验证数据展示
经过测试的应用
| Positive WB detected in | HEK-293 cells, HeLa cells, Jurkat cells, K-562 cells, Raji cells |
| Positive IP detected in | Raji cells |
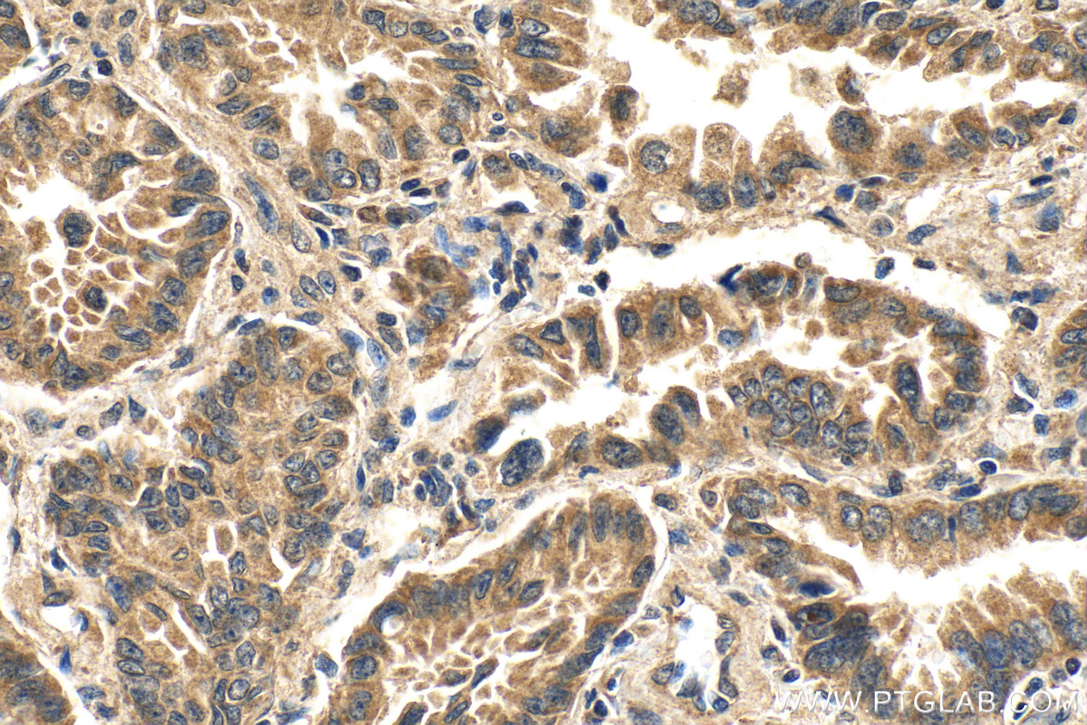
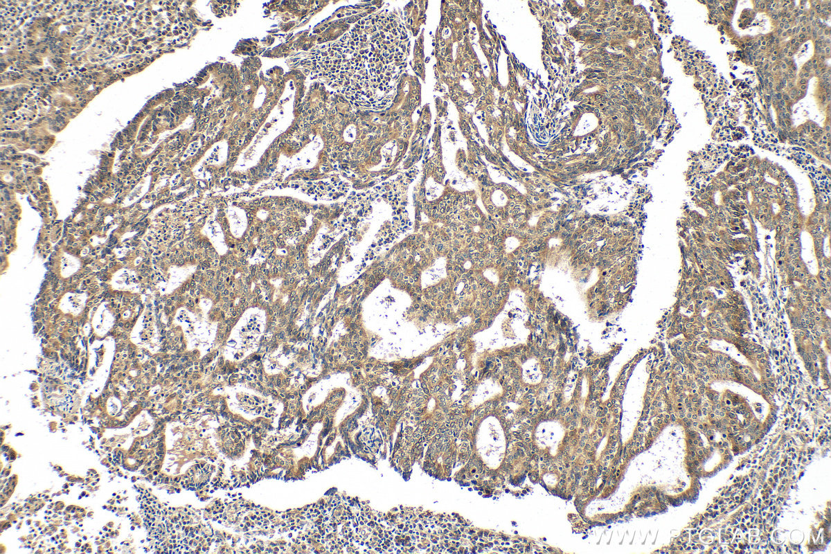
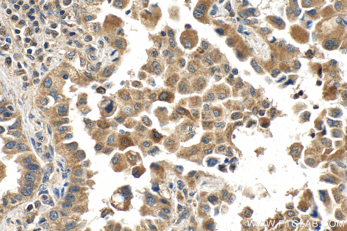
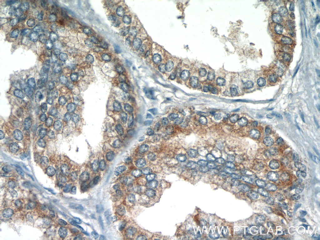
| Positive IHC detected in | human lung cancer tissue, human endometrial cancer tissue, human prostate hyperplasia tissue Note: suggested antigen retrieval with TE buffer pH 9.0; (*) Alternatively, antigen retrieval may be performed with citrate buffer pH 6.0 |
| Positive IF/ICC detected in | HepG2 cells |
推荐稀释比
| 应用 | 推荐稀释比 |
|---|---|
| Western Blot (WB) | WB : 1:1000-1:4000 |
| Immunoprecipitation (IP) | IP : 0.5-4.0 ug for 1.0-3.0 mg of total protein lysate |
| Immunohistochemistry (IHC) | IHC : 1:200-1:800 |
| Immunofluorescence (IF)/ICC | IF/ICC : 1:200-1:800 |
| It is recommended that this reagent should be titrated in each testing system to obtain optimal results. | |
| Sample-dependent, Check data in validation data gallery. | |
产品信息
23333-1-AP targets Eg5 in WB, IHC, IF/ICC, IP, ELISA applications and shows reactivity with human samples.
