验证数据展示
经过测试的应用
| Positive WB detected in | HeLa cells, A549 cells, HEK-293 cells, human brain tissue, human kidney tissue, mouse kidney tissue, rat kidney tissue, rat liver tissue, mouse brain tissue, rat brain tissue |
| Positive IP detected in | HeLa cells, HGC-27 cells, MKN-45 cells, mouse brain tissue |
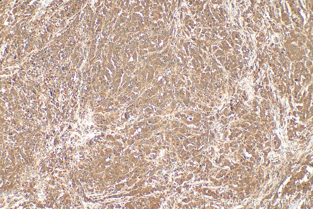
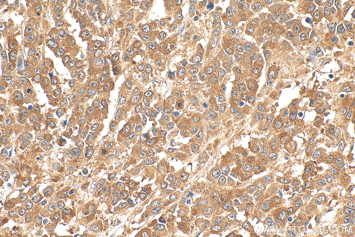
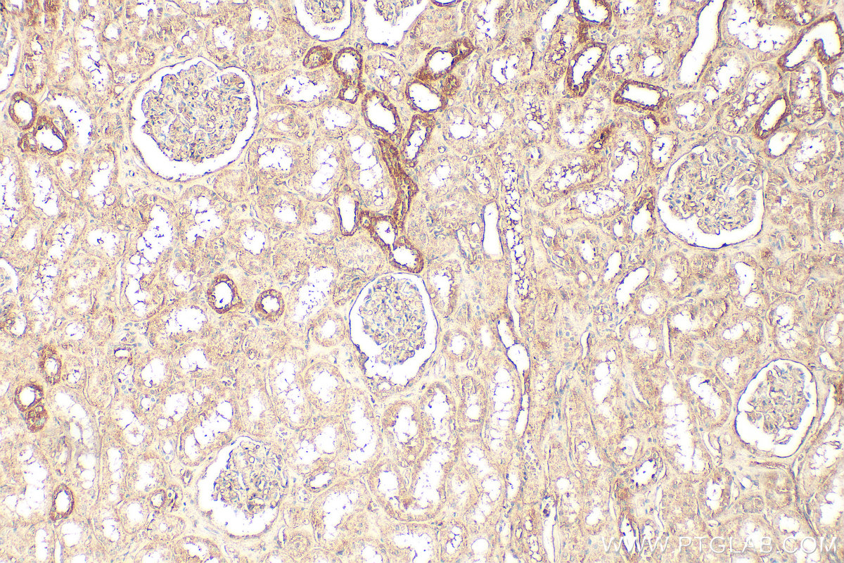
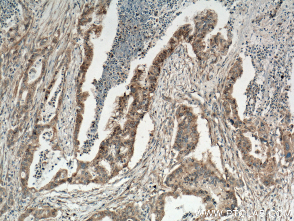
| Positive IHC detected in | human lung cancer tissue, human colon cancer tissue, human kidney tissue, human pancreas cancer tissue, mouse kidney tissue, mouse liver tissue Note: suggested antigen retrieval with TE buffer pH 9.0; (*) Alternatively, antigen retrieval may be performed with citrate buffer pH 6.0 |
| Positive IF/ICC detected in | HeLa cells |
| Positive FC (Intra) detected in | HeLa cells |
推荐稀释比
| 应用 | 推荐稀释比 |
|---|---|
| Western Blot (WB) | WB : 1:5000-1:50000 |
| Immunoprecipitation (IP) | IP : 0.5-4.0 ug for 1.0-3.0 mg of total protein lysate |
| Immunohistochemistry (IHC) | IHC : 1:400-1:1600 |
| Immunofluorescence (IF)/ICC | IF/ICC : 1:200-1:800 |
| Flow Cytometry (FC) (INTRA) | FC (INTRA) : 0.40 ug per 10^6 cells in a 100 µl suspension |
| It is recommended that this reagent should be titrated in each testing system to obtain optimal results. | |
| Sample-dependent, Check data in validation data gallery. | |
产品信息
12063-1-AP targets KRAS in WB, IHC, IF/ICC, FC (Intra), IP, CoIP, ELISA applications and shows reactivity with human, mouse, rat samples.
