验证数据展示
经过测试的应用
| Positive WB detected in | Recombinant protein | 
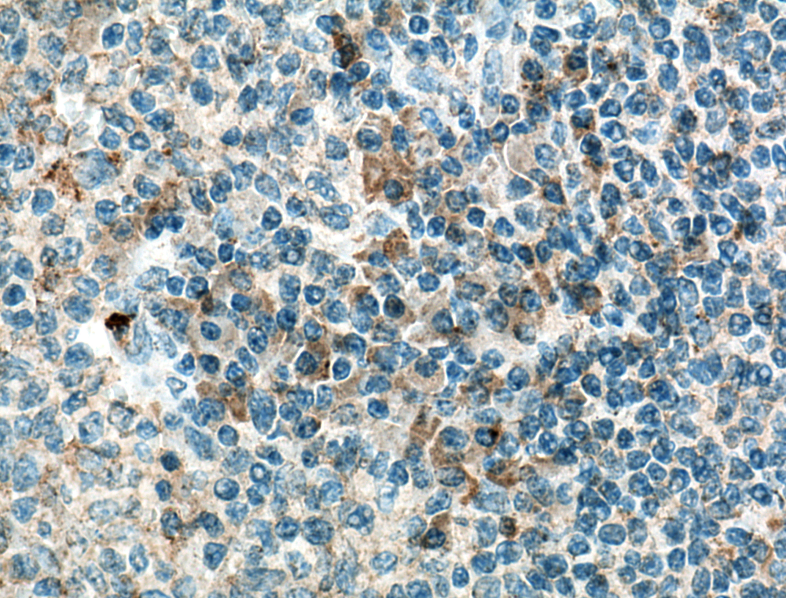
| Positive IHC detected in | human tonsillitis tissue Note: suggested antigen retrieval with TE buffer pH 9.0; (*) Alternatively, antigen retrieval may be performed with citrate buffer pH 6.0  | 
| Positive IF-P detected in | human tonsillitis tissue | 
推荐稀释比
| 应用 | 推荐稀释比 | 
|---|---|
| Western Blot (WB) | WB : 1:2000-1:16000 | 
| Immunohistochemistry (IHC) | IHC : 1:50-1:500 | 
| Immunofluorescence (IF)-P | IF-P : 1:200-1:800 | 
| It is recommended that this reagent should be titrated in each testing system to obtain optimal results. | |
| Sample-dependent, Check data in validation data gallery. | |
产品信息
60290-1-Ig targets IL-36 Beta/IL-1F8 in WB, IHC, IF-P, ELISA applications and shows reactivity with human samples.
| 经测试应用 | WB, IHC, IF-P, ELISA Application Description | 
| 经测试反应性 | human | 
| 免疫原 | 
                                             CatNo: Ag12675 Product name: Recombinant human IL-1F8 protein Source: e coli.-derived, PGEX-4T Tag: GST Domain: 1-157 aa of BC101833 Sequence: MNPQREAAPKSYAIRDSRQMVWVLSGNSLIAAPLSRSIKPVTLHLIACRDTEFSDKEKGNMVYLGIKGKDLCLFCAEIQGKPTLQLKEKNIMDLYVEKKAQKPFLFFHNKEGSTSVFQSVSYPGWFIATSTTSGQPIFLTKERGITNNTNFYLDSVE 种属同源性预测 | 
                                    
| 宿主/亚型 | Mouse / IgG1 | 
| 抗体类别 | Monoclonal | 
| 产品类型 | Antibody | 
| 全称 | interleukin 1 family, member 8 (eta) | 
| 别名 | IL1F8, 10D12B1, IL 1F8, IL 1H2, IL-1 eta | 
| 计算分子量 | 157 aa, 18 kDa | 
| 观测分子量 | 44 kDa | 
| GenBank蛋白编号 | BC101833 | 
| 基因名称 | IL-36 Beta/IL-1F8 | 
| Gene ID (NCBI) | 27177 | 
| RRID | AB_2881406 | 
| 偶联类型 | Unconjugated | 
| 形式 | Liquid | 
| 纯化方式 | Protein G purification | 
| UNIPROT ID | Q9NZH7 | 
| 储存缓冲液 | PBS with 0.02% sodium azide and 50% glycerol, pH 7.3. | 
| 储存条件 | Store at -20°C. Stable for one year after shipment. Aliquoting is unnecessary for -20oC storage. | 
实验方案
| Product Specific Protocols | |
|---|---|
| IF protocol for IL-36 Beta/IL-1F8 antibody 60290-1-Ig | Download protocol | 
| IHC protocol for IL-36 Beta/IL-1F8 antibody 60290-1-Ig | Download protocol | 
| WB protocol for IL-36 Beta/IL-1F8 antibody 60290-1-Ig | Download protocol | 
| Standard Protocols | |
|---|---|
| Click here to view our Standard Protocols | 




