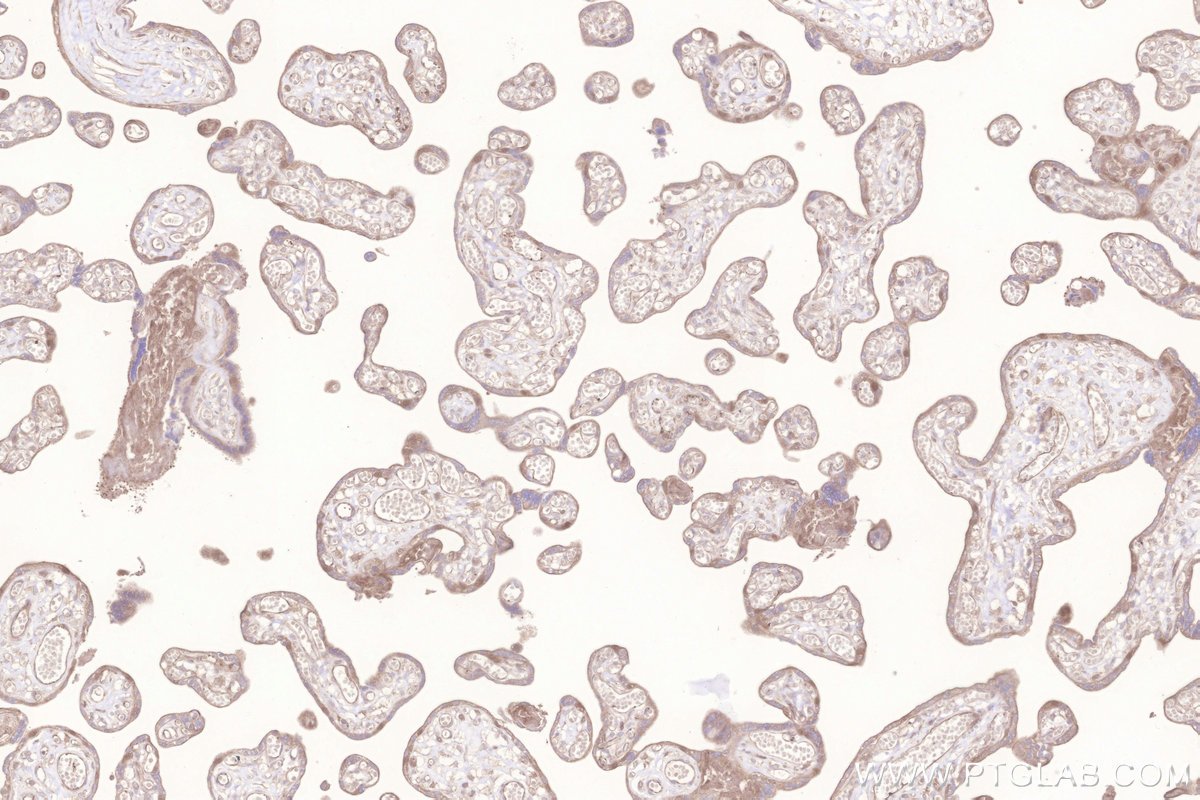
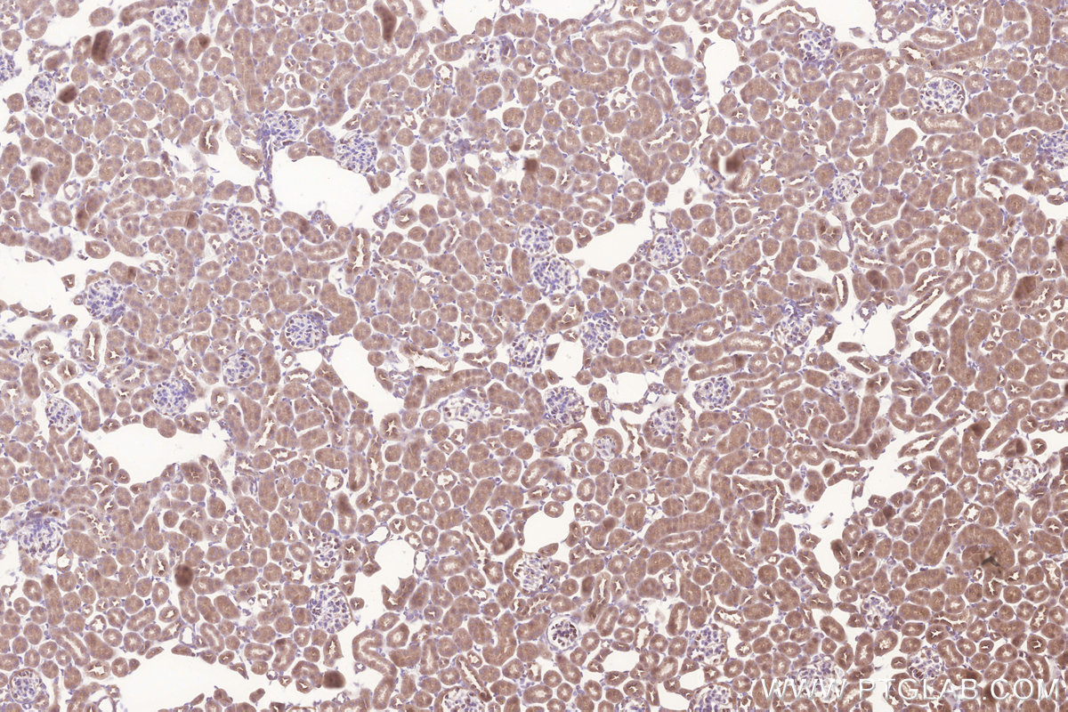
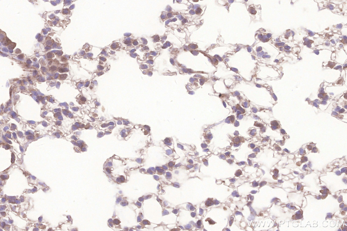
IHCeasy® GALNT10 Ready-To-Use IHC Kit
GALNT10 Ready-to-use reagent kit for IHC.
Reactivity
Human, Mouse
Sample Type
FFPE tissue
Cat no : KHC3281
Synonyms
EC:2.4.1.41, GalNAcT10, GalNAc-T10, Polypeptide N-acetylgalactosaminyltransferase 10, pp GalNAc T10
Validation Data Gallery
Product Information
KHC3281 is a ready-to-use IHC kit for staining of GALNT10. The kit provides all reagents, from antigen retrieval to cover slip mounting, that require little to no diluting or handling prior to use. Simply apply the reagents to your sample slide according to the protocol and you're steps away from obtaining high-quality IHC data.
| Product name | IHCeasy® GALNT10 Ready-To-Use IHC Kit |
| Sample type | FFPE tissue |
| Assay type | Immunohistochemistry |
| Primary antibody type | Rabbit Polyclonal |
| Secondary antibody type | Polymer-HRP-Goat anti-Rabbit |
| Reactivity | Human, Mouse |
Kit components
| Component | Size | Concentration |
|---|---|---|
| Antigen Retrieval Buffer | 100 mL | 50× |
| Washing Buffer | 100 mL ×2 | 20× |
| Blocking Buffer | 5 mL | RTU |
