验证数据展示
经过测试的应用
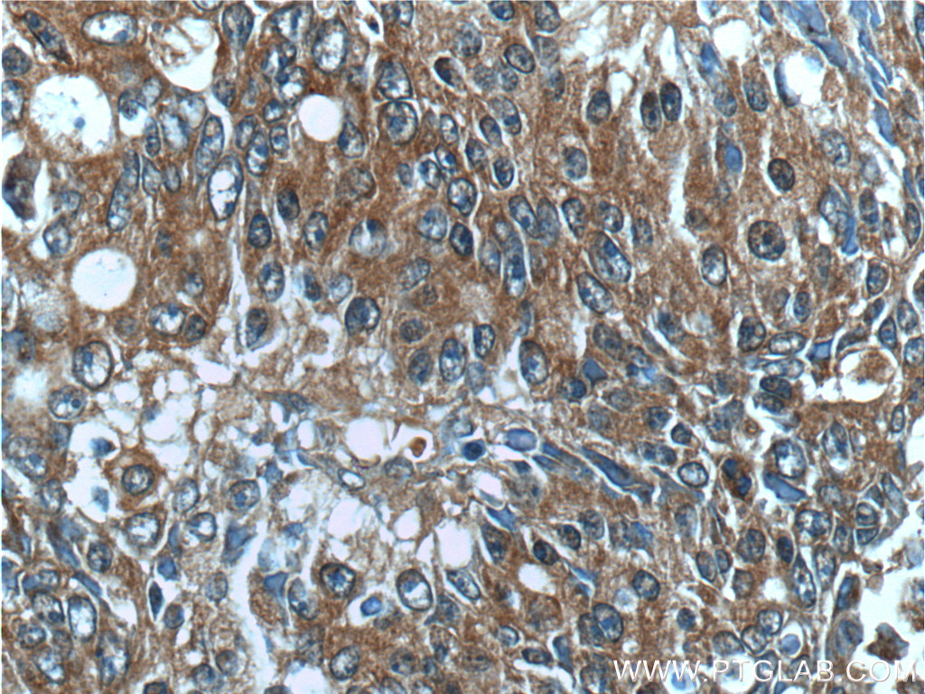
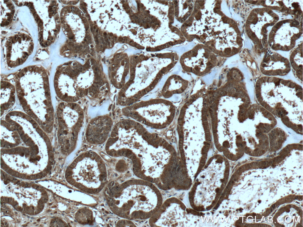
| Positive IHC detected in | human colon cancer tissue, human pancreas tissue, human ovary tumor tissue Note: suggested antigen retrieval with TE buffer pH 9.0; (*) Alternatively, antigen retrieval may be performed with citrate buffer pH 6.0 |
推荐稀释比
| 应用 | 推荐稀释比 |
|---|---|
| Immunohistochemistry (IHC) | IHC : 1:50-1:500 |
| It is recommended that this reagent should be titrated in each testing system to obtain optimal results. | |
| Sample-dependent, Check data in validation data gallery. | |
发表文章中的应用
| KD/KO | See 1 publications below |
| WB | See 1 publications below |
| IHC | See 1 publications below |
产品信息
24723-1-AP targets IL-36 Gamma/IL-1F9 in WB, IHC, ELISA applications and shows reactivity with human samples.
| 经测试应用 | IHC, ELISA Application Description |
| 文献引用应用 | WB, IHC |
| 经测试反应性 | human |
| 文献引用反应性 | human |
| 免疫原 |
CatNo: Ag21489 Product name: Recombinant human IL-1F9 protein Source: e coli.-derived, PET30a Tag: 6*His Domain: 1-169 aa of BC098337 Sequence: MRGTPGDADGGGRAVYQSMCKPITGTINDLNQQVWTLQGQNLVAVPRSDSVTPVTVAVITCKYPEALEQGRGDPIYLGIQNPEMCLYCEKVGEQPTLQLKEQKIMDLYGQPEPVKPFLFYRAKTGRTSTLESVAFPDWFIASSKRDQPIILTSELGKSYNTAFELNIND 种属同源性预测 |
| 宿主/亚型 | Rabbit / IgG |
| 抗体类别 | Polyclonal |
| 产品类型 | Antibody |
| 全称 | interleukin 1 family, member 9 |
| 别名 | IL1F9, IL-1F9, IL-36 gamma, IL 1 epsilon, IL 1 related protein 2 |
| 计算分子量 | 169 aa, 19 kDa |
| GenBank蛋白编号 | BC098337 |
| 基因名称 | IL-36 gamma/IL-1F9 |
| Gene ID (NCBI) | 56300 |
| RRID | AB_2879690 |
| 偶联类型 | Unconjugated |
| 形式 | Liquid |
| 纯化方式 | Antigen affinity purification |
| UNIPROT ID | Q9NZH8 |
| 储存缓冲液 | PBS with 0.02% sodium azide and 50% glycerol, pH 7.3. |
| 储存条件 | Store at -20°C. Stable for one year after shipment. Aliquoting is unnecessary for -20oC storage. |
背景介绍
IL-36 Gamma is a member of the interleukin 1 cytokine family. The activity of this cytokine is mediated by interleukin 1 receptor-like 2 (IL1RL2/IL1R-rp2), and is specifically inhibited by interleukin 1 family, member 5 (IL1F5/IL-1 delta). Interferon-gamma, tumor necrosis factor-alpha and interleukin 1, beta (IL1B) are reported to stimulate the expression of this cytokine in keratinocytes. The expression of this cytokine in keratinocytes can also be induced by a contact hypersensitivity reaction or herpes simplex virus infection.
实验方案
| Product Specific Protocols | |
|---|---|
| IHC protocol for IL-36 Gamma/IL-1F9 antibody 24723-1-AP | Download protocol |
| Standard Protocols | |
|---|---|
| Click here to view our Standard Protocols |
发表文章
| Species | Application | Title |
|---|---|---|
J Cutan Pathol IL-36α and IL-36γ expressions in the differential diagnosis of palmoplantar psoriasis and palmoplantar eczema: A retrospective histopathologic and immunohistochemical study. | ||
Sci Immunol Myeloid cell-derived proteases produce a proinflammatory form of IL-37 that signals via IL-36 receptor engagement
|





