验证数据展示
产品信息
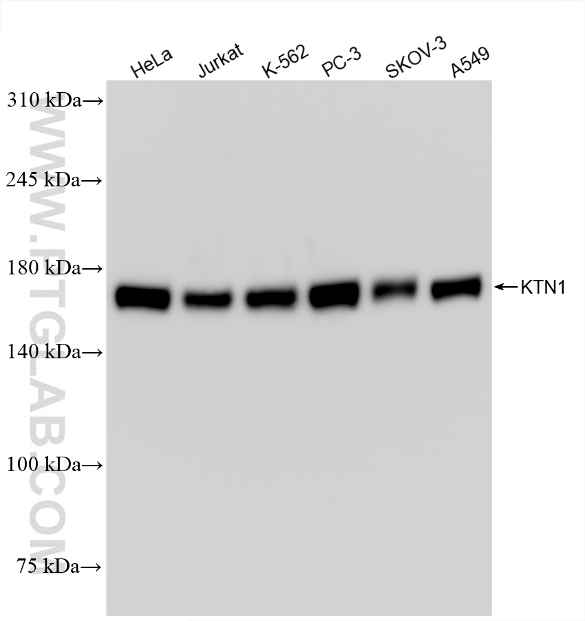
85681-4-PBS targets KTN1 in WB, IHC, IF/ICC, Indirect ELISA applications and shows reactivity with human samples.
| 经测试应用 | WB, IHC, IF/ICC, Indirect ELISA Application Description |
| 经测试反应性 | human |
| 免疫原 |
CatNo: Ag13854 Product name: Recombinant human KTN1 protein Source: e coli.-derived, PET28a Tag: 6*His Domain: 951-1306 aa of BC117132 Sequence: KSQIEQLKQQNYQQASSFPPHEELLKVISEREKEISGLWNELDSLKDAVEHQRKKNNDLREKNWEAMEALASTEKMLQDKVNKTSKERQQQVEAVELEAKEVLKKLFPKVSVPSNLSYGEWLHGFEKKAKECMAGTSGSEEVKVLEHKLKEADEMHTLLQLECEKYKSVLAETEGILQKLQRSVEQEENKWKVKVDESHKTIKQMQSSFTSSEQELERLRSENKDIENLRREREHLEMELEKAEMERSTYVTEVRELKAQLNETLTKLRTEQNERQKVAGDLHKAQQSLELIQSKIVKAAGDTTVIENSDVSPETESSEKETMSVSLNQTVTQLQQLLQAVNQQLTKEKEHYQVLE 种属同源性预测 |
| 宿主/亚型 | Rabbit / IgG |
| 抗体类别 | Recombinant |
| 产品类型 | Antibody |
| 全称 | kinectin 1 (kinesin receptor) |
| 别名 | CG-1 antigen, KIAA0004, KTN 1 |
| 计算分子量 | 1357 aa, 156 kDa |
| 观测分子量 | 156 kDa |
| GenBank蛋白编号 | BC117132 |
| 基因名称 | KTN1 |
| Gene ID (NCBI) | 3895 |
| 偶联类型 | Unconjugated |
| 形式 | Liquid |
| 纯化方式 | Protein A purification |
| UNIPROT ID | Q86UP2 |
| 储存缓冲液 | PBS only, pH 7.3. |
| 储存条件 | Store at -80°C. The product is shipped with ice packs. Upon receipt, store it immediately at -80°C |
背景介绍
KTN1/Kinectin is an integral endoplasmic reticulum (ER) membrane protein which acts as dynamic anchor to facilitate ER membrane extension along microtubules. It has been found to bind kinesin, Rho GTPase, and translation elongation factor-1delta and gets involved in organelle motility and protein synthesis.




