验证数据展示
经过测试的应用
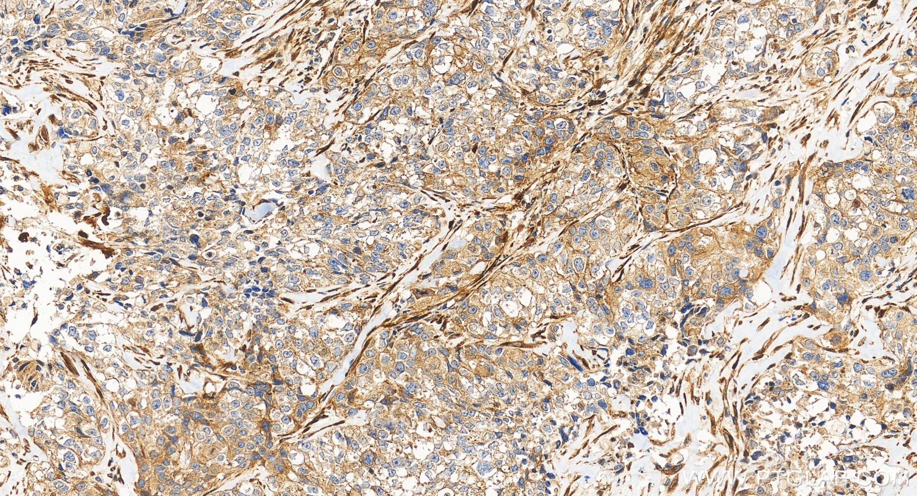
| Positive IHC detected in | human ovary cancer tissue, human colon cancer tissue Note: suggested antigen retrieval with TE buffer pH 9.0; (*) Alternatively, antigen retrieval may be performed with citrate buffer pH 6.0 |
| Positive IF/ICC detected in | HeLa cells |
推荐稀释比
| 应用 | 推荐稀释比 |
|---|---|
| Immunohistochemistry (IHC) | IHC : 1:250-1:1000 |
| Immunofluorescence (IF)/ICC | IF/ICC : 1:200-1:800 |
| It is recommended that this reagent should be titrated in each testing system to obtain optimal results. | |
| Sample-dependent, Check data in validation data gallery. | |
产品信息
85210-4-RR targets KCTD5 in IHC, IF/ICC, ELISA applications and shows reactivity with human samples.
| 经测试应用 | IHC, IF/ICC, ELISA Application Description |
| 经测试反应性 | human |
| 免疫原 |
CatNo: Ag7915 Product name: Recombinant human KCTD5 protein Source: e coli.-derived, PGEX-4T Tag: GST Domain: 1-234 aa of BC007314 Sequence: MAENHCELLSPARGGIGAGLGGGLCRRCSAGLGALAQRPGSVSKWVRLNVGGTYFLTTRQTLCRDPKSFLYRLCQADPDLDSDKDETGAYLIDRDPTYFGPVLNYLRHGKLVINKDLAEEGVLEEAEFYNITSLIKLVKDKIRERDSKTSQVPVKHVYRVLQCQEEELTQMVSTMSDGWKFEQLVSIGSSYNYGNEDQAEFLCVVSKELHNTPYGTASEPSEKAKILQERGSRM 种属同源性预测 |
| 宿主/亚型 | Rabbit / IgG |
| 抗体类别 | Recombinant |
| 产品类型 | Antibody |
| 全称 | potassium channel tetramerisation domain containing 5 |
| 别名 | 242864A11, BTB/POZ domain-containing protein KCTD5, KCTD17, KCTD2 |
| 计算分子量 | 26 kDa |
| GenBank蛋白编号 | BC007314 |
| 基因名称 | KCTD5 |
| Gene ID (NCBI) | 54442 |
| RRID | AB_3744105 |
| 偶联类型 | Unconjugated |
| 形式 | Liquid |
| 纯化方式 | Protein A purification |
| UNIPROT ID | Q9NXV2 |
| 储存缓冲液 | PBS with 0.02% sodium azide and 50% glycerol, pH 7.3. |
| 储存条件 | Store at -20°C. Stable for one year after shipment. Aliquoting is unnecessary for -20oC storage. |
背景介绍
KCTD5 belongs to the human potassium (K+) channel tetramerization domain (KCTD) family of proteins which share sequence similarity with the cytoplasmic domain of voltage-gated K+ channels (Kv channels). The KCTD proteins have relatively conserved N-terminal domains and variable C-termini (PMID: 24268103). KCTD5 interacts with cullin3 and has been proposed to function as substrate adapter for cullin3 based ubiquitin E3 ligases (PMID: 26188516).
实验方案
| Product Specific Protocols | |
|---|---|
| IF protocol for KCTD5 antibody 85210-4-RR | Download protocol |
| IHC protocol for KCTD5 antibody 85210-4-RR | Download protocol |
| Standard Protocols | |
|---|---|
| Click here to view our Standard Protocols |


