验证数据展示
经过测试的应用
| Positive WB detected in | human kidney tissue, HEK-293 cells, human heart tissue |
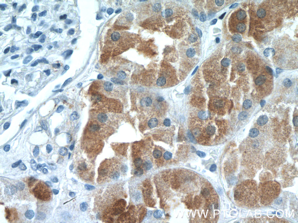
| Positive IHC detected in | human kidney tissue, human colon cancer tissue, human stomach cancer tissue Note: suggested antigen retrieval with TE buffer pH 9.0; (*) Alternatively, antigen retrieval may be performed with citrate buffer pH 6.0 |
推荐稀释比
| 应用 | 推荐稀释比 |
|---|---|
| Western Blot (WB) | WB : 1:500-1:2000 |
| Immunohistochemistry (IHC) | IHC : 1:100-1:400 |
| It is recommended that this reagent should be titrated in each testing system to obtain optimal results. | |
| Sample-dependent, Check data in validation data gallery. | |
产品信息
13388-1-AP targets IHH in WB, IHC, IF, ELISA applications and shows reactivity with human samples.
| 经测试应用 | WB, IHC, ELISA Application Description |
| 文献引用应用 | WB, IHC, IF |
| 经测试反应性 | human |
| 文献引用反应性 | human, mouse |
| 免疫原 |
CatNo: Ag4046 Product name: Recombinant human IHH protein Source: e coli.-derived, PGEX-4T Tag: GST Domain: 10-317 aa of BC034757 Sequence: TQRCKDRLNSLAISVMNQWPGVKLRVTEGWDEDGHHSEESLHYEGRAVDITTSDRDRNKYGLLARLAVEAGFDWVYYESKAHVHCSVKSEHSAAAKTGGCFPAGAQVRLESGARVALSAVRPGDRVLAMGEDGSPTFSDVLIFLDREPHRLRAFQVIETQDPPRRLALTPAHLLFTADNHTEPAARFRATFASHVQPGQYVLVAGVPGLQPARVAAVSTHVALGAYAPLTKHGTLVVEDVVASCFAAVADHHLAQLAFWPLRLFHSLAWGSWTPGEGVHWYPQLLYRLGRLLLEEGSFHPLGMSGAGS 种属同源性预测 |
| 宿主/亚型 | Rabbit / IgG |
| 抗体类别 | Polyclonal |
| 产品类型 | Antibody |
| 全称 | Indian hedgehog homolog (Drosophila) |
| 别名 | BDA1, EC:3.1.-.-, HHG 2, HHG2, HHG-2 |
| 计算分子量 | 411 aa, 45 kDa |
| 观测分子量 | 45 kDa |
| GenBank蛋白编号 | BC034757 |
| 基因名称 | IHH |
| Gene ID (NCBI) | 3549 |
| RRID | AB_2248725 |
| 偶联类型 | Unconjugated |
| 形式 | Liquid |
| 纯化方式 | Antigen affinity purification |
| UNIPROT ID | Q14623 |
| 储存缓冲液 | PBS with 0.02% sodium azide and 50% glycerol, pH 7.3. |
| 储存条件 | Store at -20°C. Stable for one year after shipment. Aliquoting is unnecessary for -20oC storage. |
实验方案
| Product Specific Protocols | |
|---|---|
| IHC protocol for IHH antibody 13388-1-AP | Download protocol |
| WB protocol for IHH antibody 13388-1-AP | Download protocol |
| Standard Protocols | |
|---|---|
| Click here to view our Standard Protocols |
发表文章
| Species | Application | Title |
|---|---|---|
Nat Commun TSPAN8 promotes cancer cell stemness via activation of sonic Hedgehog signaling. | ||
Cell Mol Life Sci Adamts17 is involved in skeletogenesis through modulation of BMP-Smad1/5/8 pathway. | ||
Mol Ther Intra-articular Delivery of Antago-miR-483-5p Inhibits Osteoarthritis by Modulating Matrilin 3 and Tissue Inhibitor of Metalloproteinase 2. | ||
Osteoarthritis Cartilage mTORC1 activation downregulates FGFR3 and PTH/PTHrP receptor in articular chondrocytes to initiate osteoarthritis. | ||
Int J Mol Sci Inhibition of Ihh Reverses Temporomandibular Joint Osteoarthritis via a PTH1R Signaling Dependent Mechanism. | ||
Dev Biol DDB1 promotes the proliferation and hypertrophy of chondrocytes during mouse skeleton development. |









