验证数据展示
产品信息
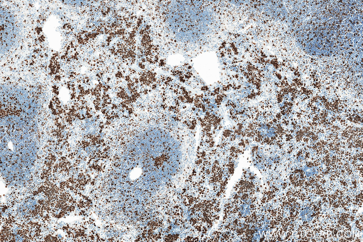
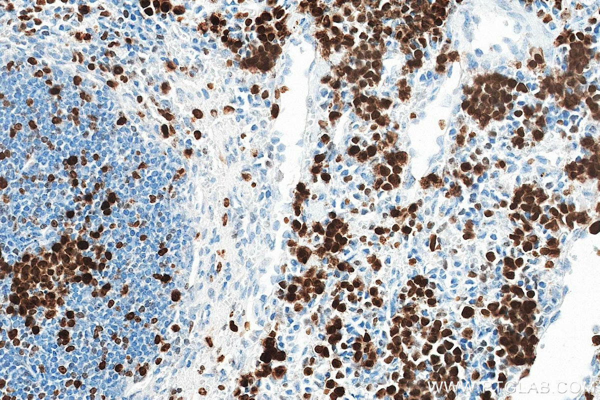
84432-1-PBS targets Ki-67 as part of a matched antibody pair:
MP01277-1: 84432-2-PBS capture and 84432-1-PBS detection (validated in Cytometric bead array)
Unconjugated rabbit recombinant monoclonal antibody in PBS only (BSA and azide free) storage buffer at a concentration of 1 mg/mL, ready for conjugation. Created using Proteintech’s proprietary in-house recombinant technology. Recombinant production enables unrivalled batch-to-batch consistency, easy scale-up, and future security of supply.
This conjugation ready format makes antibodies ideal for use in many applications including: ELISAs, multiplex assays requiring matched pairs, mass cytometry, and multiplex imaging applications.Antibody use should be optimized by the end user for each application and assay.
| 经测试应用 | WB, IHC, IF/ICC, Cytometric bead array, Indirect ELISA Application Description |
| 经测试反应性 | mouse, rat |
| 免疫原 |
CatNo: Eg1548 Product name: Recombinant Mouse Ki-67 protein (N-rFc) Source: mammalian cells-derived, pHZ-KIsec-N-rFc Tag: N-rFc Domain: 1816-2163 aa of NM_001081117.2 Sequence: DETTKIALQSPQPGHIINPASMKRQSNMSLRKDMREFSILEKQTQSRGRDAGTPAPMQEENGTTAIMETPKQKLDFIGNSTGHKRRPRTPKNRAQPLEDLDGFQELFQTPAGASDPVSVEESAKISLASSQAEPVRTPASTKRRSKTGLSKVDVRQEPSTLGKRMKSLGRAPGTPAPVQEENDSTAFMETPKQKLDFTGNSSGHKRRPQTPKIRAQPLEDLDGFQELFQTPAGANDSVTVEESVKMSLESSQAEPVKTPASTKRLSKTGLSKVDVREDPSILEKKTKSPGTPAPVQEENDCTAFMETPKQKLDFTGNSSGHKRRPRTPKIRAQPLEDLDGFQELFQTP 种属同源性预测 |
| 宿主/亚型 | Rabbit / IgG |
| 抗体类别 | Recombinant |
| 产品类型 | Antibody |
| 全称 | antigen identified by monoclonal antibody Ki 67 |
| 别名 | Ki 67, Ki67, Mki67, 241768E2, Proliferation related Ki 67 antigen |
| 计算分子量 | 351kDa |
| 观测分子量 | 350 kDa |
| GenBank蛋白编号 | NM_001081117.2 |
| 基因名称 | ki67 |
| Gene ID (NCBI) | 17345 |
| RRID | AB_3671959 |
| 偶联类型 | Unconjugated |
| 形式 | Liquid |
| 纯化方式 | Protein A purification |
| UNIPROT ID | E9PVX6-1 |
| 储存缓冲液 | PBS only, pH 7.3. |
| 储存条件 | Store at -80°C. The product is shipped with ice packs. Upon receipt, store it immediately at -80°C |
背景介绍
The Ki-67 protein (also known as MKI67) is a cellular marker for proliferation. Ki67 is present during all active phases of the cell cycle (G1, S, G2 and M), but is absent in resting cells (G0). Cellular content of Ki-67 protein markedly increases during cell progression through S phase of the cell cycle. Therefore, the nuclear expression of Ki67 can be evaluated to assess tumor proliferation by immunohistochemistry.








