验证数据展示
经过测试的应用
| Positive WB detected in | LNCaP cells, Transfected HEK-293 cells |
| Positive IP detected in | LNCaP cells |
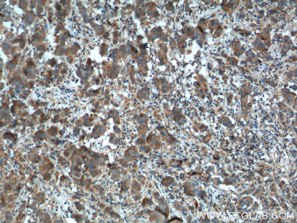
| Positive IHC detected in | human prostate cancer tissue Note: suggested antigen retrieval with TE buffer pH 9.0; (*) Alternatively, antigen retrieval may be performed with citrate buffer pH 6.0 |
| Positive IF-P detected in | mouse prostate tissue |
| Positive IF/ICC detected in | LNCaP cells |
推荐稀释比
| 应用 | 推荐稀释比 |
|---|---|
| Western Blot (WB) | WB : 1:1000-1:8000 |
| Immunoprecipitation (IP) | IP : 0.5-4.0 ug for 1.0-3.0 mg of total protein lysate |
| Immunohistochemistry (IHC) | IHC : 1:100-1:400 |
| Immunofluorescence (IF)-P | IF-P : 1:50-1:500 |
| Immunofluorescence (IF)/ICC | IF/ICC : 1:50-1:500 |
| It is recommended that this reagent should be titrated in each testing system to obtain optimal results. | |
| Sample-dependent, Check data in validation data gallery. | |
产品信息
10679-1-AP targets KLK3/PSA in WB, IHC, IF/ICC, IF-P, IP, ELISA applications and shows reactivity with human samples.
| 经测试应用 | WB, IHC, IF/ICC, IF-P, IP, ELISA Application Description |
| 文献引用应用 | WB, IHC, IF, IP |
| 经测试反应性 | human |
| 文献引用反应性 | human, mouse, rat |
| 免疫原 |
CatNo: Ag1060 Product name: Recombinant human KLK3,PSA protein Source: e coli.-derived, PGEX-4T Tag: GST Domain: 1-261 aa of BC005307 Sequence: MWVPVVFLTLSVTWIGAAPLILSRIVGGWECEKHSQPWQVLVASRGRAVCGGVLVHPQWVLTAAHCIRNKSVILLGRHSLFHPEDTGQVFQVSHSFPHPLYDMSLLKNRFLRPGDDSSHDLMLLRLSEPAELTDAVKVMDLPTQEPALGTTCYASGWGSIEPEEFLTPKKLQCVDLHVISNDVCAQVHPQKVTKFMLCAGRWTGGKSTCSGDSGGPLVCNGVLQGITSWGSEPCALPERPSLYTKVVHYRKWIKDTIVANP 种属同源性预测 |
| 宿主/亚型 | Rabbit / IgG |
| 抗体类别 | Polyclonal |
| 产品类型 | Antibody |
| 全称 | kallikrein-related peptidase 3 |
| 别名 | KLK3, APS, EC:3.4.21.77, Gamma-seminoprotein, Kallikrein 3 |
| 计算分子量 | 29 kDa |
| 观测分子量 | 30-34 kDa |
| GenBank蛋白编号 | BC005307 |
| 基因名称 | KLK3 |
| Gene ID (NCBI) | 354 |
| RRID | AB_2134244 |
| 偶联类型 | Unconjugated |
| 形式 | Liquid |
| 纯化方式 | Antigen affinity purification |
| UNIPROT ID | P07288 |
| 储存缓冲液 | PBS with 0.02% sodium azide and 50% glycerol, pH 7.3. |
| 储存条件 | Store at -20°C. Stable for one year after shipment. Aliquoting is unnecessary for -20oC storage. |
背景介绍
KLK3 also known as Prostate-Specific Antigen (PSA), is a 33 kDa glycoprotein primarily synthesized by the epithelial cells of the prostate gland. Its main physiological function is to cleave seminogelins I and II in semen, leading to the liquefaction of the seminal coagulum and the release of motile sperm. It is under tight regulation by androgens via the androgen receptor (AR). Serum PSA levels are elevated in prostate cancer due to disruption of the glandular architecture, allowing more PSA to enter the bloodstream. It is used alongside digital rectal exam (DRE) for early detection. Although termed "prostate-specific," PSA is not exclusively produced by the prostate. Very low levels can be produced in periurethral glands, breast tissue, and some other tissues. Its expression is highly abundant in prostatic tissue and seminal fluid.
实验方案
| Product Specific Protocols | |
|---|---|
| IF protocol for KLK3/PSA antibody 10679-1-AP | Download protocol |
| IHC protocol for KLK3/PSA antibody 10679-1-AP | Download protocol |
| IP protocol for KLK3/PSA antibody 10679-1-AP | Download protocol |
| WB protocol for KLK3/PSA antibody 10679-1-AP | Download protocol |
| Standard Protocols | |
|---|---|
| Click here to view our Standard Protocols |
发表文章
| Species | Application | Title |
|---|---|---|
Nat Aging Single-cell and spatial RNA sequencing identify divergent microenvironments and progression signatures in early- versus late-onset prostate cancer | ||
Theranostics ACSS3 represses prostate cancer progression through downregulating lipid droplet-associated protein PLIN3. | ||
Clin Transl Med Melatonin inhibits lipid accumulation to repress prostate cancer progression by mediating the epigenetic modification of CES1. | ||
J Transl Med CAPN2 promotes apalutamide resistance in metastatic hormone-sensitive prostate cancer by activating protective autophagy | ||
Elife A feedback loop between the androgen receptor and 6-phosphogluoconate dehydrogenase (6PGD) drives prostate cancer growth | ||















