验证数据展示
经过测试的应用
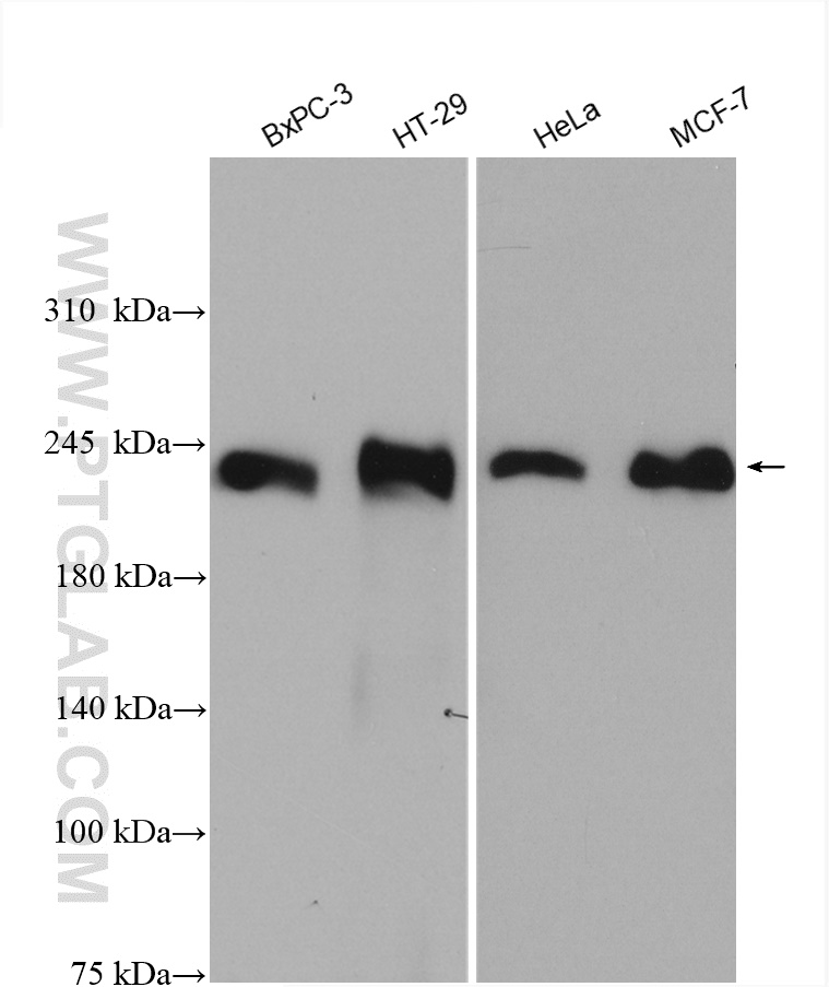
| Positive WB detected in | BxPC-3 cells, A431 cells, A549 cells, HT-29 cells, HeLa cells, MCF-7 cells | 
| Positive IP detected in | HeLa cells | 
| Positive IHC detected in | mouse colon tissue, human placenta tissue,  human pancreas cancer tissue,  human breast cancer tissue Note: suggested antigen retrieval with TE buffer pH 9.0; (*) Alternatively, antigen retrieval may be performed with citrate buffer pH 6.0 | 
| Positive IF/ICC detected in | A431 cells | 
推荐稀释比
| 应用 | 推荐稀释比 | 
|---|---|
| Western Blot (WB) | WB : 1:500-1:1000 | 
| Immunoprecipitation (IP) | IP : 0.5-4.0 ug for 1.0-3.0 mg of total protein lysate | 
| Immunohistochemistry (IHC) | IHC : 1:300-1:1200 | 
| Immunofluorescence (IF)/ICC | IF/ICC : 1:200-1:800 | 
| It is recommended that this reagent should be titrated in each testing system to obtain optimal results. | |
| Sample-dependent, Check data in validation data gallery. | |
产品信息
21738-1-AP targets Integrin Beta 4 in WB, IHC, IF/ICC, IP, CoIP, ELISA applications and shows reactivity with human, mouse, rat samples.
