纯化方式 | Antigen affinity purification |
| UNIPROT ID | P53667 |
| 储存缓冲液 | PBS with 0.02% sodium azide and 50% glycerol, pH 7.3. |
| 储存条件 | Store at -20°C. Stable for one year after shipment. Aliquoting is unnecessary for -20oC storage. |
背景介绍
LIMK1,also named LIMK, belongs to the protein kinase superfamily and TKL Ser/Thr protein kinase family. LIMK1 is a protein kinase which regulates actin filament dynamics. Phosphorylates and inactivates the actin binding/depolymerizing factor cofilin, thereby stabilizing the actin cytoskeleton. Isoform 3 has a dominant negative effect on actin cytoskeletal changes. LIMK1 may be involved in brain development. The antibody has no cross-reaction with LIMK2.
实验方案
| Product Specific Protocols | |
|---|---|
| IF protocol for LIMK1 antibody 19699-1-AP | Download protocol |
| IHC protocol for LIMK1 antibody 19699-1-AP | Download protocol |
| Standard Protocols | |
|---|---|
| Click here to view our Standard Protocols |
发表文章
| Species | Application | Title |
|---|---|---|
Cell Death Dis Imbalanced LIMK1 and LIMK2 expression leads to human colorectal cancer progression and metastasis via promoting β-catenin nuclear translocation. | ||
Cancer Med MiR-145 inhibits human colorectal cancer cell migration and invasion via PAK4-dependent pathway. | ||
Cell Death Discov FMNL2 suppresses cell migration and invasion of breast cancer: a reduction of cytoplasmic p27 via RhoA/LIMK/Cofilin pathway. | ||
Mol Carcinog LKB1 loss promotes colorectal cancer cell metastasis through regulating TNIK expression and actin cytoskeleton remodeling |