| 经测试应用 | WB, IHC, IF/ICC, IP, ELISA Application Description |
| 文献引用应用 | WB, IHC, IF |
| 经测试反应性 | human |
| 文献引用反应性 | human, mouse |
| 免疫原 |
CatNo: Ag18695 Product name: Recombinant human KIF11 protein Source: e coli.-derived, PGEX-4T Tag: GST Domain: 707-1052 aa of BC136474 Sequence: LTEDLKTIKQTHSQELCKLMNLWTERFCALEEKCENIQKPLSSVQENIQQKSKDIVNKMTFHSQKFCADSDGFSQELRNFNQEGTKLVEESVKHSDKLNGNLEKISQETEQRCESLNTRTVYFSEQWVSSLNEREQELHNLLEVVSQCCEASSSDITEKSDGRKAAHEKQHNIFLDQMTIDEDKLIAQNLELNETIKIGLTKLNCFLEQDLKLDIPTGTTPQRKSYLYPSTLVRTEPREHLLDQLKRKQPELLMMLNCSENNKEETIPDVDVEEAVLGQYTEEPLSQEPSVDAGVDCSSIGGVPFFQHKKSHGKDKENRGINTLERSKVEETTEHLVTKSRLPLRA 种属同源性预测 |
| 宿主/亚型 | Rabbit / IgG |
| 抗体类别 | Polyclonal |
| 产品类型 | Antibody |
| 全称 | kinesin family member 11 |
| 别名 | KIF11, KNSL1, Kinesin-related motor protein Eg5, Kinesin-like spindle protein HKSP, Kinesin-like protein KIF11 |
| 计算分子量 | 1056 aa, 119 kDa |
| 观测分子量 | 120-130 kDa |
| GenBank蛋白编号 | BC136474 |
| 基因名称 | Eg5 |
| Gene ID (NCBI) | 3832 |
| RRID | AB_2716831 |
| 偶联类型 | Unconjugated |
| 形式 | Liquid |
| 纯化方式 | Antigen Affinity purified |
| UNIPROT ID | P52732 |
| 储存缓冲液 | PBS with 0.02% sodium azide and 50% glycerol, pH 7.3. |
| 储存条件 | Store at -20°C. Stable for one year after shipment. Aliquoting is unnecessary for -20oC storage. |
背景介绍
Eg5 is a plus-end-directed microtubule motor encoded by KIF11 gene. It is an essential mitotic kinesin that plays a pivotal role in the formation and maintenance of bipolar spindle during early prometaphase. Eg5 has been implicated in tumourigenesis, and its overexpression has been found in various cancer tissues.
实验方案
| Product Specific Protocols | |
|---|---|
| IF protocol for Eg5 antibody 23333-1-AP | Download protocol |
| IHC protocol for Eg5 antibody 23333-1-AP | Download protocol |
| IP protocol for Eg5 antibody 23333-1-AP | Download protocol |
| WB protocol for Eg5 antibody 23333-1-AP | Download protocol |
| Standard Protocols | |
|---|---|
| Click here to view our Standard Protocols |
发表文章
| Species | Application | Title |
|---|---|---|
Br J Cancer Albendazole inhibits colon cancer progression and therapy resistance by targeting ubiquitin ligase RNF20 | ||
Cells Microtubule Association of EML4-ALK V3 Is Key for the Elongated Cell Morphology and Enhanced Migration Observed in V3 Cells | ||
Int J Oncol Cyclovirobuxine D inhibits growth and progression of non‑small cell lung cancer cells by suppressing the KIF11‑CDC25C‑CDK1‑CyclinB1 G2/M phase transition regulatory network and the NFκB/JNK signaling pathway | ||
Int J Cancer Development and validation of a five-gene model to predict postoperative brain metastasis in operable lung adenocarcinoma. | ||
Int J Biol Sci KIF11 promotes cell proliferation via ERBB2/PI3K/AKT signaling pathway in gallbladder cancer. | ||
Mol Carcinog Kinesin family member 11 is a potential therapeutic target and is suppressed by microRNA-30a in breast cancer.
|









