验证数据展示
经过测试的应用
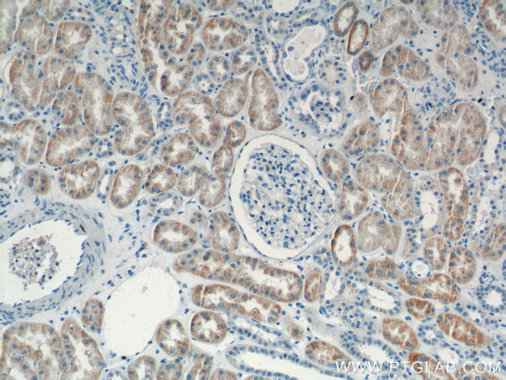
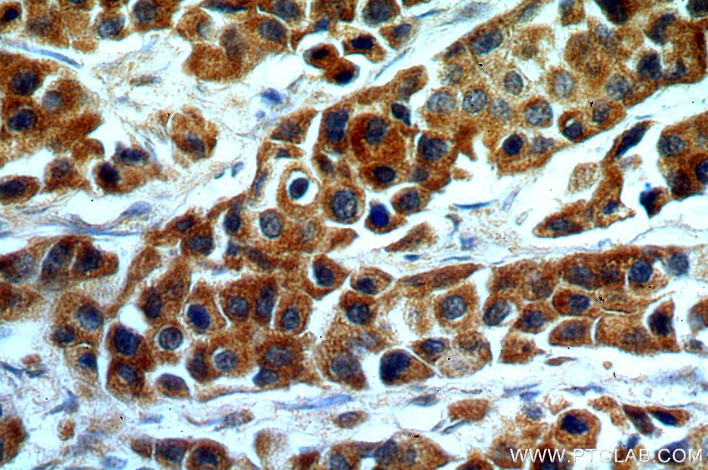
| Positive IHC detected in | human kidney tissue, human prostate cancer tissue, human breast cancer tissue, mouse heart tissue Note: suggested antigen retrieval with TE buffer pH 9.0; (*) Alternatively, antigen retrieval may be performed with citrate buffer pH 6.0 |
| Positive IF/ICC detected in | MCF-7 cells |
推荐稀释比
| 应用 | 推荐稀释比 |
|---|---|
| Immunohistochemistry (IHC) | IHC : 1:50-1:500 |
| Immunofluorescence (IF)/ICC | IF/ICC : 1:50-1:500 |
| It is recommended that this reagent should be titrated in each testing system to obtain optimal results. | |
| Sample-dependent, Check data in validation data gallery. | |
产品信息
10698-1-AP targets KMO in WB, IHC, IF/ICC, ELISA applications and shows reactivity with human, mouse samples.
| 经测试应用 | IHC, IF/ICC, ELISA Application Description |
| 文献引用应用 | WB, IHC, IF |
| 经测试反应性 | human, mouse |
| 文献引用反应性 | human, mouse, rat |
| 免疫原 |
CatNo: Ag1109 Product name: Recombinant human KMO protein Source: e coli.-derived, PGEX-4T Tag: GST Domain: 107-407 aa of BC005297 Sequence: LSVSRENLNKDLLTAAEKYPNVKMHFNHRLLKCNPEEGMITVLGSDKVPKDVTCDLIVGCDGAYSTVRSHLMKKPRFDYSQQYIPHGYMELTIPPKNGDYAMEPNYLHIWPRNTFMMIALPNMNKSFTCTLFMPFEEFEKLLTSNDVVDFFQKYFPDAIPLIGEKLLVQDFFLLPAQPMISVKCSSFHFKSHCVLLGDAAHAIVPFFGQGMNAGFEDCLVFDELMDKFSNDLSLCLPVFSRLRIPDDHAISDLSMYNYIEKNMERFLHAIMPSTFIPLYTMVTFSRIRYHEAVQRWHWQKR 种属同源性预测 |
| 宿主/亚型 | Rabbit / IgG |
| 抗体类别 | Polyclonal |
| 产品类型 | Antibody |
| 全称 | kynurenine 3-monooxygenase (kynurenine 3-hydroxylase) |
| 别名 | Kynurenine 3-monooxygenase, Kynurenine 3-hydroxylase, Kynurenine 3 monooxygenase, Kynurenine 3 hydroxylase, EC:1.14.13.9 |
| 计算分子量 | 486 aa, 56 kDa |
| 观测分子量 | 56 kDa |
| GenBank蛋白编号 | BC005297 |
| 基因名称 | KMO |
| Gene ID (NCBI) | 8564 |
| RRID | AB_2296744 |
| 偶联类型 | Unconjugated |
| 形式 | Liquid |
| 纯化方式 | Antigen affinity purification |
| UNIPROT ID | O15229 |
| 储存缓冲液 | PBS with 0.02% sodium azide and 50% glycerol, pH 7.3. |
| 储存条件 | Store at -20°C. Stable for one year after shipment. Aliquoting is unnecessary for -20oC storage. |
背景介绍
KMO(Kynurenine 3-monooxygenase) is an NADPH-dependent flavin monooxygenase, catalysing the hydroxylation of the L-kynurenine to form L-3-hydroxykynurenine. KMO is a membrane protein located on the outer membrane of mitochondria. Tissue distribution studies have revealed that, in rats, highest enzyme activity is found in kidney and liver, with brain having the least activity in comparison to peripheral organs(PMID: 9237672).
实验方案
| Product Specific Protocols | |
|---|---|
| IF protocol for KMO antibody 10698-1-AP | Download protocol |
| IHC protocol for KMO antibody 10698-1-AP | Download protocol |
| WB protocol for KMO antibody 10698-1-AP | Download protocol |
| Standard Protocols | |
|---|---|
| Click here to view our Standard Protocols |
发表文章
| Species | Application | Title |
|---|---|---|
J Hazard Mater Particulate matter-induced metabolic recoding of epigenetics in macrophages drives pathogenesis of chronic obstructive pulmonary disease | ||
Circ Res Activation of NAD(P)H Oxidase by Tryptophan-Derived 3-Hydroxykynurenine Accelerates Endothelial Apoptosis and Dysfunction In Vivo. | ||
J Transl Med Identification and experimental validation of KMO as a critical immune-associated mitochondrial gene in unstable atherosclerotic plaque | ||
J Intern Med Evidence that a deviation in the kynurenine pathway aggravates atherosclerotic disease in humans. | ||
J Affect Disord Coprococcus eutactus screened from healthy adolescent attenuates chronic restraint stress-induced depression-like changes in adolescent mice: Potential roles in the microbiome and neurotransmitter modulation |




















