验证数据展示
产品信息
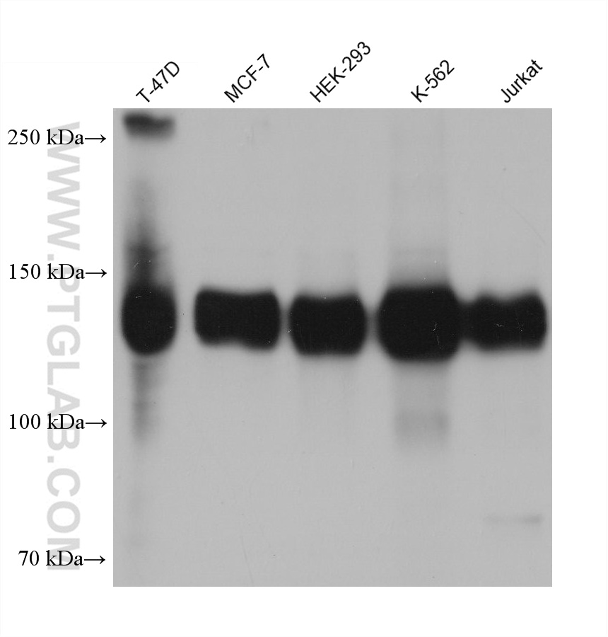
66569-1-PBS targets LATS1 in WB, Indirect ELISA applications and shows reactivity with human samples.
| 经测试应用 | WB, Indirect ELISA Application Description |
| 经测试反应性 | human |
| 免疫原 |
CatNo: Ag11140 Product name: Recombinant human LATS1 protein Source: e coli.-derived, PET28a Tag: 6*His Domain: 1-135 aa of BC015665 Sequence: MKRSEKPEGYRQMRPKTFPASNYTVSSRQMLQEIRESLRNLSKPSDAAKAEHNMSKMSTEDPRQVRNPPKFGTHHKALQEIRNSLLPFANETNSSRSTSEVNPQMLQDLQAAGFDEEDHLSVACSPISLTKPFLI 种属同源性预测 |
| 宿主/亚型 | Mouse / IgG1 |
| 抗体类别 | Monoclonal |
| 产品类型 | Antibody |
| 全称 | LATS, large tumor suppressor, homolog 1 (Drosophila) |
| 别名 | 2A8F1, EC:2.7.11.1, h-warts, LATS 1, Serine/threonine-protein kinase LATS1 |
| 计算分子量 | 15 kDa, 127 kDa |
| 观测分子量 | 140-150 kDa, 120 kDa |
| GenBank蛋白编号 | BC015665 |
| 基因名称 | LATS1 |
| Gene ID (NCBI) | 9113 |
| RRID | AB_2881930 |
| 偶联类型 | Unconjugated |
| 形式 | Liquid |
| 纯化方式 | Protein G purification |
| UNIPROT ID | Q6PJG3 |
| 储存缓冲液 | PBS only, pH 7.3. |
| 储存条件 | Store at -80°C. The product is shipped with ice packs. Upon receipt, store it immediately at -80°C |
背景介绍
LATS1(Large tumor suppressor homolog 1) is also named as WARTS and belongds to the AGC Ser/Thr protein kinase family. The gene encodes a highly conserved (from fly to human) protein kinase that plays a crucial role in the prevention of tumor formation by controlling the progression of mitosis. The expression of both long(170 kDa) and short lats1 isoforms(120 kDa) in vertebrate retinal cells raises the possibility that these lats1 proteins may act as negative key regulators of the cell cycle each of them performing a unique role (PMID:15777619). In mammalian cells, LATS1 was phosphorylated in a cell cycle-dependent manner and complexed with CDC2 in early mitosis (PMID:9988268). LATS1 also can be detected as 120 kDa and 140-150 kDa, and play a key role in the regulation of Hippo pathway (PMID: 27940445).





