验证数据展示
经过测试的应用
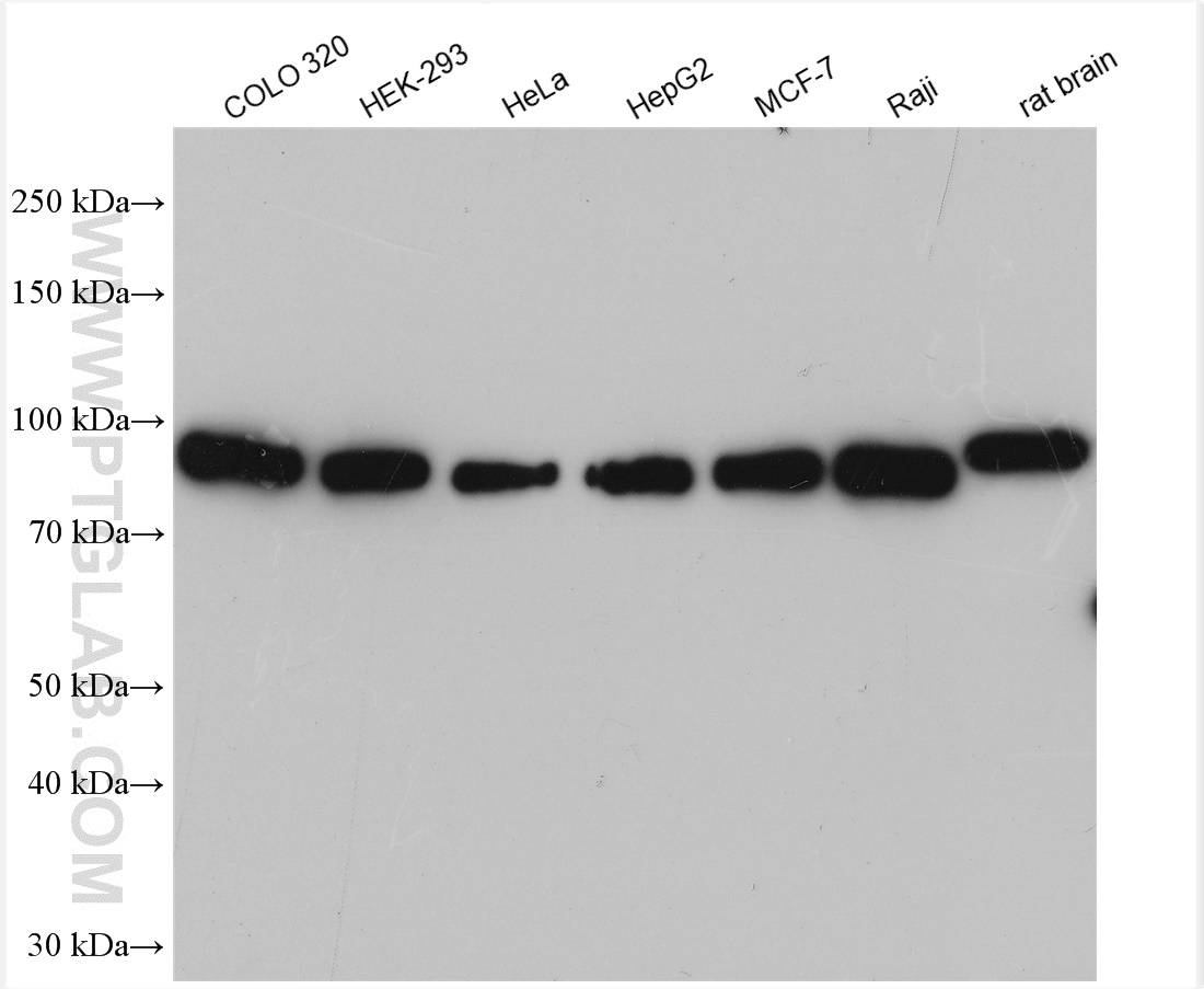
| Positive WB detected in | COLO 320 cells, HepG2 cells, HEK-293 cells, HeLa cells, Raji cells, mouse brain tissue, MCF-7 cells, rat brain tissue | 
| Positive IP detected in | Raji cells | 
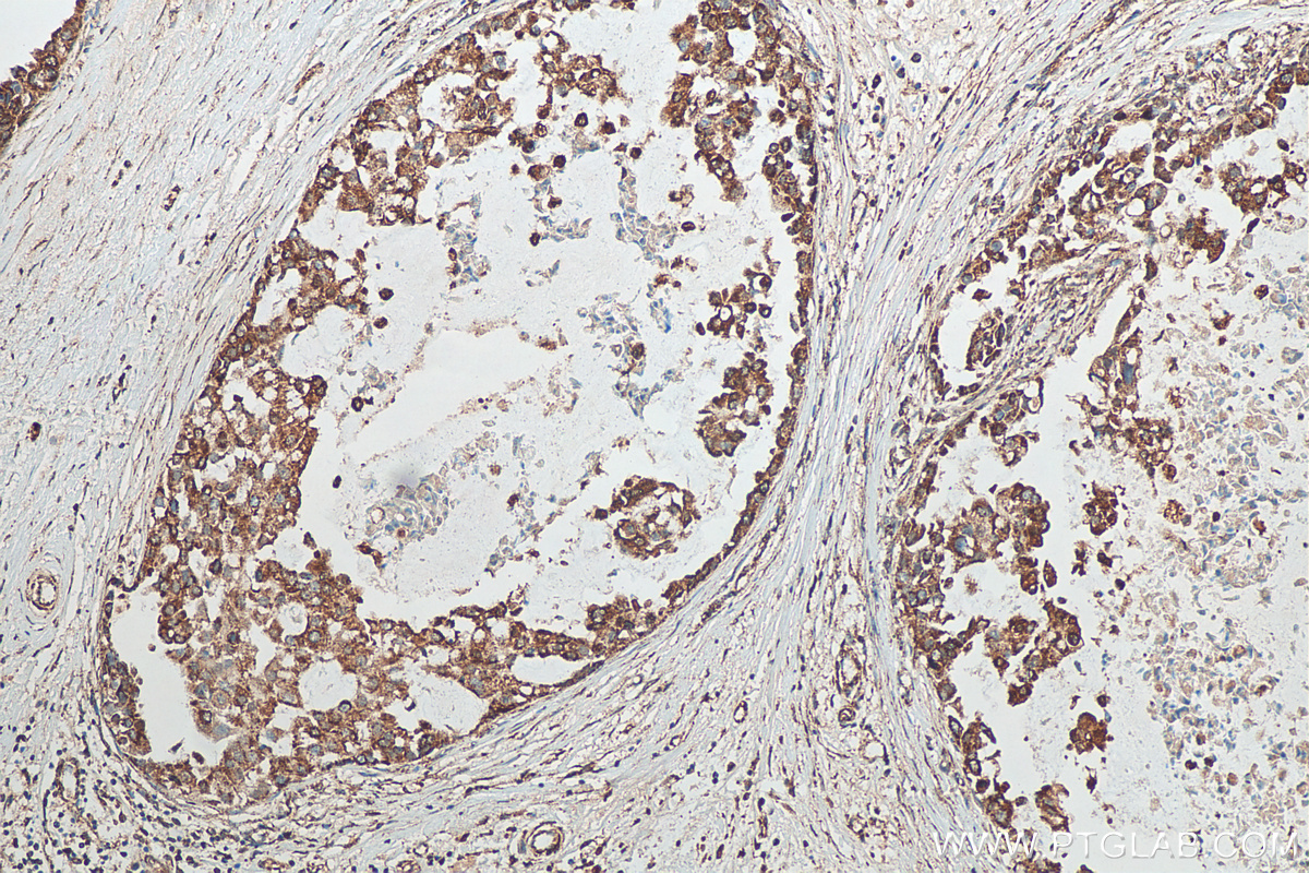
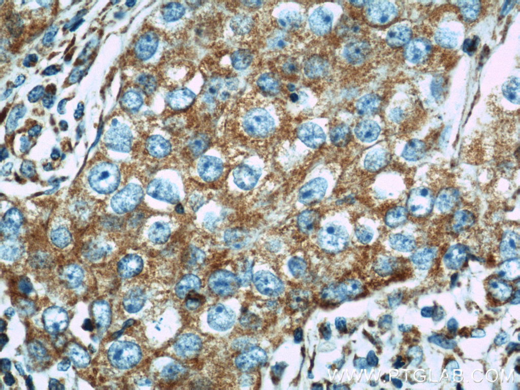
| Positive IHC detected in | human breast cancer tissue Note: suggested antigen retrieval with TE buffer pH 9.0; (*) Alternatively, antigen retrieval may be performed with citrate buffer pH 6.0  | 
| Positive IF/ICC detected in | HepG2 cells | 
| Positive FC (Intra) detected in | HEK-293T cells | 
推荐稀释比
| 应用 | 推荐稀释比 | 
|---|---|
| Western Blot (WB) | WB : 1:5000-1:50000 | 
| Immunoprecipitation (IP) | IP : 0.5-4.0 ug for 1.0-3.0 mg of total protein lysate | 
| Immunohistochemistry (IHC) | IHC : 1:50-1:500 | 
| Immunofluorescence (IF)/ICC | IF/ICC : 1:50-1:500 | 
| Flow Cytometry (FC) (INTRA) | FC (INTRA) : 0.20 ug per 10^6 cells in a 100 µl suspension | 
| It is recommended that this reagent should be titrated in each testing system to obtain optimal results. | |
| Sample-dependent, Check data in validation data gallery. | |
产品信息
10179-1-AP targets IMMT in WB, IHC, IF/ICC, FC (Intra), IP, CoIP, ELISA applications and shows reactivity with human, mouse, rat samples.
