验证数据展示
产品信息
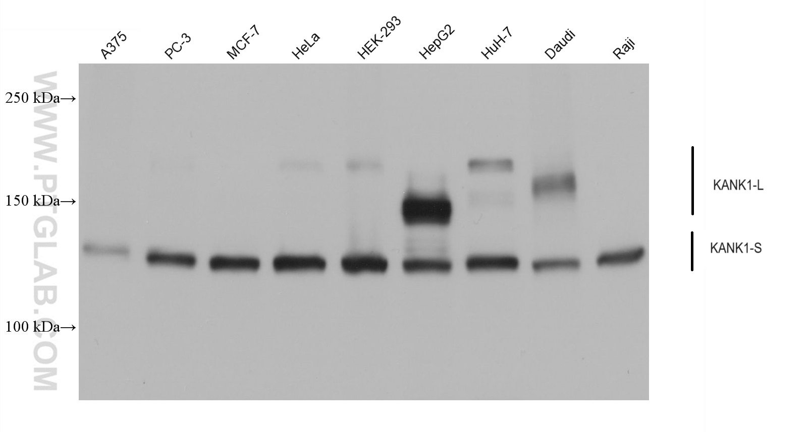
68613-1-PBS targets KANK1 in WB, IF/ICC, FC (Intra), Indirect ELISA applications and shows reactivity with human samples.
| 经测试应用 | WB, IF/ICC, FC (Intra), Indirect ELISA Application Description |
| 经测试反应性 | human |
| 免疫原 |
CatNo: Ag31440 Product name: Recombinant human KANK1 protein Source: e coli.-derived, PET28a Tag: 6*His Domain: 291-467 aa of NM_015158 Sequence: ISVLQEEKRQLVSQLKNQRAASQINVCGVRKRSYSAGNASQLEQLSRARRSGGELYIDYEEEEMETVEQSTQRIKEFRQLTADMQALEQKIQDSSCEASSELRENGECRSVAVGAEENMNDIVVYHRGSRSCKDAAVGTLVEMRNCGVSVTEAMLGVMTEADKEIELQQQTIESLKE 种属同源性预测 |
| 宿主/亚型 | Mouse / IgG1 |
| 抗体类别 | Monoclonal |
| 产品类型 | Antibody |
| 全称 | KN motif and ankyrin repeat domains 1 |
| 别名 | ANKRD15, Ankyrin repeat domain-containing protein 15, KANK, KIAA0172, Kidney ankyrin repeat-containing protein |
| 计算分子量 | 147KD |
| 观测分子量 | 130-200 kDa |
| GenBank蛋白编号 | NM_015158 |
| 基因名称 | KANK1 |
| Gene ID (NCBI) | 23189 |
| RRID | AB_3085307 |
| 偶联类型 | Unconjugated |
| 形式 | Liquid |
| 纯化方式 | Protein G purification |
| UNIPROT ID | Q14678 |
| 储存缓冲液 | PBS only, pH 7.3. |
| 储存条件 | Store at -80°C. The product is shipped with ice packs. Upon receipt, store it immediately at -80°C |
背景介绍
KANK1 (KN motif and ankyrin repeat domain-containing protein 1) is involved in the control of cytoskeleton formation by regulating actin polymerization, inhibiting actin fiber formation and cell migration (PMID: 25961457). It inhibits RhoA activity, the formation of lamellipodia but not of filopodia (PMID: 25961457, PMID: 5961457).It also inhibits fibronectin-mediated cell spreading and regulates Rac signaling pathways (PMID: 25961457). Talin-KANK1 interaction controls the recruitment of cortical microtubule stabilizing complexes to focal adhesions (PMID: 27410476). KANK1 can be detected 130-200 kDa (PMID: 15823577, PMID: 33253712, PMID: 35805114).