| 经测试应用 | WB, IHC, IF/ICC, FC (Intra), IP, ELISA Application Description |
| 文献引用应用 | WB, IHC, IF, IP, CoIP |
| 经测试反应性 | human, mouse, rat |
| 文献引用反应性 | human, mouse, rat, chicken, zebrafish |
| 免疫原 |
CatNo: Ag2700 Product name: Recombinant human KRAS protein Source: e coli.-derived, PGEX-4T Tag: GST Domain: 1-188 aa of BC013572 Sequence: MTEYKLVVVGAGGVGKSALTIQLIQNHFVDEYDPTIEDSYRKQVVIDGETCLLDILDTAGHEEYSAMRDQYMRTGEGFLCVFAINNTKSFEDIHHYREQIKRVKDSEDVPMVLVGNKCDLPSRTVDTKQAQDLARSYGIPFIETSAKTRQGVDDAFYTLVREIRKHKEKMSKDGKKKKKKSKTKCVIM 种属同源性预测 |
| 宿主/亚型 | Rabbit / IgG |
| 抗体类别 | Polyclonal |
| 产品类型 | Antibody |
| 全称 | v-Ki-ras2 Kirsten rat sarcoma viral oncogene homolog |
| 别名 | pan RAS, C K RAS, c Ki ras, c-Ki-ras, c-K-ras |
| 计算分子量 | 188 aa, 21 kDa |
| 观测分子量 | 21 kDa |
| GenBank蛋白编号 | BC013572 |
| 基因名称 | KRAS |
| Gene ID (NCBI) | 3845 |
| RRID | AB_878040 |
| 偶联类型 | Unconjugated |
| 形式 | Liquid |
| 纯化方式 | Antigen affinity purification |
| UNIPROT ID | P01116 |
| 储存缓冲液 | PBS with 0.02% sodium azide and 50% glycerol, pH 7.3. |
| 储存条件 | Store at -20°C. Stable for one year after shipment. Aliquoting is unnecessary for -20oC storage. |
背景介绍
KRAS, also called p21, is a member of the Ras superfamily of proteins. It is located on human chromosome 12, and contains four coding exons and a 5' non-coding exon (PMID: 12778136). KRAS is a membrane-anchored guanosine triphosphate/guanosine diphosphate (GTP/GDP)-binding protein and is widely expressed in most human cells. Like other members of the Ras family, the KRAS protein is a GTPase, and it is involved in intracellular signal transduction and mainly responsible for EGFR-signaling activation (PMID: 19117687). KRAS mutations have been found in various malignancies, including lung adenocarcinoma, mucinous adenoma, ductal carcinoma of the pancreas and colorectal carcinoma.
实验方案
| Product Specific Protocols | |
|---|---|
| FC protocol for KRAS antibody 12063-1-AP | Download protocol |
| IF protocol for KRAS antibody 12063-1-AP | Download protocol |
| IHC protocol for KRAS antibody 12063-1-AP | Download protocol |
| IP protocol for KRAS antibody 12063-1-AP | Download protocol |
| WB protocol for KRAS antibody 12063-1-AP | Download protocol |
| Standard Protocols | |
|---|---|
| Click here to view our Standard Protocols |
发表文章
| Species | Application | Title |
|---|---|---|
Nat Biotechnol Conformation-locking antibodies for the discovery and characterization of KRAS inhibitors. | ||
Cancer Discov Systematic functional interrogation of rare cancer variants identifies oncogenic alleles. | ||
Mol Cell The oncomicropeptide APPLE promotes hematopoietic malignancy by enhancing translation initiation. | ||





