| Primary Antibody | 5 mL | RTU |
| Secondary Antibody | 5 mL | RTU |
| Chromogen Component A | 0.2 mL | RTU |
| Chromogen Component B | 4 mL | RTU |
| Signal Enhancer | 5 mL | RTU |
| Counter Staining Reagent | 5 mL | RTU |
| Mounting Media | 5 mL | RTU |
| Datasheet | 1 Copy | |
| Manual | 1 Copy |
Background Information
GALNT10 is a member of the N-acetylgalactosyltransferase family and an enzyme that catalyzes the first step in O-glycan synthesis. O-glycosylation is closely related to cell recognition, tumor cell growth, metastasis and adhesion. GALNT10 can change the cell connection and communication environment between cells, thus achieving specific biological effects. GALNT10 is highly expressed in many tumors and the tumor migration and invasion ability can be suppressed by inhibiting the expression of GALNT10. GALNT10 is a prognostic biomarker of high-grade ovarian serous cancer (HGSC) patients.
Properties
| Storage Instructions | All the reagents are stored at 2-8°C. The kit is stable for 6 months from the date of receipt. |
| Synonyms | EC:2.4.1.41, GalNAcT10, GalNAc-T10, Polypeptide N-acetylgalactosaminyltransferase 10, pp GalNAc T10 |



