验证数据展示
经过测试的应用
| Positive WB detected in | K-562 cells, HeLa cells, HEK-293 cells, Jurkat cells, NIH/3T3 cells, RAW 264.7 cells, PC-12 cells |
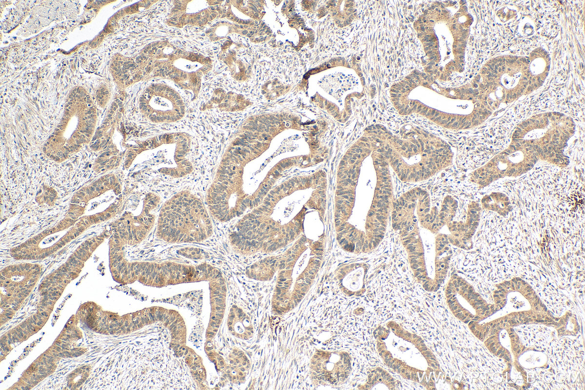
| Positive IHC detected in | human colon cancer tissue Note: suggested antigen retrieval with TE buffer pH 9.0; (*) Alternatively, antigen retrieval may be performed with citrate buffer pH 6.0 |
| Positive FC (Intra) detected in | PC-12 cells |
推荐稀释比
| 应用 | 推荐稀释比 |
|---|---|
| Western Blot (WB) | WB : 1:1000-1:6000 |
| Immunohistochemistry (IHC) | IHC : 1:250-1:1000 |
| Flow Cytometry (FC) (INTRA) | FC (INTRA) : 0.80 ug per 10^6 cells in a 100 µl suspension |
| It is recommended that this reagent should be titrated in each testing system to obtain optimal results. | |
| Sample-dependent, Check data in validation data gallery. | |
产品信息
68064-1-Ig targets INO80 in WB, IHC, FC (Intra), ELISA applications and shows reactivity with human, mouse, rat samples.
| 经测试应用 | WB, IHC, FC (Intra), ELISA Application Description |
| 经测试反应性 | human, mouse, rat |
| 免疫原 |
CatNo: Ag20265 Product name: Recombinant human INO80 protein Source: e coli.-derived, PET28a Tag: 6*His Domain: 1217-1556 aa of BC146785 Sequence: KQVTVYRLICKGTIEERILQRAKEKSEIQRMVISGGNFKPDTLKPKEVVSLLLDDEELEKKLRLRQEEKRQQEETNRVKERKRKREKYAEKKKKEDELDGKRRKEGVNLVIPFVPSADNSNLSADGDDSFISVDSAMPSPFSEISISSELHTGSIPLDESSSDMLVIVDDPASSAPQSRATNSPASITGSVSDTVNGISIQEMPAAGRGHSARSRGRPKGSGSTAKGAGKGRSRKSTAGSAAAMAGAKAGAAAASAAAYAAYGYNVSKGISASSPLQTSLVRPAGLADFGPSSASSPLSSPLSKGNNVPGNPKNLHMTSSLAPDSLVRKQGKGTNPSGGR 种属同源性预测 |
| 宿主/亚型 | Mouse / IgG1 |
| 抗体类别 | Monoclonal |
| 产品类型 | Antibody |
| 全称 | INO80 homolog (S. cerevisiae) |
| 别名 | hINO80, EC:3.6.4.-, DNA helicase-related protein INO80, DNA helicase-related INO80 complex homolog 1, Chromatin-remodeling ATPase INO80 |
| 计算分子量 | 1556 aa, 177 kDa |
| 观测分子量 | 177 kDa |
| GenBank蛋白编号 | BC146785 |
| 基因名称 | INO80 |
| Gene ID (NCBI) | 54617 |
| RRID | AB_2918805 |
| 偶联类型 | Unconjugated |
| 形式 | Liquid |
| 纯化方式 | Protein G purification |
| UNIPROT ID | Q9ULG1 |
| 储存缓冲液 | PBS with 0.02% sodium azide and 50% glycerol, pH 7.3. |
| 储存条件 | Store at -20°C. Stable for one year after shipment. Aliquoting is unnecessary for -20oC storage. |
背景介绍
DNA helicase INO80, also namd as INO80 or hINO80, is a 1,556 amino acid protein, which contains one helicase C-terminal domain, one helicase ATP-binding domain, and one DBINO domain. INO80 co-localizes with PCMA at replication forks during S-phase in the nucleus and belongs to the SNF2 helicase family. INO80 is a component of the chromatin remolding INO80 complex and is widely expressed in many tissues, such as brain,liver and pancreas. INO80 is involved in transcription regulation.
实验方案
| Product Specific Protocols | |
|---|---|
| FC protocol for INO80 antibody 68064-1-Ig | Download protocol |
| IHC protocol for INO80 antibody 68064-1-Ig | Download protocol |
| WB protocol for INO80 antibody 68064-1-Ig | Download protocol |
| Standard Protocols | |
|---|---|
| Click here to view our Standard Protocols |




