验证数据展示
经过测试的应用
| Positive WB detected in | THP-1 cells, Jurkat cells, K-562 cells, MOLT-4 cells, U-937 cells, Raji cells, U2OS cells |
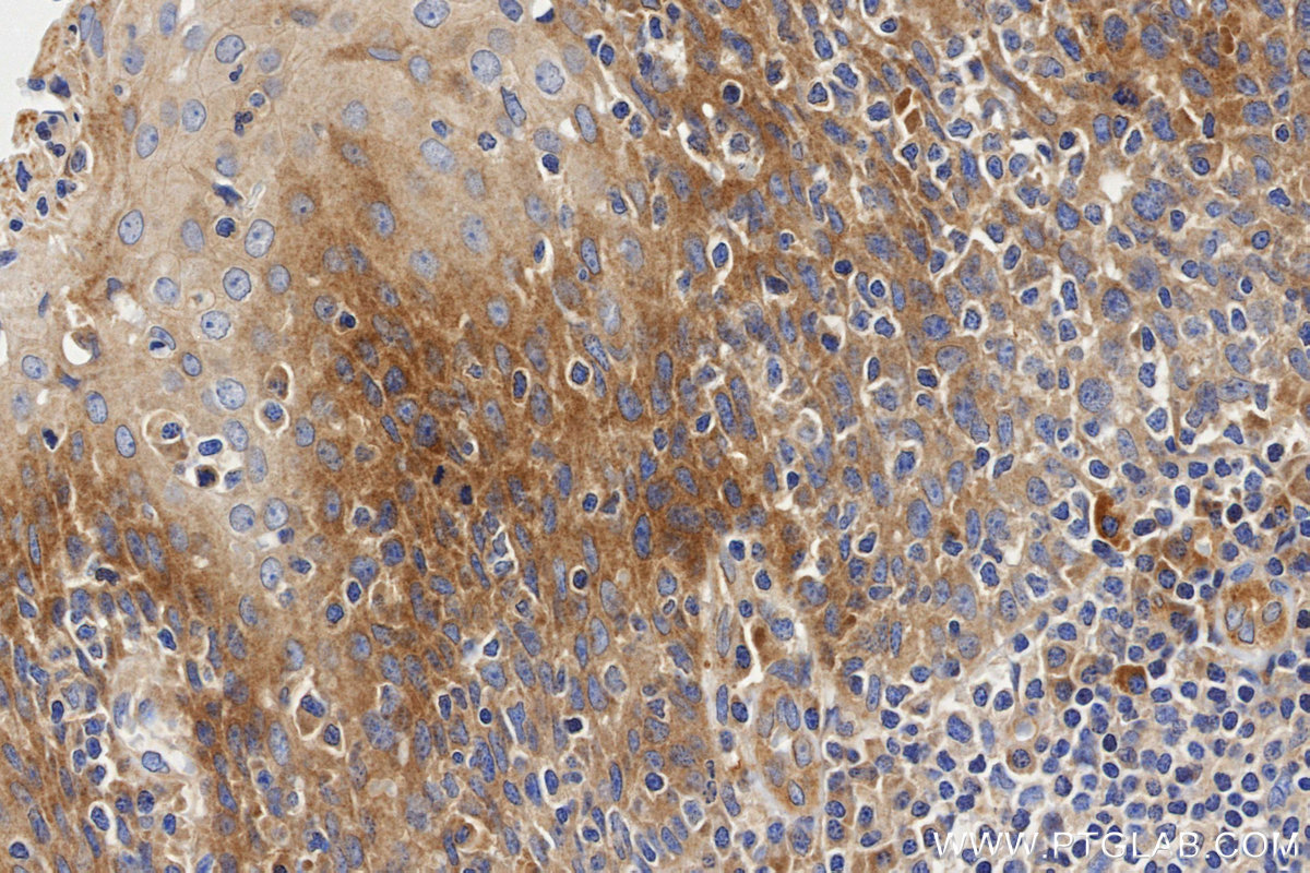
| Positive IHC detected in | Human Tonsil tissue Note: suggested antigen retrieval with TE buffer pH 9.0; (*) Alternatively, antigen retrieval may be performed with citrate buffer pH 6.0 |
| Positive IF/ICC detected in | U-937 cells |
推荐稀释比
| 应用 | 推荐稀释比 |
|---|---|
| Western Blot (WB) | WB : 1:500-1:2000 |
| Immunohistochemistry (IHC) | IHC : 1:500-1:2000 |
| Immunofluorescence (IF)/ICC | IF/ICC : 1:200-1:800 |
| It is recommended that this reagent should be titrated in each testing system to obtain optimal results. | |
| Sample-dependent, Check data in validation data gallery. | |
产品信息
84535-2-RR targets IL-17RA in WB, IHC, IF/ICC, ELISA applications and shows reactivity with human samples.