| 经测试应用 | WB, IHC, IF/ICC, FC (Intra), IP, ELISA Application Description | 
| 文献引用应用 | WB, IHC, IF, IP, CoIP | 
| 经测试反应性 | human, mouse, rat | 
| 文献引用反应性 | human, mouse, rat, hamster | 
| 免疫原 | 
                                             CatNo: Ag0102 Product name: Recombinant human IMMT protein Source: e coli.-derived, PGEX-4T Tag: GST Domain: 4-297 aa of BC002412 Sequence: ACQLSGVTAAAQSCLCGKFVLRPLRPCRRYSTSGSSGLTTGKIAGAGLLFVGGGIGGTILYAKWDSHFRESVEKTIPYSDKLFEMVLGPAAYNVPLPKKSIQSGPLKISSVSEVMKESKQPASQLQKQKGDTPASATAPTEAAQIISAAGDTLSVPAPAVQPEESLKTDHPEIGEGKPTPALSEEASSSSIRERPPEEVAARLAQQEKQEQVKIESLAKSLEDALRQTASVTLQAIAAQNAAVQAVNAHSNILKAAMDNSEIAGEKKSAQWRTVEGALKERRKAVDEAADALLK 种属同源性预测 | 
                                    
| 宿主/亚型 | Rabbit / IgG | 
| 抗体类别 | Polyclonal | 
| 产品类型 | Antibody | 
| 全称 | inner membrane protein, mitochondrial (mitofilin) | 
| 别名 | Cell proliferation-inducing gene 4/52 protein, HMP, MIC60, MICOS complex subunit MIC60, MINOS2 | 
| 计算分子量 | 90 kDa | 
| 观测分子量 | 80-90 kDa | 
| GenBank蛋白编号 | BC002412 | 
| 基因名称 | IMMT | 
| Gene ID (NCBI) | 10989 | 
| RRID | AB_2127193 | 
| 偶联类型 | Unconjugated | 
| 形式 | Liquid | 
| 纯化方式 | Antigen affinity purification | 
| UNIPROT ID | Q16891 | 
| 储存缓冲液 | PBS with 0.02% sodium azide and 50% glycerol, pH 7.3. | 
| 储存条件 | Store at -20°C. Stable for one year after shipment. Aliquoting is unnecessary for -20oC storage. | 
背景介绍
IMMT (also known as mitofilin) is an inner mitochondrial membrane protein that is preferentially expressed in heart tissue and is commonly used as the marker for mitochondria. Mitofilin is known to be a critical organizer of mitochondrial cristae morphology and is indispensable for normal mitochondrial function. Three isoforms of mitofilin exist due to the alternative splicing. All three proteins of 87kD, 89kD and 80kD can be detected in immunoblot analysis with this antibody.
实验方案
| Product Specific Protocols | |
|---|---|
| IF protocol for IMMT antibody 10179-1-AP | Download protocol | 
| IHC protocol for IMMT antibody 10179-1-AP | Download protocol | 
| IP protocol for IMMT antibody 10179-1-AP | Download protocol | 
| WB protocol for IMMT antibody 10179-1-AP | Download protocol | 
| Standard Protocols | |
|---|---|
| Click here to view our Standard Protocols | 
发表文章
| Species | Application | Title | 
|---|---|---|
Cell Metab Liver mitochondrial cristae organizing protein MIC19 promotes energy expenditure and pedestrian locomotion by altering nucleotide metabolism | ||
Cell Metab A cold-stress-inducible PERK/OGT axis controls TOM70-assisted mitochondrial protein import and cristae formation. | ||
Cell Metab The Ca(2+)-Dependent Release of the Mia40-Induced MICU1-MICU2 Dimer from MCU Regulates Mitochondrial Ca(2+) Uptake. | ||
Mol Cell Mitochondrial DNA breaks activate an integrated stress response to reestablish homeostasis | ||
Mol Cell The interplay between BAX and BAK tunes apoptotic pore growth to control mitochondrial-DNA-mediated inflammation. | 









