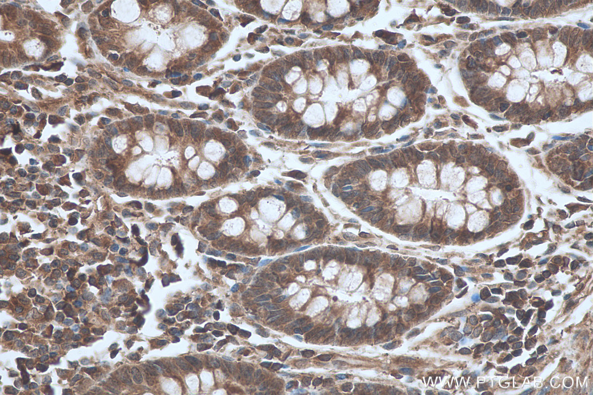
IHCeasy® IGF1R Ready-To-Use IHC Kit
IGF1R Ready-to-use reagent kit for IHC.
Reactivity
Human, Mouse, Rat
Sample Type
FFPE tissue
Cat no : KHC0737
Synonyms
CD221, IGF I receptor, IGF1R, IGF1R Beta Chain, IGF1R-Specific, IGFIR, IGF-IR beta, IGFR, JTK13
Validation Data Gallery
Product Information
KHC0737 is a ready-to-use IHC kit for staining of IGF1R. The kit provides all reagents, from antigen retrieval to cover slip mounting, that require little to no diluting or handling prior to use. Simply apply the reagents to your sample slide according to the protocol and you're steps away from obtaining high-quality IHC data.
| Product name | IHCeasy IGF1R Ready-To-Use IHC Kit |
| Sample type | FFPE tissue |
| Assay type | Immunohistochemistry |
| Primary antibody type | Mouse Monoclonal |
| Secondary antibody type | Polymer-HRP-Goat anti-Mouse |
| Reactivity | Human, Mouse, Rat |
Kit components
| Component | Size | Concentration |
|---|---|---|
| Antigen Retrieval Buffer | 100 mL | 50× |
| Washing Buffer | 100 mL ×2 | 20× |
| Blocking Buffer | 5 mL | RTU |
| Primary Antibody | 5 mL | RTU |
| Secondary Antibody | 5 mL | RTU |
| Chromogen Component A | 0.2 mL | RTU |
| Chromogen Component B | 4 mL | RTU |
| Signal Enhancer | 5 mL | RTU |
| Counter Staining Reagent | 5 mL | RTU |
| Mounting Media | 5 mL | RTU |
| Datasheet | 1 Copy | |
| Manual | 1 Copy |
Background Information
IGF1R, also named as CD221, belongs to the protein kinase superfamily, Tyr protein kinase family and INS receptor subfamily. IGF1R binds INS-like growth factor 1 (IGF1) with a high affinity and IGF2 with a lower affinity. It has a tyrosine-protein kinase activity, which is necessary for the activation of the IGF1-stimulated downstream signaling cascade. When present in a hybrid receptor with INSR, IGF1R binds IGF1. The hybrid receptors composed of IGF1R and INSR isoform Long are activated with a high affinity by IGF1, with low affinity by IGF2 and not significantly activated by INS, and that hybrid receptors composed of IGF1R and INSR isoform Short are activated by IGF1, IGF2 and INS. In contrast, the hybrid receptors composed of IGF1R and INSR isoform Long and hybrid receptors composed of IGF1R and INSR isoform Short have similar binding characteristics, both bind IGF1 and have a low affinity for INS. Defects in IGF1R may be a cause in some cases of resistance to INS-like growth factor 1 (IGF1 resistance).
Properties
| Storage Instructions | All the reagents are stored at 2-8°C. The kit is stable for 6 months from the date of receipt. |
| Synonyms | CD221, IGF I receptor, IGF1R, IGF1R Beta Chain, IGF1R-Specific, IGFIR, IGF-IR beta, IGFR, JTK13 |






