验证数据展示
经过测试的应用
| Positive WB detected in | MCF-7 cells, A549 cells, L02 cells |
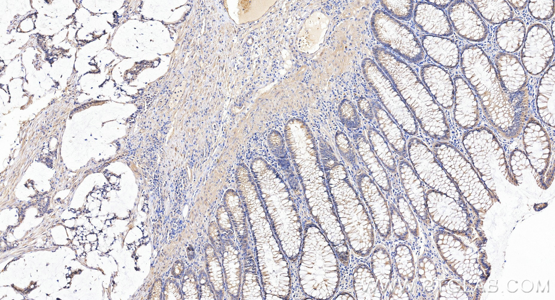
| Positive IHC detected in | human colon cancer tissue Note: suggested antigen retrieval with TE buffer pH 9.0; (*) Alternatively, antigen retrieval may be performed with citrate buffer pH 6.0 |
| Positive IF/ICC detected in | MCF-7 cells |
推荐稀释比
| 应用 | 推荐稀释比 |
|---|---|
| Western Blot (WB) | WB : 1:2000-1:10000 |
| Immunohistochemistry (IHC) | IHC : 1:500-1:2000 |
| Immunofluorescence (IF)/ICC | IF/ICC : 1:200-1:800 |
| It is recommended that this reagent should be titrated in each testing system to obtain optimal results. | |
| Sample-dependent, Check data in validation data gallery. | |
产品信息
84385-3-RR targets IGF1R/CD221 in WB, IHC, IF/ICC, ELISA applications and shows reactivity with human samples.
| 经测试应用 | WB, IHC, IF/ICC, ELISA Application Description |
| 经测试反应性 | human |
| 免疫原 |
Recombinant Protein 种属同源性预测 |
| 宿主/亚型 | Rabbit / IgG |
| 抗体类别 | Recombinant |
| 产品类型 | Antibody |
| 全称 | IGF I receptor |
| 别名 | IGF 1 receptor, IGF1R, IGF-I receptor, IGFIR, IGFR |
| 计算分子量 | 1367 aa, 155 kDa |
| 观测分子量 | 130 kDa |
| GenBank蛋白编号 | BC113612 |
| 基因名称 | IGF1R |
| Gene ID (NCBI) | 3480 |
| RRID | AB_3671921 |
| 偶联类型 | Unconjugated |
| 形式 | Liquid |
| 纯化方式 | Protein A purfication |
| UNIPROT ID | P08069 |
| 储存缓冲液 | PBS with 0.02% sodium azide and 50% glycerol, pH 7.3. |
| 储存条件 | Store at -20°C. Stable for one year after shipment. Aliquoting is unnecessary for -20oC storage. |
背景介绍
IGF1R, also named as CD221, is a receptor tyrosine kinase which mediates actions of INS-like growth factor 1 (IGF1). IGF1R binds IGF1 with high affinity and IGF2 and INS with a lower affinity, the activated IGF1R is involved in cell growth and survival control. It is crucial for tumor transformation and survival of malignant cells. IGF1R is translated as ~220 kDa pro-receptors (PMID: 33969359). IGF1R is a heterotetrameric receptor, composed of two alpha subunits (~130 kDa) and two beta subunits (~100-120 kDa) (PMID: 6279656). Both the alpha and beta subunits are synthesized from a single mRNA precursor. The precursor is then glycosylated, proteolytically cleaved, and crosslinked by cysteine bonds.
实验方案
| Product Specific Protocols | |
|---|---|
| IF protocol for IGF1R/CD221 antibody 84385-3-RR | Download protocol |
| IHC protocol for IGF1R/CD221 antibody 84385-3-RR | Download protocol |
| WB protocol for IGF1R/CD221 antibody 84385-3-RR | Download protocol |
| Standard Protocols | |
|---|---|
| Click here to view our Standard Protocols |



