验证数据展示
经过测试的应用
| Positive WB detected in | Jurkat cells, K-562 cells, mouse spleen tissue | 
| Positive IP detected in | Jurkat cells | 
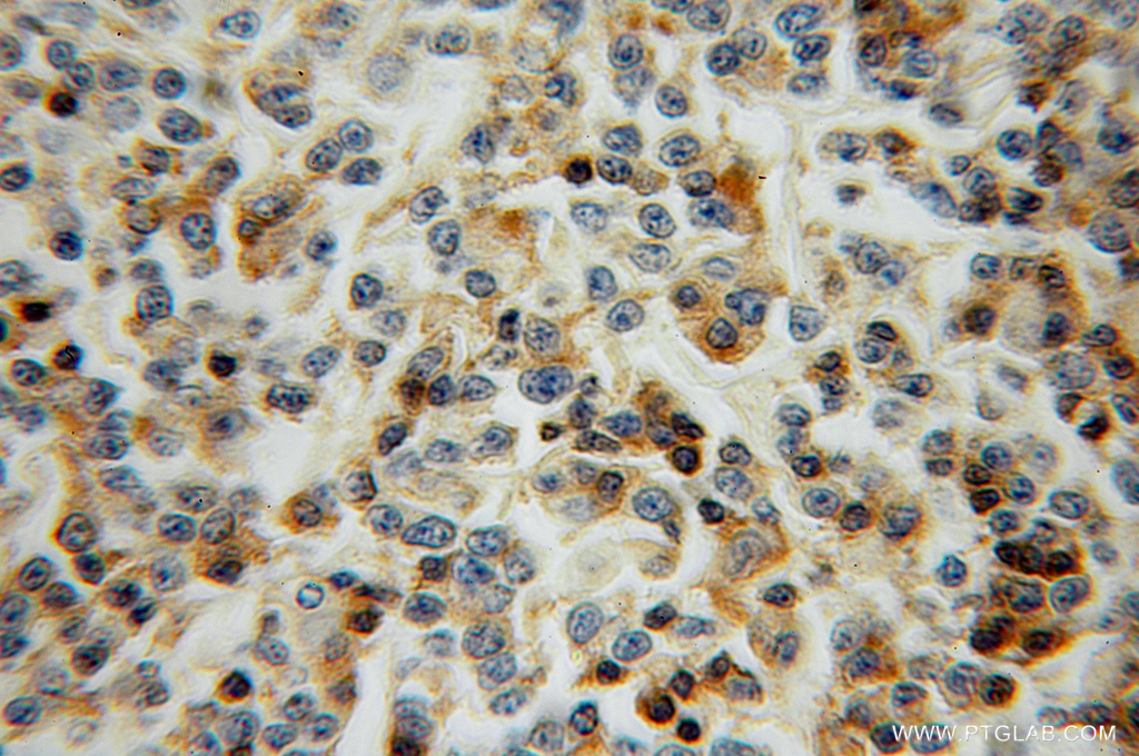
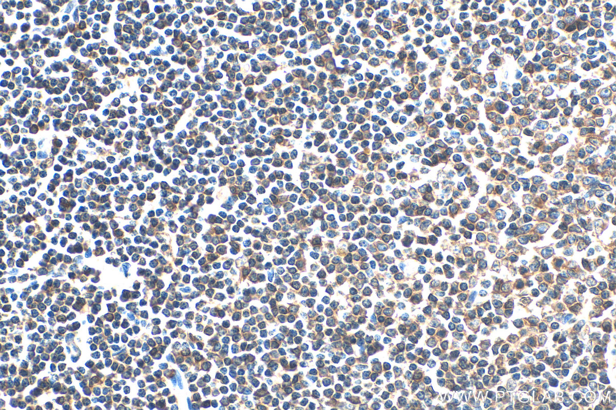
| Positive IHC detected in | human lymphoma tissue,  human small intestine tissue Note: suggested antigen retrieval with TE buffer pH 9.0; (*) Alternatively, antigen retrieval may be performed with citrate buffer pH 6.0 | 
推荐稀释比
| 应用 | 推荐稀释比 | 
|---|---|
| Western Blot (WB) | WB : 1:500-1:2000 | 
| Immunoprecipitation (IP) | IP : 0.5-4.0 ug for 1.0-3.0 mg of total protein lysate | 
| Immunohistochemistry (IHC) | IHC : 1:20-1:200 | 
| It is recommended that this reagent should be titrated in each testing system to obtain optimal results. | |
| Sample-dependent, Check data in validation data gallery. | |
产品信息
13025-1-AP targets L-Plastin in WB, IHC, IF, IP, ELISA applications and shows reactivity with human, mouse, rat samples.
