验证数据展示
经过测试的应用
| Positive WB detected in | HepG2 cells, K-562 cells, TF-1 cells |
| Positive IP detected in | ROS1728 cells |
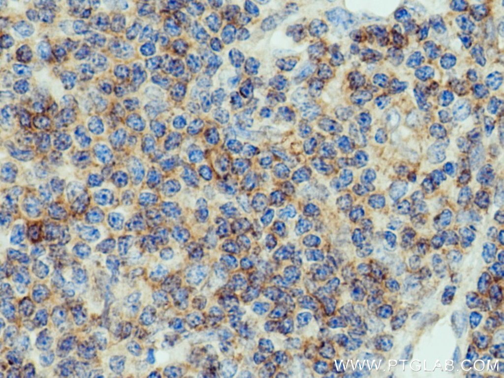
| Positive IHC detected in | human lymphoma tissue, mouse brain tissue Note: suggested antigen retrieval with TE buffer pH 9.0; (*) Alternatively, antigen retrieval may be performed with citrate buffer pH 6.0 |
推荐稀释比
| 应用 | 推荐稀释比 |
|---|---|
| Western Blot (WB) | WB : 1:500-1:1000 |
| Immunoprecipitation (IP) | IP : 0.5-4.0 ug for 1.0-3.0 mg of total protein lysate |
| Immunohistochemistry (IHC) | IHC : 1:50-1:500 |
| It is recommended that this reagent should be titrated in each testing system to obtain optimal results. | |
| Sample-dependent, Check data in validation data gallery. | |
产品信息
11727-3-AP targets IFITM1 in WB, IHC, IF, IP, ELISA applications and shows reactivity with human, mouse, rat samples.
| 经测试应用 | WB, IHC, IP, ELISA Application Description |
| 文献引用应用 | WB, IHC, IF |
| 经测试反应性 | human, mouse, rat |
| 文献引用反应性 | human, pig, goat, african green monkey |
| 免疫原 |
CatNo: Ag2320 Product name: Recombinant human IFITM1 protein Source: e coli.-derived, PGEX-4T Tag: GST Domain: 1-125 aa of BC000897 Sequence: MHKEEHEVAVLGAPPSTILPRSTVINIHSETSVPDHVVWSLFNTLFLNWCCLGFIAFAYSVKSRDRKMVGDVTGAQAYASTAKCLNIWALILGILMTIGFILLLVFGSVTVYHIMLQIIQEKRGY 种属同源性预测 |
| 宿主/亚型 | Rabbit / IgG |
| 抗体类别 | Polyclonal |
| 产品类型 | Antibody |
| 全称 | interferon induced transmembrane protein 1 (9-27) |
| 别名 | 9 27, 927, CD225, Dispanin subfamily A member 2a, DSPA2a |
| 计算分子量 | 14 kDa |
| 观测分子量 | 14-17 kDa |
| GenBank蛋白编号 | BC000897 |
| 基因名称 | IFITM1 |
| Gene ID (NCBI) | 8519 |
| RRID | AB_2122083 |
| 偶联类型 | Unconjugated |
| 形式 | Liquid |
| 纯化方式 | Antigen affinity purification |
| UNIPROT ID | P13164 |
| 储存缓冲液 | PBS with 0.02% sodium azide and 50% glycerol, pH 7.3. |
| 储存条件 | Store at -20°C. Stable for one year after shipment. Aliquoting is unnecessary for -20oC storage. |
背景介绍
IFITM1(interferon induced transmembrane protein), also named DSPA2a or interferon-induced protein 17 (IFI17), belongs to the CD225 family. It has two transmembrane domain and serves as an IFN-induced antiviral protein that mediates cellular innate immunity to at least three major human pathogens, influenza A H1N1 virus, West Nile virus (WNV), and dengue virus , by inhibiting the early steps of replication. IFITM proteins are recently identified as viral restriction factors that inhibit infection mediated by the influenza A virus (IAV) hemagglutinin (HA) protein. Also they serve as important components of the innate immune system to restrict HIV-1 infection.
实验方案
| Product Specific Protocols | |
|---|---|
| IHC protocol for IFITM1 antibody 11727-3-AP | Download protocol |
| IP protocol for IFITM1 antibody 11727-3-AP | Download protocol |
| WB protocol for IFITM1 antibody 11727-3-AP | Download protocol |
| Standard Protocols | |
|---|---|
| Click here to view our Standard Protocols |
发表文章
| Species | Application | Title |
|---|---|---|
Nature Mitotic progression following DNA damage enables pattern recognition within micronuclei. | ||
Nature Intrinsic retroviral reactivation in human preimplantation embryos and pluripotent cells.
| ||
Nat Immunol Exosomes mediate the cell-to-cell transmission of IFN-α-induced antiviral activity. | ||
Mol Ther Type 1 Interferon Responses Underlie Tumor-Selective Replication of Oncolytic Measles Virus. | ||
Nat Commun IFITM3 restricts virus-induced inflammatory cytokine production by limiting Nogo-B mediated TLR responses | ||
Int J Biol Macromol Matrin3 stimulates IFITM1 expression to negatively regulate hepatitis B virus RNA levels |







