验证数据展示
经过测试的应用
| Positive WB detected in | LNCaP cells, HSC-T6 cells, NIH/3T3 cells, RAW 264.7 cells, HeLa cells, HEK-293 cells, HepG2 cells, Jurkat cells, K-562 cells, Neuro-2a cells |
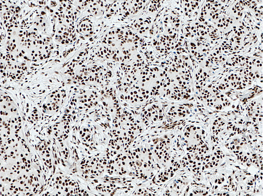
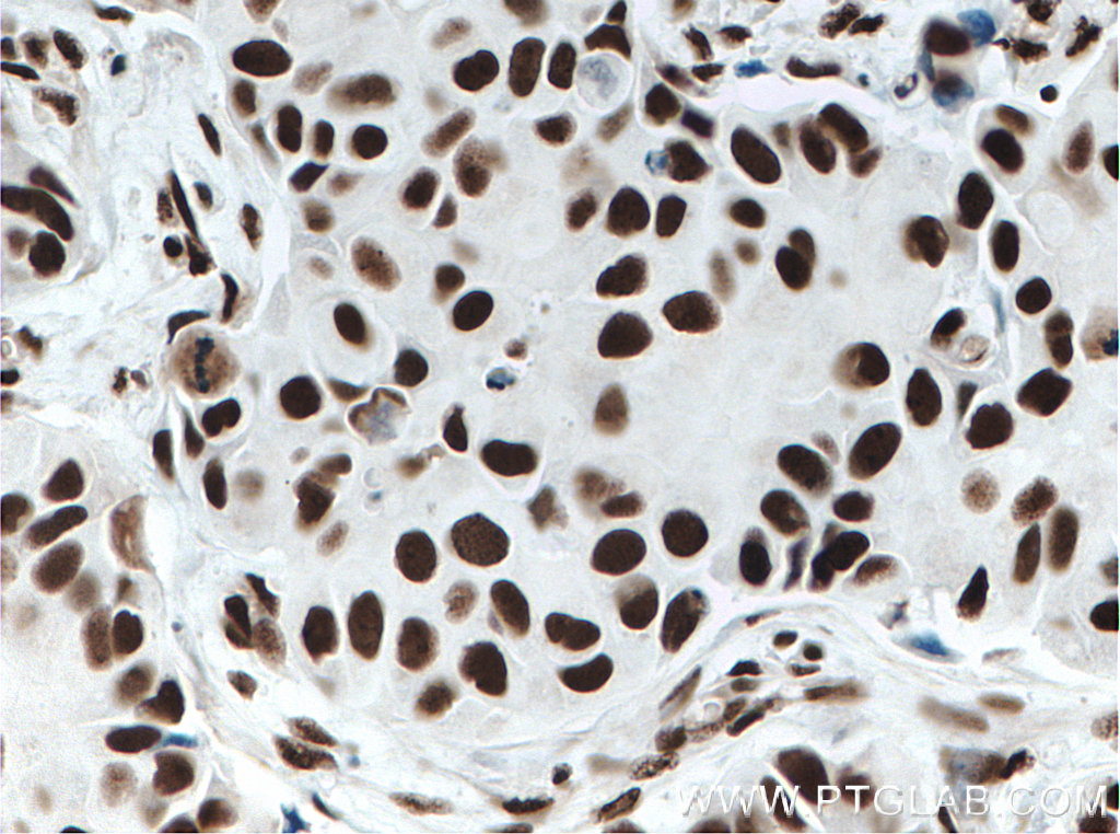
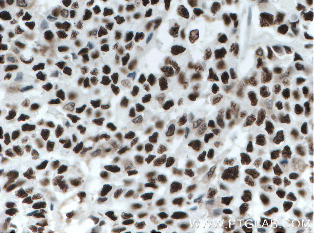
| Positive IHC detected in | human breast cancer tissue, human colon cancer tissue, human lung cancer tissue Note: suggested antigen retrieval with TE buffer pH 9.0; (*) Alternatively, antigen retrieval may be performed with citrate buffer pH 6.0 |
| Positive IF-P detected in | human breast cancer tissue |
| Positive IF-Fro detected in | mouse breast cancer |
| Positive IF/ICC detected in | HeLa cells, HepG2 cells |
| Positive FC (Intra) detected in | HepG2 cells |
推荐稀释比
| 应用 | 推荐稀释比 |
|---|---|
| Western Blot (WB) | WB : 1:20000-1:100000 |
| Immunohistochemistry (IHC) | IHC : 1:2000-1:8000 |
| Immunofluorescence (IF)-P | IF-P : 1:50-1:500 |
| Immunofluorescence (IF)-FRO | IF-FRO : 1:200-1:800 |
| Immunofluorescence (IF)/ICC | IF/ICC : 1:1000-1:4000 |
| Flow Cytometry (FC) (INTRA) | FC (INTRA) : 0.40 ug per 10^6 cells in a 100 µl suspension |
| It is recommended that this reagent should be titrated in each testing system to obtain optimal results. | |
| Sample-dependent, Check data in validation data gallery. | |
产品信息
66607-1-Ig targets KU70,XRCC6 in WB, IHC, IF/ICC, IF-P, IF-Fro, FC (Intra), IP, CoIP, ChIP, ELISA applications and shows reactivity with human, mouse, rat samples.