| 经测试应用 | WB, IHC, IP, ELISA Application Description | 
| 文献引用应用 | WB, IHC, IF | 
| 经测试反应性 | human, mouse, rat | 
| 文献引用反应性 | human, mouse, monkey, zebrafish, hamster | 
| 免疫原 | CatNo: Ag3571 Product name: Recombinant human LCP1 protein Source: e coli.-derived, PGEX-4T Tag: GST Domain: 278-627 aa of BC010271 Sequence: LENAGCNKIGNFSTDIKDSKAYYHLLEQVAPKGDEEGVPAVVIDMSGLREKDDIQRAECMLQQAERLGCRQFVTATDVVRGNPKLNLAFIANLFNRYPALHKPENQDIDWGALEGETREERTFRNWMNSLGVNPRVNHLYSDLSDALVIFQLYEKIKVPVDWNRVNKPPYPKLGGNMKKLENCNYAVELGKNQAKFSLVGIGGQDLNEGNRTLTLALIWQLMRRYTLNILEEIGGGQKVNDDIIVNWVNETLREAEKSSSISSFKDPKISTSLPVLDLIDAIQPGSINYDLLKTENLNDDEKLNNAKYAISMARKIGARVYALPEDLVEVNPKMVMTVFACLMGKGMKRV种属同源性预测 | 
| 宿主/亚型 | Rabbit / IgG | 
| 抗体类别 | Polyclonal | 
| 产品类型 | Antibody | 
| 全称 | lymphocyte cytosolic protein 1 (L-plastin) | 
| 别名 | LCP1, L PLASTIN, LCP 1, LCP-1, LPL | 
| 计算分子量 | 627 aa, 64 kDa | 
| 观测分子量 | 64-70 kDa | 
| GenBank蛋白编号 | BC010271 | 
| 基因名称 | L-Plastin | 
| Gene ID (NCBI) | 3936 | 
| RRID | AB_2136871 | 
| 偶联类型 | Unconjugated | 
| 形式 | Liquid | 
| 纯化方式 | Antigen affinity purification | 
| UNIPROT ID | P13796 | 
| 储存缓冲液 | PBS with 0.02% sodium azide and 50% glycerol, pH 7.3. | 
| 储存条件 | Store at -20°C. Stable for one year after shipment. Aliquoting is unnecessary for -20oC storage. | 
背景介绍
LCP1, also known as L-Plastin, is a member of the Plastin gene family. The family members include L-Plastin (LCP1), T-Plastin (PLS3), and I-Plastin (PLS1), which can regulate the dynamic reorganization of the cytoskeleton by binding and cross-linking actin filaments. In lymphocytes, LCP1 can regulate immune responses, especially during inflammation and infection. It acts as a key regulator of T-cell activation by responding to co-stimulatory signals through TCR/CD3 and CD2 or CD28, and regulates the cell-surface expression of IL2RA/CD25 and CD69 (PMID: 17294403).
实验方案
| Product Specific Protocols | |
|---|---|
| IHC protocol for L-Plastin antibody 13025-1-AP | Download protocol | 
| IP protocol for L-Plastin antibody 13025-1-AP | Download protocol | 
| WB protocol for L-Plastin antibody 13025-1-AP | Download protocol | 
| Standard Protocols | |
|---|---|
| Click here to view our Standard Protocols | 
发表文章
| Species | Application | Title | 
|---|---|---|
| Sci Signal A hepatokine derived from the ER protein CREBH promotes triglyceride metabolism by stimulating lipoprotein lipase activity | ||
| Mol Ther Nucleic Acids Exosomal Transfer of LCP1 Promotes Osteosarcoma Cell Tumorigenesis and Metastasis by Activating the JAK2/STAT3 Signaling Pathway. | ||
| J Cell Sci Iterative Bleaching Extends Multiplexity (IBEX) facilitates simultaneous identification of all major retinal cell types | ||
| Cancer Biomark LCP1 is a prognostic biomarker correlated with immune infiltrates in gastric cancer | ||
| Drug Dev Res Therapeutic role of Artemether in the prevention of hepatic steatosis through miR-34a-5p/PPARα pathway | ||







