验证数据展示
经过测试的应用
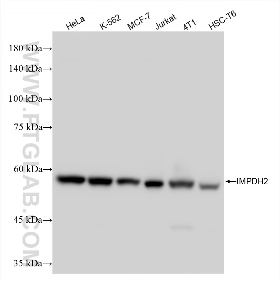
| Positive WB detected in | HeLa cells, K-562 cells, MCF-7 cells, Jurkat cells, HSC-T6 cells, 4T1 cells |
推荐稀释比
| 应用 | 推荐稀释比 |
|---|---|
| Western Blot (WB) | WB : 1:5000-1:50000 |
| It is recommended that this reagent should be titrated in each testing system to obtain optimal results. | |
| Sample-dependent, Check data in validation data gallery. | |
产品信息
86346-3-RR targets IMPDH2 in WB, ELISA applications and shows reactivity with human, mouse, rat samples.
| 经测试应用 | WB, ELISA Application Description |
| 经测试反应性 | human, mouse, rat |
| 免疫原 |
CatNo: Ag3632 Product name: Recombinant human IMPDH2 protein Source: e coli.-derived, PGEX-4T Tag: GST Domain: 1-350 aa of BC012840 Sequence: MADYLISGGTSYVPDDGLTAQQLFNCGDGLTYNDFLILPGYIDFTADQVDLTSALTKKITLKTPLVSSPMDTVTEAGMAIAMALTGGIGFIHHNCTPEFQANEVRKVKKYEQGFITDPVVLSPKDRVRDVFEAKARHGFCGIPITDTGRMGSRLVGIISSRDIDFLKEEEHDCFLEEIMTKREDLVVAPAGITLKEANEILQRSKKGKLPIVNEDDELVAIIARTDLKKNRDYPLASKDAKKQLLCGAAIGTHEDDKYRLDLLAQAGVDVVVLDSSQGNSIFQINMIKYIKDKYPNLQVIGGNVVTAAQAKNLIDAGVDALRVGMGSGSICITQEVLACGRPQATAVYKV 种属同源性预测 |
| 宿主/亚型 | Rabbit / IgG |
| 抗体类别 | Recombinant |
| 产品类型 | Antibody |
| 全称 | IMP (inosine monophosphate) dehydrogenase 2 |
| 别名 | EC:1.1.1.205, IMP dehydrogenase II, IMPD 2, IMPD2, IMPDH 2 |
| 计算分子量 | 514 aa, 56 kDa |
| 观测分子量 | 56 kDa |
| GenBank蛋白编号 | BC012840 |
| 基因名称 | IMPDH2 |
| Gene ID (NCBI) | 3615 |
| 偶联类型 | Unconjugated |
| 形式 | Liquid |
| 纯化方式 | Protein A purification |
| UNIPROT ID | P12268 |
| 储存缓冲液 | PBS with 0.02% sodium azide and 50% glycerol, pH 7.3. |
| 储存条件 | Store at -20°C. Stable for one year after shipment. Aliquoting is unnecessary for -20oC storage. |
背景介绍
IMPDH2, also named as IMPD2, belongs to the IMPDH/GMPR family. It is a rate limiting enzyme in the de novo synthesis of guanine nucleotides and therefore is involved in the regulation of cell growth. It may also have a role in the development of malignancy and the growth progression of some tumors. IMPDH2 is a key enzyme in the purine nucleotide biosynthetic pathway and constitutes a pivotal biological target for immunosuppressant and antiviral drugs. (PMID:21181270)
实验方案
| Product Specific Protocols | |
|---|---|
| WB protocol for IMPDH2 antibody 86346-3-RR | Download protocol |
| Standard Protocols | |
|---|---|
| Click here to view our Standard Protocols |