| 经测试应用 | WB, IHC, IF/ICC, IF-P, IF-Fro, FC (Intra), ELISA Application Description |
| 文献引用应用 | WB, IF, IP, CoIP, ChIP |
| 经测试反应性 | human, mouse, rat |
| 文献引用反应性 | human, mouse |
| 免疫原 |
CatNo: Ag21301 Product name: Recombinant human KU70,XRCC6 protein Source: e coli.-derived, PET28a Tag: 6*His Domain: 307-609 aa of BC008343 Sequence: TGGLLLPSDTKRSQIYGSRQIILEKEETEELKRFDDPGLMLMGFKPLVLLKKHHYLRPSLFVYPEESLVIGSSTLFSALLIKCLEKEVAALCRYTPRRNIPPYFVALVPQEEELDDQKIQVTPPGFQLVFLPFADDKRKMPFTEKIMATPEQVGKMKAIVEKLRFTYRSDSFENPVLQQHFRNLEALALDLMEPEQAVDLTLPKVEAMNKRLGSLVDEFKELVYPPDYNPEGKVTKRKHDNEGSGSKRPKVEYSEEELKTHISKGTLGKFTVPMLKEACRAYGLKSGLKKQELLEALTKHFQD 种属同源性预测 |
| 宿主/亚型 | Mouse / IgG1 |
| 抗体类别 | Monoclonal |
| 产品类型 | Antibody |
| 全称 | X-ray repair complementing defective repair in Chinese hamster cells 6 |
| 别名 | KU70, XRCC6, 3C12D9, 5'-deoxyribose-5-phosphate lyase Ku70, 5'-dRP lyase Ku70 |
| 计算分子量 | 75 kDa |
| 观测分子量 | 70 kDa |
| GenBank蛋白编号 | BC008343 |
| 基因名称 | KU70 |
| Gene ID (NCBI) | 2547 |
| RRID | AB_2881967 |
| 偶联类型 | Unconjugated |
| 形式 | Liquid |
| 纯化方式 | Protein G purification |
| UNIPROT ID | P12956 |
| 储存缓冲液 | PBS with 0.02% sodium azide and 50% glycerol, pH 7.3. |
| 储存条件 | Store at -20°C. Stable for one year after shipment. Aliquoting is unnecessary for -20oC storage. |
背景介绍
X-ray repair cross-complementing protein 6(XRCC6)gene encodes subunit p70 of the p70/p80 autoantigen which has a role in DNA repair or transposition. DNA helicase II complex binds preferentially to fork-like ends of double-standed DNA in a cell cycle-dependent manner, which may be mediated by XRCC6. XRCC6/5 can form a heterdimer, which function as a regulatory subunit of the DNA-dependent protein kinase complex DNA-PK by increasing the affinity of the catalytic subunit PRKDC to DNA, and also it can stablize broken DNA ends and bringing them together. Otherwise, XRCC5/6 heterdimer together with APEX1 can negatively regulate of transcription.
实验方案
| Product Specific Protocols | |
|---|---|
| FC protocol for KU70,XRCC6 antibody 66607-1-Ig | Download protocol |
| IF protocol for KU70,XRCC6 antibody 66607-1-Ig | Download protocol |
| IHC protocol for KU70,XRCC6 antibody 66607-1-Ig | Download protocol |
| WB protocol for KU70,XRCC6 antibody 66607-1-Ig | Download protocol |
| Standard Protocols | |
|---|---|
| Click here to view our Standard Protocols |
发表文章
| Species | Application | Title |
|---|---|---|
Immunity Cytoplasmic DNA sensing by KU complex in aged CD4+ T cell potentiates T cell activation and aging-related autoimmune inflammation. | ||
Nucleic Acids Res Interactome of intact chromatosome variants with site-specifically ubiquitylated and acetylated linker histone H1.2 | ||
J Pharm Anal MGMT activated by Wnt pathway promotes cisplatin tolerance through inducing slow-cycling cells and nonhomologous end joining in colorectal cancer | ||
J Transl Med USP14 inhibition promotes DNA damage repair and represses ovarian granulosa cell senescence in premature ovarian insufficiency | ||
Cancer Lett ITGA2 overexpression inhibits DNA repair and confers sensitivity to radiotherapies in pancreatic cancer | ||
J Nanobiotechnology Minimizing adverse effects of Cerenkov radiation induced photodynamic therapy with transformable photosensitizer-loaded nanovesicles. |



















