验证数据展示
经过测试的应用
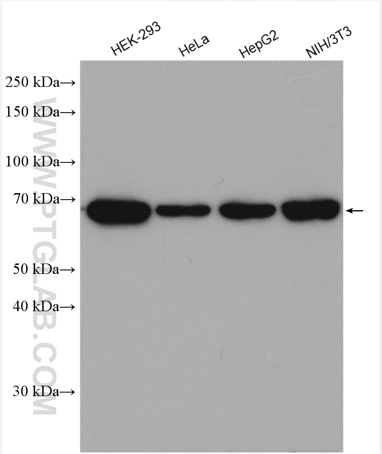
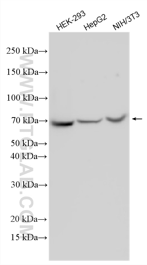
| Positive WB detected in | HEK-293 cells, BxPC-3 cells, HeLa cells, HepG2 cells, mouse brain tissue, mouse placenta tissue, NIH/3T3 cells |
| Positive IP detected in | HEK-293 cells |
| Positive IHC detected in | human pancreas tissue Note: suggested antigen retrieval with TE buffer pH 9.0; (*) Alternatively, antigen retrieval may be performed with citrate buffer pH 6.0 |
| Positive IF/ICC detected in | MCF-7 cells |
推荐稀释比
| 应用 | 推荐稀释比 |
|---|---|
| Western Blot (WB) | WB : 1:20000-1:100000 |
| Immunoprecipitation (IP) | IP : 0.5-4.0 ug for 1.0-3.0 mg of total protein lysate |
| Immunohistochemistry (IHC) | IHC : 1:50-1:500 |
| Immunofluorescence (IF)/ICC | IF/ICC : 1:10-1:100 |
| It is recommended that this reagent should be titrated in each testing system to obtain optimal results. | |
| Sample-dependent, Check data in validation data gallery. | |
产品信息
14642-1-AP targets IGF2BP3 in WB, IHC, IF/ICC, IP, CoIP, RIP, ELISA applications and shows reactivity with human, mouse samples.
| 经测试应用 | WB, IHC, IF/ICC, IP, ELISA Application Description |
| 文献引用应用 | WB, IHC, IF, IP, CoIP, RIP |
| 经测试反应性 | human, mouse |
| 文献引用反应性 | human, mouse, rat, pig |
| 免疫原 |
CatNo: Ag6226 Product name: Recombinant human IGF2BP3 protein Source: e coli.-derived, PGEX-4T Tag: GST Domain: 240-579 aa of BC065269 Sequence: AEKSITILSTPEGTSAACKSILEIMHKEAQDIKFTEEIPLKILAHNNFVGRLIGKEGRNLKKIEQDTDTKITISPLQELTLYNPERTITVKGNVETCAKAEEEIMKKIRESYENDIASMNLQAHLIPGLNLNALGLFPPTSGMPPPTSGPPSAMTPPYPQFEQSETETVHLFIPALSVGAIIGKQGQHIKQLSRFAGASIKIAPAEAPDAKVRMVIITGPPEAQFKAQGRIYGKIKEENFVSPKEEVKLEAHIRVPSFAAGRVIGKGGKTVNELQNLSSAEVVVPRDQTPDENDQVVVKITGHFYACQVAQRKIQEILTQVKQHQQQKALQSGPPQSRRK 种属同源性预测 |
| 宿主/亚型 | Rabbit / IgG |
| 抗体类别 | Polyclonal |
| 产品类型 | Antibody |
| 全称 | insulin-like growth factor 2 mRNA binding protein 3 |
| 别名 | IGF2 mRNA-binding protein 3, IGF2BP 3, IGF-II mRNA-binding protein 3, IMP 3, IMP3 |
| 计算分子量 | 64 kDa |
| 观测分子量 | 64 kDa |
| GenBank蛋白编号 | BC065269 |
| 基因名称 | IGF2BP3 |
| Gene ID (NCBI) | 10643 |
| RRID | AB_2122782 |
| 偶联类型 | Unconjugated |
| 形式 | Liquid |
| 纯化方式 | Antigen affinity purification |
| UNIPROT ID | O00425 |
| 储存缓冲液 | PBS with 0.02% sodium azide and 50% glycerol, pH 7.3. |
| 储存条件 | Store at -20°C. Stable for one year after shipment. Aliquoting is unnecessary for -20oC storage. |
背景介绍
IGF2BP3, also named IMP3, KOC1, and VICKZ3, belongs to the RRM IMP/VICKZ family. It is one of the RNA binding proteins involved in mRNA localization and translational control. IGF2BP3 is expressed during embryogenesis, as well as in some malignant tumors. It can be used as an independent prognostic factor for osteosarcoma. Both isoforms (64kd and 22kd) of IGFBP3 can be recognized by this antibody. And IGFBP3 is nuclear and cytoplasm stains.
实验方案
| Product Specific Protocols | |
|---|---|
| IF protocol for IGF2BP3 antibody 14642-1-AP | Download protocol |
| IHC protocol for IGF2BP3 antibody 14642-1-AP | Download protocol |
| IP protocol for IGF2BP3 antibody 14642-1-AP | Download protocol |
| WB protocol for IGF2BP3 antibody 14642-1-AP | Download protocol |
| Standard Protocols | |
|---|---|
| Click here to view our Standard Protocols |
发表文章
| Species | Application | Title |
|---|---|---|
Cancer Cell Lin28b is sufficient to drive liver cancer and necessary for its maintenance in murine models.
| ||
Cell Mol Immunol Inhibition of METTL3 in macrophages provides protection against intestinal inflammation | ||
Cell Res Oncogenic AURKA-enhanced N6-methyladenosine modification increases DROSHA mRNA stability to transactivate STC1 in breast cancer stem-like cells. | ||
Nat Cell Biol N6-methyladenosine regulates maternal RNA maintenance in oocytes and timely RNA decay during mouse maternal-to-zygotic transition. | ||
Mol Cell m6A modification negatively regulates translation by switching mRNA from polysome to P-body via IGF2BP3
|













