验证数据展示
经过测试的应用
| Positive WB detected in | MDA-MB-231 cells, K-562 cells |
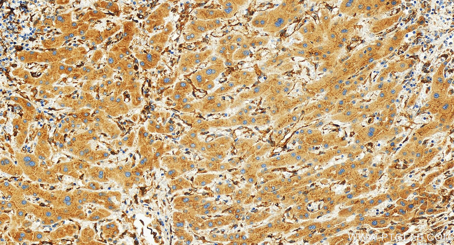
| Positive IHC detected in | human intrahepatic cholangiocarcinoma tissue Note: suggested antigen retrieval with TE buffer pH 9.0; (*) Alternatively, antigen retrieval may be performed with citrate buffer pH 6.0 |
| Positive FC (Intra) detected in | A549 cells |
推荐稀释比
| 应用 | 推荐稀释比 |
|---|---|
| Western Blot (WB) | WB : 1:5000-1:50000 |
| Immunohistochemistry (IHC) | IHC : 1:50-1:500 |
| Flow Cytometry (FC) (INTRA) | FC (INTRA) : 0.40 ug per 10^6 cells in a 100 µl suspension |
| It is recommended that this reagent should be titrated in each testing system to obtain optimal results. | |
| Sample-dependent, Check data in validation data gallery. | |
发表文章中的应用
| WB | See 1 publications below |
产品信息
83200-3-RR targets IGFBP4 in WB, IHC, FC (Intra), ELISA applications and shows reactivity with human samples.
| 经测试应用 | WB, IHC, FC (Intra), ELISA Application Description |
| 文献引用应用 | WB |
| 经测试反应性 | human |
| 文献引用反应性 | mouse |
| 免疫原 |
CatNo: Eg0825 Product name: Recombinant Human IGFBP-4 protein (His Tag) Source: mammalian cells-derived, pHZ-KIsec-C-6*HIS Tag: C-6*HIS Domain: 22-258 aa of NM_001552.3 Sequence: DEAIHCPPCSEEKLARCRPPVGCEELVREPGCGCCATCALGLGMPCGVYTPRCGSGLRCYPPRGVEKPLHTLMHGQGVCMELAEIEAIQESLQPSDKDEGDHPNNSFSPCSAHDRRCLQKHFAKIRDRSTSGGKMKVNGAPREDARPVPQGSCQSELHRALERLAASQSRTHEDLYIIPIPNCDRNGNFHPKQCHPALDGQRGKCWCVDRKTGVKLPGGLEPKGELDCHQLADSFRE 种属同源性预测 |
| 宿主/亚型 | Rabbit / IgG |
| 抗体类别 | Recombinant |
| 产品类型 | Antibody |
| 全称 | insulin-like growth factor binding protein 4 |
| 别名 | 230543F8, BP 4, BP4, Deb2, HT29 IGFBP |
| 计算分子量 | 28 kDa |
| 观测分子量 | 28-40 kDa |
| GenBank蛋白编号 | NM_001552.3 |
| 基因名称 | IGFBP4 |
| Gene ID (NCBI) | 3487 |
| RRID | AB_3670888 |
| 偶联类型 | Unconjugated |
| 形式 | Liquid |
| 纯化方式 | Protein A purfication |
| UNIPROT ID | P22692-1 |
| 储存缓冲液 | PBS with 0.02% sodium azide and 50% glycerol, pH 7.3. |
| 储存条件 | Store at -20°C. Stable for one year after shipment. Aliquoting is unnecessary for -20oC storage. |
背景介绍
IGFBP4, also named as IBP4, is a 258 amino acid protein, which contains one IGFBP N-terminal domain and one thyroglobulin type-1 domain. IGFBP4 is the smallest member of the insulin-like growth factor binding protein family (IGFBP). It is a hepatic protein that plays a role in modulating the activity and bioavailability of IGF-I. The expression of IGFBP4 was found to increase under conditions of hypoxia. IGFBP4 is highly expressed in adipocytes and osteoblasts and is inhibitory of IGFs in vitro. (PMID: 28938423, PMID: 34646401).
实验方案
| Product Specific Protocols | |
|---|---|
| FC protocol for IGFBP4 antibody 83200-3-RR | Download protocol |
| IHC protocol for IGFBP4 antibody 83200-3-RR | Download protocol |
| WB protocol for IGFBP4 antibody 83200-3-RR | Download protocol |
| Standard Protocols | |
|---|---|
| Click here to view our Standard Protocols |