| 经测试应用 | WB, IHC, IF/ICC, ELISA Application Description |
| 经测试反应性 | human |
| 免疫原 |
CatNo: Eg2317 Product name: Recombinant Human IL-17RA protein (rFc Tag) Source: mammalian cells-derived, pHZ-KIsec-C-rFc Tag: C-rFc Domain: 33-320 aa of BC011624 Sequence: LRLLDHRALVCSQPGLNCTVKNSTCLDDSWIHPRNLTPSSPKDLQIQLHFAHTQQGDLFPVAHIEWTLQTDASILYLEGAELSVLQLNTNERLCVRFEFLSKLRHHHRRWRFTFSHFVVDPDQEYEVTVHHLPKPIPDGDPNHQSKNFLVPDCEHARMKVTTPCMSSGSLWDPNITVETLEAHQLRVSFTLWNESTHYQILLTSFPHMENHSCFEHMHHIPAPRPEEFHQRSNVTLTLRNLKGCCRHQVQIQPFFSSCLNDCLRHSATVSCPEMPDTPEPIPDYMPLW 种属同源性预测 |
| 宿主/亚型 | Rabbit / IgG |
| 抗体类别 | Recombinant |
| 产品类型 | Antibody |
| 全称 | interleukin 17 receptor A |
| 别名 | CD217, IL17RA, 241891E11, CANDF5, CDw217 |
| 计算分子量 | 866 aa, 96 kDa |
| 观测分子量 | 100-130 kDa |
| GenBank蛋白编号 | BC011624 |
| 基因名称 | IL17RA |
| Gene ID (NCBI) | 23765 |
| RRID | AB_3672042 |
| 偶联类型 | Unconjugated |
| 形式 | Liquid |
| 纯化方式 | Protein A purification |
| UNIPROT ID | Q96F46 |
| 储存缓冲液 | PBS with 0.02% sodium azide and 50% glycerol, pH 7.3. |
| 储存条件 | Store at -20°C. Stable for one year after shipment. Aliquoting is unnecessary for -20oC storage. |
背景介绍
Interleukin-17 receptor A (IL17A) is a major effector cytokine of the innate and adaptive immune system and is involved in antimicrobial host defense and maintenance of tissue integrity. It has been shown that IL-17A is involved in the pathogenesis of asthma and allergy and regulates local immune and inflammatory processes in bone tissue and is involved in the onset and progression of osteoporosis. In addition to this, due to polymorphisms in the IL17RA gene, it leads to the development of Fanconi anemia.
实验方案
| Product Specific Protocols | |
|---|---|
| IF protocol for IL-17RA antibody 84535-2-RR | Download protocol |
| IHC protocol for IL-17RA antibody 84535-2-RR | Download protocol |
| WB protocol for IL-17RA antibody 84535-2-RR | Download protocol |
| Standard Protocols | |
|---|---|
| Click here to view our Standard Protocols |



