验证数据展示
经过测试的应用
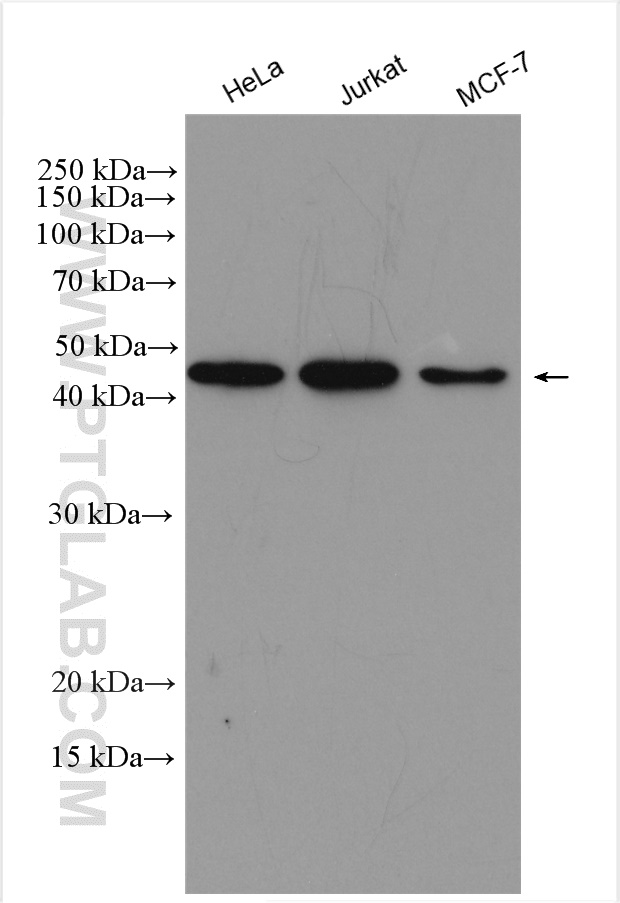
| Positive WB detected in | HeLa cells, mouse testis tissue, Jurkat cells, MCF-7 cells |
| Positive IP detected in | HeLa cells |
| Positive IHC detected in | mouse brain tissue, human brain tissue Note: suggested antigen retrieval with TE buffer pH 9.0; (*) Alternatively, antigen retrieval may be performed with citrate buffer pH 6.0 |
| Positive IF/ICC detected in | MDCK cells |
推荐稀释比
| 应用 | 推荐稀释比 |
|---|---|
| Western Blot (WB) | WB : 1:1000-1:8000 |
| Immunoprecipitation (IP) | IP : 0.5-4.0 ug for 1.0-3.0 mg of total protein lysate |
| Immunohistochemistry (IHC) | IHC : 1:50-1:500 |
| Immunofluorescence (IF)/ICC | IF/ICC : 1:50-1:500 |
| It is recommended that this reagent should be titrated in each testing system to obtain optimal results. | |
| Sample-dependent, Check data in validation data gallery. | |
产品信息
24457-1-AP targets CEP44 in WB, IHC, IF/ICC, IP, ELISA applications and shows reactivity with human, mouse samples.
| 经测试应用 | WB, IHC, IF/ICC, IP, ELISA Application Description |
| 文献引用应用 | WB, IF, IP |
| 经测试反应性 | human, mouse |
| 文献引用反应性 | human, mouse |
| 免疫原 |
CatNo: Ag19961 Product name: Recombinant human KIAA1712 protein Source: e coli.-derived, PGEX-4T Tag: GST Domain: 1-350 aa of BC038667 Sequence: MATGDLKRSLRNLEQVLRLLNYPEEVDCVGLIKGDPAASLPIISYSFTSYSPYVTELIMESNVELIAKNDLRFIDAVYKLLRDQFNYKPILTKKQFIQCGFAEWKIQIVCDILNCVMKKHKELSSLQKIPSQQRKKISSGKSEPPLGNEKISAEAVGVDISGRFMTSGKKKAVVIRHLYNEDNVDISEDTLSPITDVNEAVDVSDLNATEIKMPEVKVPEIKAEQQDVNVNPEITALQTMLAECQENLKKLTSIEKRLDCLEQKMKGKVMVDENTWTNLLSRVTLLETEMLLSKKNDEFIEFNEVSEDYASCSDMDLLNPHRKSEVERPASIPLSSGYSTASSDSTPRAS 种属同源性预测 |
| 宿主/亚型 | Rabbit / IgG |
| 抗体类别 | Polyclonal |
| 产品类型 | Antibody |
| 全称 | KIAA1712 |
| 别名 | Centrosomal protein of 44 kDa, HBV PreS1-transactivated protein 3, PS1TP3 |
| 计算分子量 | 390 aa, 44 kDa |
| 观测分子量 | 44 kDa |
| GenBank蛋白编号 | BC038667 |
| 基因名称 | CEP44 |
| Gene ID (NCBI) | 80817 |
| RRID | AB_2879557 |
| 偶联类型 | Unconjugated |
| 形式 | Liquid |
| 纯化方式 | Antigen affinity purification |
| UNIPROT ID | Q9C0F1 |
| 储存缓冲液 | PBS with 0.02% sodium azide and 50% glycerol, pH 7.3. |
| 储存条件 | Store at -20°C. Stable for one year after shipment. Aliquoting is unnecessary for -20oC storage. |
背景介绍
CEP44, also named as KIAA1712 and PS1TP3, localizes to centrosomes, spindle poles, and weakly in midbody. It is a 44 kDa centrosome protein.
实验方案
| Product Specific Protocols | |
|---|---|
| IF protocol for CEP44 antibody 24457-1-AP | Download protocol |
| IHC protocol for CEP44 antibody 24457-1-AP | Download protocol |
| IP protocol for CEP44 antibody 24457-1-AP | Download protocol |
| WB protocol for CEP44 antibody 24457-1-AP | Download protocol |
| Standard Protocols | |
|---|---|
| Click here to view our Standard Protocols |
发表文章
| Species | Application | Title |
|---|---|---|
J Cell Biol Centrosomal organization of Cep152 provides flexibility in Plk4 and procentriole positioning | ||







