验证数据展示
经过测试的应用
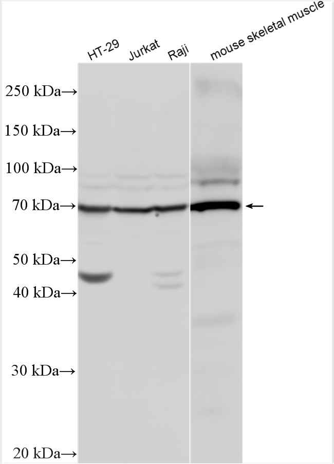
| Positive WB detected in | HT-29 cells, Jurkat cells, Raji cells, mouse skeletal muscle tissue | 
推荐稀释比
| 应用 | 推荐稀释比 | 
|---|---|
| Western Blot (WB) | WB : 1:500-1:3000 | 
| It is recommended that this reagent should be titrated in each testing system to obtain optimal results. | |
| Sample-dependent, Check data in validation data gallery. | |
产品信息
27916-1-AP targets IL-13Ra1/CD213a1 in WB, ELISA applications and shows reactivity with human, mouse samples.
| 经测试应用 | WB, ELISA Application Description | 
| 经测试反应性 | human, mouse | 
| 免疫原 | CatNo: Ag25542 Product name: Recombinant human IL-13RA1 protein Source: e coli.-derived, PGEX-4T Tag: GST Domain: 1-277 aa of BC009960 Sequence: MEWPARLCGLWALLLCAGGGGGGGGAAPTETQPPVTNLSVSVENLCTVIWTWNPPEGASSNCSLWYFSHFGDKQDKKIAPETRRSIEVPLNERICLQVGSQCSTNESEKPSILVEKCISPPEGDPESAVTELQCIWHNLSYMKCSWLPGRNTSPDTNYTLYYWHRSLEKIHQCENIFREGQYFGCSFDLTKVKDSSFEQHSVQIMVKDNAGKIKPSFNIVPLTSRVKPDPPHIKNLSFHNDDLYVQWENPQNFISRCLFYEVEVNNSQTETHNVFYV种属同源性预测 | 
| 宿主/亚型 | Rabbit / IgG | 
| 抗体类别 | Polyclonal | 
| 产品类型 | Antibody | 
| 全称 | interleukin 13 receptor, alpha 1 | 
| 别名 | IL13RA1, Cancer/testis antigen 19, CD213A1, CT19, IL 13 receptor subunit alpha 1 | 
| 计算分子量 | 49 kDa | 
| 观测分子量 | 70 kDa | 
| GenBank蛋白编号 | BC009960 | 
| 基因名称 | IL-13Rα1 | 
| Gene ID (NCBI) | 3597 | 
| RRID | AB_3086010 | 
| 偶联类型 | Unconjugated | 
| 形式 | Liquid | 
| 纯化方式 | Antigen affinity purification | 
| UNIPROT ID | P78552 | 
| 储存缓冲液 | PBS with 0.02% sodium azide and 50% glycerol, pH 7.3. | 
| 储存条件 | Store at -20°C. Stable for one year after shipment. Aliquoting is unnecessary for -20oC storage. | 
背景介绍
IL-13 is an immunoregulatory cytokine secreted predominantly by activated T-helper 2 (Th2) cells and performs multiple functions through a complex receptor system comprised of IL-4Rα and two IL-13 binding proteins, IL-13Rα1 and IL-13Rα2 (PMID: 12704343). IL-13Rα1 is a 65- to 70-kd glycosylated transmembrane protein (PMID: 10856136; 9723655). IL-13Rα1 is expressed on a wide range of cells including B cells, monocytes, macrophages, basophils, mast cells, and endothelial cells (PMID: 10856136; 31866859). IL-13 binding to the IL-4Rα/IL-13Rα1 complex leads to activation of JAK1, JAK2, and TYK2 and subsequent phosphorylation of STAT6 and STAT3 (PMID: 31866859).
实验方案
| Product Specific Protocols | |
|---|---|
| WB protocol for IL-13Ra1/CD213a1 antibody 27916-1-AP | Download protocol | 
| Standard Protocols | |
|---|---|
| Click here to view our Standard Protocols | 

