验证数据展示
经过测试的应用
| Positive WB detected in | mouse brain tissue |
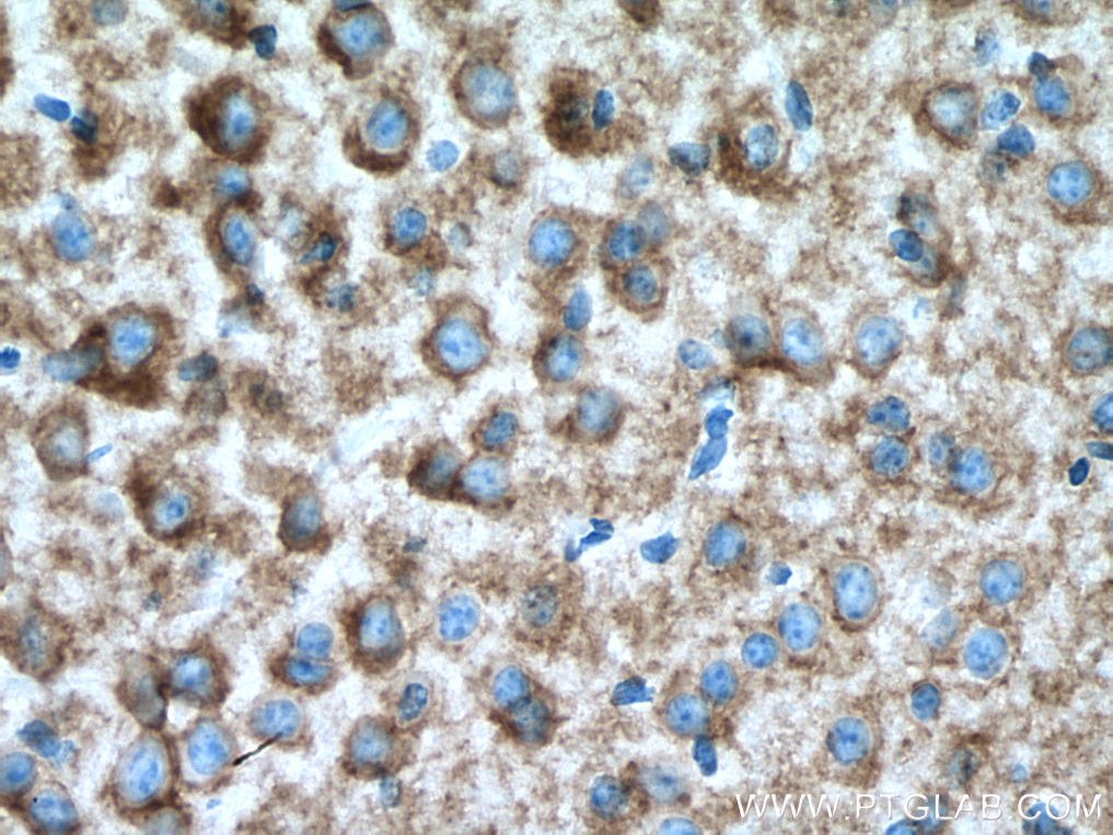
| Positive IHC detected in | rat brain tissue, mouse brain tissue Note: suggested antigen retrieval with TE buffer pH 9.0; (*) Alternatively, antigen retrieval may be performed with citrate buffer pH 6.0 |
| Positive IF-P detected in | mouse cerebellum tissue |
推荐稀释比
| 应用 | 推荐稀释比 |
|---|---|
| Western Blot (WB) | WB : 1:1000-1:6000 |
| Immunohistochemistry (IHC) | IHC : 1:500-1:2000 |
| Immunofluorescence (IF)-P | IF-P : 1:50-1:500 |
| It is recommended that this reagent should be titrated in each testing system to obtain optimal results. | |
| Sample-dependent, Check data in validation data gallery. | |
发表文章中的应用
| WB | See 1 publications below |
产品信息
28724-1-AP targets KCC2/SLC12A5 in WB, IHC, IF-P, ELISA applications and shows reactivity with Human, Mouse, Rat samples.
| 经测试应用 | WB, IHC, IF-P, ELISA Application Description |
| 文献引用应用 | WB |
| 经测试反应性 | Human, Mouse, Rat |
| 文献引用反应性 | human |
| 免疫原 |
CatNo: Ag30203 Product name: Recombinant human SLC12A5 protein Source: e coli.-derived, PGEX-4T Tag: GST Domain: 915-1043 aa of BC132670 Sequence: ILKQMHLTKNEREREIQSITDESRGSIRRKNPANTRLRLNVPEETAGDSEEKPEEEVQLIHDQSAPSCPSSSPSPGEEPEGEGETDPEKVHLTWTKDKSVAEKNKGPSPVSSEGIKDFFSMKPEWENLN 种属同源性预测 |
| 宿主/亚型 | Rabbit / IgG |
| 抗体类别 | Polyclonal |
| 产品类型 | Antibody |
| 全称 | solute carrier family 12 (potassium-chloride transporter), member 5 |
| 别名 | hKCC2, K Cl cotransporter 2, KCC2, KCC2/SLC12A5, KIAA1176, Neuronal K Cl cotransporter, SLC12A5 |
| 观测分子量 | 130-150 kDa |
| GenBank蛋白编号 | BC132670 |
| 基因名称 | KCC2 |
| Gene ID (NCBI) | 57468 |
| RRID | AB_2918195 |
| 偶联类型 | Unconjugated |
| 形式 | Liquid |
| 纯化方式 | Antigen affinity purification |
| UNIPROT ID | Q9H2X9 |
| 储存缓冲液 | PBS with 0.02% sodium azide and 50% glycerol, pH 7.3. |
| 储存条件 | Store at -20°C. Stable for one year after shipment. Aliquoting is unnecessary for -20oC storage. |
背景介绍
KCC2, encoded by SLC12A5, is a neuron-specific K+-Cl- cotransporter that is essential for Cl- homeostasis and inhibitory synaptic transmission in brain. KCC2 is expressed at high levels in neurons throughout the nervous system. KCC2 deletion caused animal death. Alterations of KCC2 have been linked to neuropathic pain, temporal lobe epilepsy, and other diseases.
实验方案
| Product Specific Protocols | |
|---|---|
| IF protocol for KCC2/SLC12A5 antibody 28724-1-AP | Download protocol |
| IHC protocol for KCC2/SLC12A5 antibody 28724-1-AP | Download protocol |
| WB protocol for KCC2/SLC12A5 antibody 28724-1-AP | Download protocol |
| Standard Protocols | |
|---|---|
| Click here to view our Standard Protocols |