| 经测试应用 | WB, IHC, IF/ICC, IP, ELISA Application Description | 
| 文献引用应用 | WB, IHC, IF, IP, CoIP | 
| 经测试反应性 | human, mouse, rat | 
| 文献引用反应性 | human, mouse, rat | 
| 免疫原 | CatNo: Ag16450 Product name: Recombinant human Integrin beta-4 protein Source: e coli.-derived, PGEX-4T Tag: GST Domain: 27-354 aa of BC126411 Sequence: ANRCKKAPVKSCTECVRVDKDCAYCTDEMFRDRRCNTQAELLAAGCQRESIVVMESSFQITEETQIDTTLRRSQMSPQGLRVRLRPGEERHFELEVFEPLESPVDLYILMDFSNSMSDDLDNLKKMGQNLARVLSQLTSDYTIGFGKFVDKVSVPQTDMRPEKLKEPWPNSDPPFSFKNVISLTEDVDEFRNKLQGERISGNLDAPEGGFDAILQTAVCTRDIGWRPDSTHLLVFSTESAFHYEADGANVLAGIMSRNDERCHLDTTGTYTQYRTQDYPSVPTLVRLLAKHNIIPIFAVTNYSYSYYEKLHTYFPVSSLGVLQEDSSN种属同源性预测 | 
| 宿主/亚型 | Rabbit / IgG | 
| 抗体类别 | Polyclonal | 
| 产品类型 | Antibody | 
| 全称 | integrin, beta 4 | 
| 别名 | ITGB4, integrin, beta 4, Integrin beta-4, GP150, CD104 | 
| 计算分子量 | 1752 aa, 195 kDa | 
| 观测分子量 | 200-240 kDa | 
| GenBank蛋白编号 | BC126411 | 
| 基因名称 | Integrin beta 4 | 
| Gene ID (NCBI) | 3691 | 
| RRID | AB_10733888 | 
| 偶联类型 | Unconjugated | 
| 形式 | Liquid | 
| 纯化方式 | Antigen affinity purification | 
| UNIPROT ID | P16144 | 
| 储存缓冲液 | PBS with 0.02% sodium azide and 50% glycerol, pH 7.3. | 
| 储存条件 | Store at -20°C. Stable for one year after shipment. Aliquoting is unnecessary for -20oC storage. | 
背景介绍
Integrins are cell adhesion receptors that are heterodimers composed of non-covalently associated alpha and beta subunits. Integrin beta-4 is predominantly expressed in squamous epithelial cells, endothelial cells, immature thymocytes, Schwann cells, and fibroblasts of the peripheral nervous system (PMID: 28084395). Integrin beta-4 pairs with alpha-6, and the heterodimeric integrin alpha-6/beta-4 is a receptor for laminin. Integrin alpha-6/beta-4 plays a critical structural role in the hemidesmosome of epithelial cells, and also plays a role in the invasive and metastatic phenotype of various cancers.
实验方案
| Product Specific Protocols | |
|---|---|
| IF protocol for Integrin Beta 4 antibody 21738-1-AP | Download protocol | 
| IHC protocol for Integrin Beta 4 antibody 21738-1-AP | Download protocol | 
| IP protocol for Integrin Beta 4 antibody 21738-1-AP | Download protocol | 
| WB protocol for Integrin Beta 4 antibody 21738-1-AP | Download protocol | 
| Standard Protocols | |
|---|---|
| Click here to view our Standard Protocols | 
发表文章
| Species | Application | Title | 
|---|---|---|
| Oncogene Programmed death ligand 1 promotes lymph node metastasis and glucose metabolism in cervical cancer by activating integrin β4/SNAI1/SIRT3 signaling pathway.
 | ||
| Phytomedicine Ganoderma lucidum polysaccharide inhibits HSC activation and liver fibrosis via targeting inflammation, apoptosis, cell cycle, and ECM-receptor interaction mediated by TGF-β/Smad signaling | ||
| Sci Rep Integrin β4 promotes cell invasion and epithelial-mesenchymal transition through the modulation of Slug expression in hepatocellular carcinoma. | ||
| Front Oncol p63 Directs Subtype-Specific Gene Expression in HPV+ Head and Neck Squamous Cell Carcinoma. | ||
| Cell Commun Signal METTL14-mediated N6-methyladenosine modification of ITGB4 mRNA inhibits metastasis of clear cell renal cell carcinoma.
 | ||
| Int J Oncol FAM83A exerts tumor‑suppressive roles in cervical cancer by regulating integrins. | 















