IHCeasy® SSR3 Ready-To-Use IHC Kit
SSR3 Ready-to-use reagent kit for IHC.
Reactivity
Human, Mouse, Rat
Sample Type
FFPE tissue
Cat no : KHC3121
Synonyms
SSR 3, SSR gamma, SSR-gamma, Translocon-associated protein subunit gamma, TRAP gamma
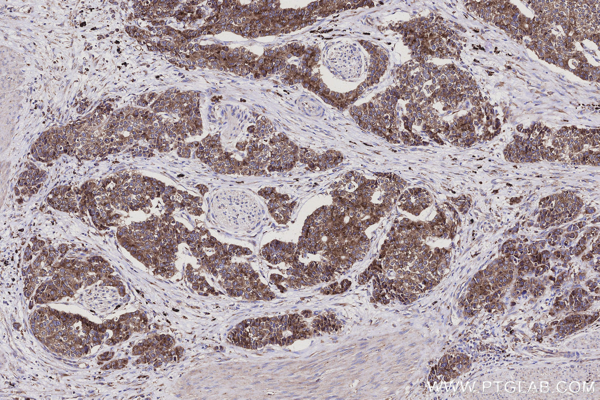
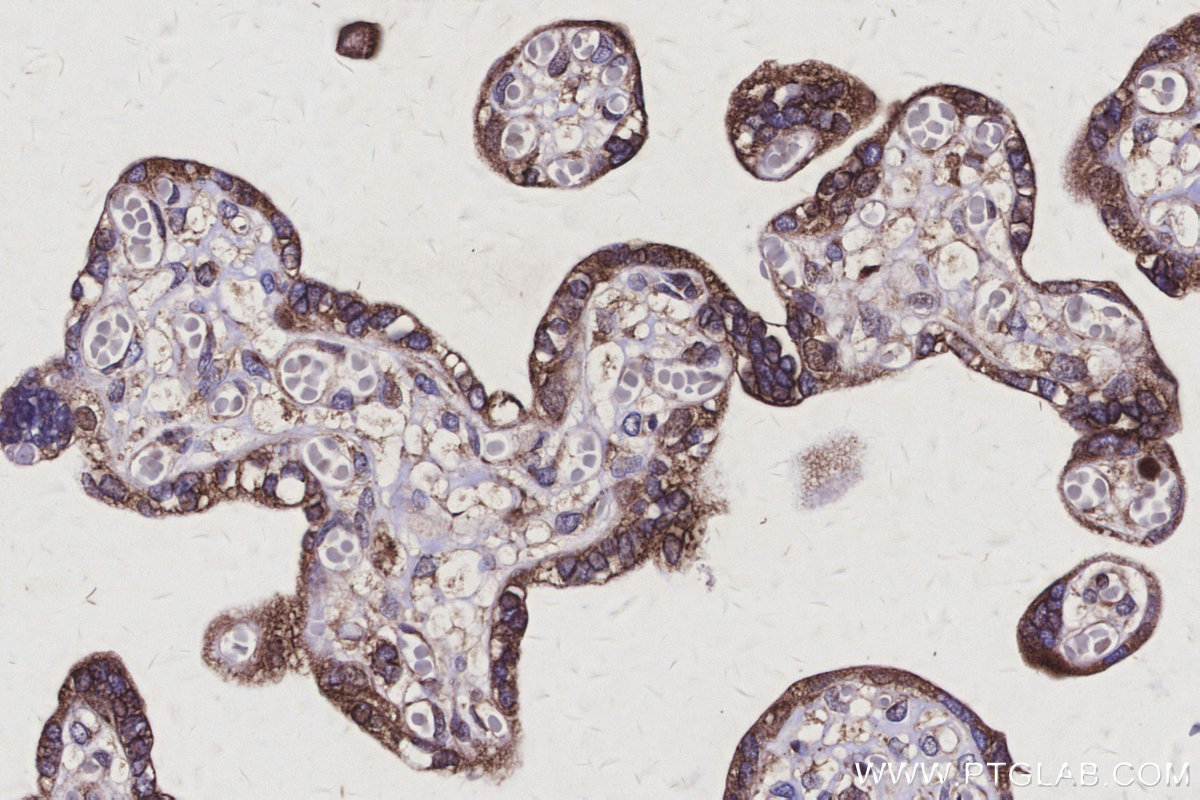
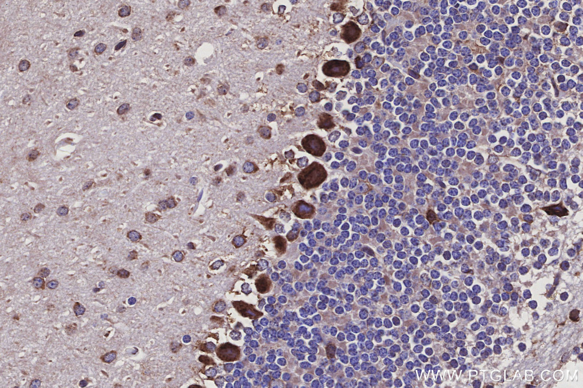
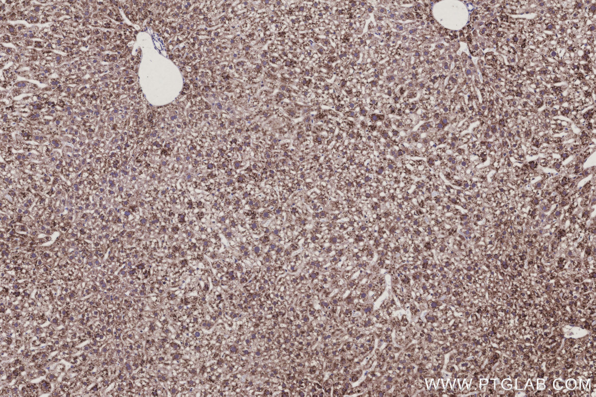
Validation Data Gallery
Product Information
KHC3121 is a ready-to-use IHC kit for staining of SSR3. The kit provides all reagents, from antigen retrieval to cover slip mounting, that require little to no diluting or handling prior to use. Simply apply the reagents to your sample slide according to the protocol and you're steps away from obtaining high-quality IHC data.
| Product name | IHCeasy® SSR3 Ready-To-Use IHC Kit |
| Sample type | FFPE tissue |
| Assay type | Immunohistochemistry |
| Primary antibody type | Rabbit Polyclonal |
| Secondary antibody type | Polymer-HRP-Goat anti-Rabbit |
| Reactivity | Human, Mouse, Rat |
Kit components
| Component | Size | Concentration |
|---|---|---|
| Antigen Retrieval Buffer | 100 mL | 50× |
| Washing Buffer | 100 mL ×2 | 20× |
