验证数据展示
经过测试的应用
| Positive WB detected in | HepG2 cells, human heart tissue, HeLa cells |
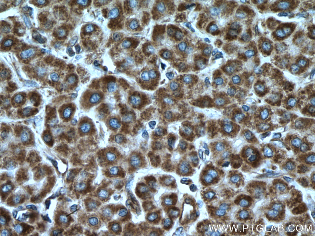
| Positive IHC detected in | human liver cancer tissue Note: suggested antigen retrieval with TE buffer pH 9.0; (*) Alternatively, antigen retrieval may be performed with citrate buffer pH 6.0 |
| Positive IF-P detected in | mouse liver tissue |
推荐稀释比
| 应用 | 推荐稀释比 |
|---|---|
| Western Blot (WB) | WB : 1:1000-1:4000 |
| Immunohistochemistry (IHC) | IHC : 1:50-1:500 |
| Immunofluorescence (IF)-P | IF-P : 1:50-1:500 |
| It is recommended that this reagent should be titrated in each testing system to obtain optimal results. | |
| Sample-dependent, Check data in validation data gallery. | |
产品信息
18195-1-AP targets LACTB in WB, IHC, IF-P, IP, CoIP, ELISA applications and shows reactivity with human samples.
| 经测试应用 | WB, IHC, IF-P, ELISA Application Description |
| 文献引用应用 | WB, IHC, IF, IP, CoIP |
| 经测试反应性 | human |
| 文献引用反应性 | human, mouse |
| 免疫原 |
CatNo: Ag12233 Product name: Recombinant human LACTB protein Source: e coli.-derived, PET28a Tag: 6*His Domain: 73-373 aa of BC067288 Sequence: DPEASPLAEPPQEQSLAPWSPQTPAPPCSRCFARAIESSRDLLHRIKDEVGAPGIVVGVSVDGKEVWSEGLGYADVENRVPCKPETVMRIASISKSLTMVALAKLWEAGKLDLDIPVQHYVPEFPEKEYEGEKVSVTTRLLISHLSGIRHYEKDIKKVKEEKAYKALKMMKENVAFEQEKEGKSNEKNDFTKFKTEQENEAKCRNSKPGKKKNDFEQGELYLREKFENSIESLRLFKNDPLFFKPGSQFLYSTFGYTLLAAIVERASGCKYLDYMQKIFHDLDMLTTVQEENEPVIYNRAR 种属同源性预测 |
| 宿主/亚型 | Rabbit / IgG |
| 抗体类别 | Polyclonal |
| 产品类型 | Antibody |
| 全称 | lactamase, beta |
| 别名 | EC:3.4.-.-, G24, lactamase, beta, MRPL56, Serine beta-lactamase-like protein LACTB, mitochondrial |
| 计算分子量 | 547 aa, 61 kDa |
| 观测分子量 | 50-60 kDa |
| GenBank蛋白编号 | BC067288 |
| 基因名称 | LACTB |
| Gene ID (NCBI) | 114294 |
| RRID | AB_2280998 |
| 偶联类型 | Unconjugated |
| 形式 | Liquid |
| 纯化方式 | Antigen affinity purification |
| UNIPROT ID | P83111 |
| 储存缓冲液 | PBS with 0.02% sodium azide and 50% glycerol, pH 7.3. |
| 储存条件 | Store at -20°C. Stable for one year after shipment. Aliquoting is unnecessary for -20oC storage. |
背景介绍
LACTB is also named as MRPL56,which is a component of the large subunit of the mitochondrial ribosome that is encoded by the nuclear genome.LACTB is a mammalian active-site serine protein that has evolved from a bacterial penicillin-binding protein.It promotes intramitochondrial membrane organization and micro-compartmentalization through polymerization(PMID:19858488). Northern blot analysis of mouse tissues detected expression at high levels in liver, heart, and skeletal muscle, with lower levels in kidney, testis, brain, lung, and spleen(PMID:11707067). The full-length of LACTB is about 61kDa, and a 115aa transit peptide can be removed in the mature form. This antibody is specific to LACTB.
实验方案
| Product Specific Protocols | |
|---|---|
| IF protocol for LACTB antibody 18195-1-AP | Download protocol |
| IHC protocol for LACTB antibody 18195-1-AP | Download protocol |
| WB protocol for LACTB antibody 18195-1-AP | Download protocol |
| Standard Protocols | |
|---|---|
| Click here to view our Standard Protocols |
发表文章
| Species | Application | Title |
|---|---|---|
Oncogene LACTB, a novel epigenetic silenced tumor suppressor, inhibits colorectal cancer progression by attenuating MDM2-mediated p53 ubiquitination and degradation.
| ||
PLoS One LACTB mRNA expression is increased in pancreatic adenocarcinoma and high expression indicates a poor prognosis. | ||
Cancer Biother Radiopharm Clinical Significance of β-Lactamase Expression in Colorectal Cancer. | ||
Exp Ther Med LACTB suppresses carcinogenesis in lung cancer and regulates the EMT pathway.
| ||
Apoptosis LACTB induces cancer cell death through the activation of the intrinsic caspase-independent pathway in breast cancer |







