验证数据展示
经过测试的应用
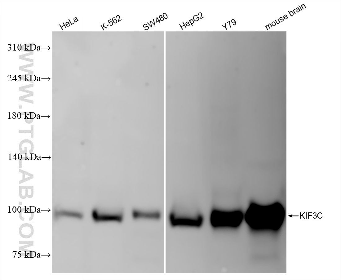
| Positive WB detected in | HeLa cells, K-562 cells, SW480 cells, HepG2 cells, Y79 cells, mouse brain tissue |
推荐稀释比
| 应用 | 推荐稀释比 |
|---|---|
| Western Blot (WB) | WB : 1:2000-1:10000 |
| It is recommended that this reagent should be titrated in each testing system to obtain optimal results. | |
| Sample-dependent, Check data in validation data gallery. | |
产品信息
87075-1-RR targets KIF3C in WB, ELISA applications and shows reactivity with human, mouse samples.
| 经测试应用 | WB, ELISA Application Description |
| 经测试反应性 | human, mouse |
| 免疫原 |
CatNo: Ag5619 Product name: Recombinant human KIF3C protein Source: e coli.-derived, PGEX-4T Tag: GST Domain: 1-360 aa of BC042486 Sequence: MASKTKASEALKVVARCRPLSRKEEAAGHEQILTMDVKLGQVTLRNPRAAPGELPKTFTFDAVYDASSKQADLIDSVLQGFNGTVFAYGQTGTGKTYTMQGTWVEPELRGVIPNAFEHIFTHISRSQNQQYLVRASYLEIYQEEIRDLLSKEPGKRLELKENPETGVYIKDLSSFVTKNVKEIEHVMNLGNQTRAVGSTHMNEVSSRSHAIFIITVECSERGSDGQDHIRVGKLNLVDLAGSERQNKAGPNTAGGAATPSSGGGGGGGGSGGGAGGERPKEASKINLSLSALGNVIAALAGNRSTHIPYRDSKLTRLLQDSLGGNAKTIMVATLGPASHSYDESLSTLRFANRAKNIKNK 种属同源性预测 |
| 宿主/亚型 | Rabbit / IgG |
| 抗体类别 | Recombinant |
| 产品类型 | Antibody |
| 全称 | kinesin family member 3C |
| 别名 | Kinesin-like protein KIF3C |
| 计算分子量 | 89 kDa |
| 观测分子量 | 100 kDa |
| GenBank蛋白编号 | BC042486 |
| 基因名称 | KIF3C |
| Gene ID (NCBI) | 3797 |
| RRID | AB_3745320 |
| 偶联类型 | Unconjugated |
| 形式 | Liquid |
| 纯化方式 | Protein A purification |
| UNIPROT ID | O14782 |
| 储存缓冲液 | PBS with 0.02% sodium azide and 50% glycerol, pH 7.3. |
| 储存条件 | Store at -20°C. Stable for one year after shipment. Aliquoting is unnecessary for -20oC storage. |
背景介绍
KIF3C(Kinesin Family Member 3C) is a member of Kinesin-2 family, which belongs to microtubule-dependent motor protein. It can generate mechanical energy by hydrolyzing ATP, and regulate many processes such as intracellular transport, cytoskeleton dynamics, cell division and migration. It plays an important role in nervous system, tumor and other tissues, and has gradually become a hot target of cancer and neurodegenerative diseases in recent years.
实验方案
| Product Specific Protocols | |
|---|---|
| WB protocol for KIF3C antibody 87075-1-RR | Download protocol |
| Standard Protocols | |
|---|---|
| Click here to view our Standard Protocols |