| Blocking Buffer | 5 mL | RTU |
| Primary Antibody | 5 mL | RTU |
| Secondary Antibody | 5 mL | RTU |
| Chromogen Component A | 0.2 mL | RTU |
| Chromogen Component B | 4 mL | RTU |
| Signal Enhancer | 5 mL | RTU |
| Counter Staining Reagent | 5 mL | RTU |
| Mounting Media | 5 mL | RTU |
| Datasheet | 1 Copy | |
| Manual | 1 Copy |
Background Information
Mammalian TRAP is a heterotetrameric membrane protein complex which comprised of four membrane proteins/subunits: alpha, beta, gamma, and delta. SSR3 is also known as translocon-associated protein subunit gamma (TRAPG). The signal sequence receptor (SSR) is a glycosylated endoplasmic reticulum (ER) membrane receptor associated with protein translocation across the ER membrane. SSR3 assumes a central position in the mammalian TRAP complex, binding to the ribosome on the cytosolic face of the ER membrane and coordinating the remaining TRAP subunits with the ribosome and the other translocon components.
Properties
| Storage Instructions | All the reagents are stored at 2-8°C. The kit is stable for 6 months from the date of receipt. |
| Synonyms | SSR 3, SSR gamma, SSR-gamma, Translocon-associated protein subunit gamma, TRAP gamma |






