验证数据展示
经过测试的应用
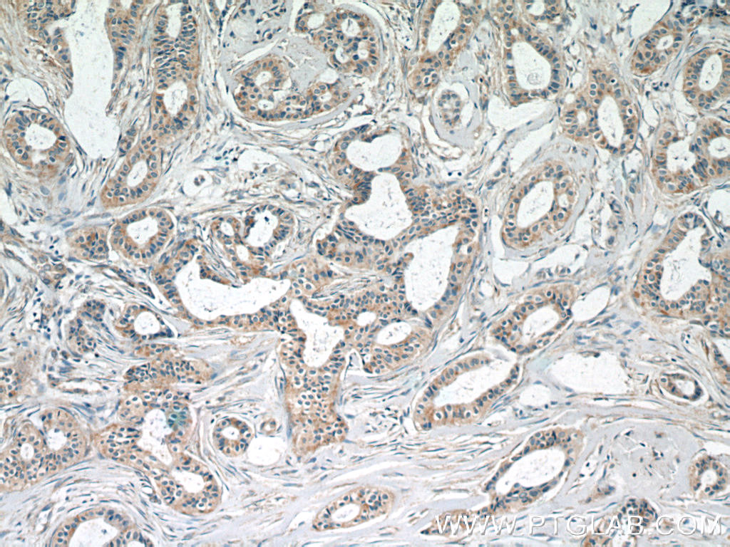
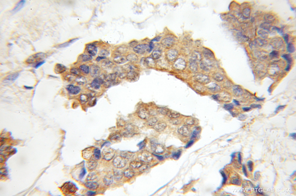
| Positive IHC detected in | human breast cancer tissue, human colon tissue Note: suggested antigen retrieval with TE buffer pH 9.0; (*) Alternatively, antigen retrieval may be performed with citrate buffer pH 6.0 |
推荐稀释比
| 应用 | 推荐稀释比 |
|---|---|
| Immunohistochemistry (IHC) | IHC : 1:50-1:500 |
| It is recommended that this reagent should be titrated in each testing system to obtain optimal results. | |
| Sample-dependent, Check data in validation data gallery. | |
发表文章中的应用
| WB | See 1 publications below |
| IHC | See 1 publications below |
产品信息
11246-1-AP targets G1P3 in WB, IHC, ELISA applications and shows reactivity with human samples.
| 经测试应用 | IHC, ELISA Application Description |
| 文献引用应用 | WB, IHC |
| 经测试反应性 | human |
| 文献引用反应性 | human |
| 免疫原 |
CatNo: Ag1765 Product name: Recombinant human G1P3 protein Source: e coli.-derived, PGEX-4T Tag: GST Domain: 1-130 aa of BC015603 Sequence: MRQKAVSLFLCYLLLFTCSGVEAGKKKCSESSDSGSGFWKALTFMAVGGGLAVAGLPALGFTGAGIAANSVAASLMSWSAILNGGGVPAGGLVATLQSLGAGGSSVVIGNIGALMGYATHKYLDSEEDEE 种属同源性预测 |
| 宿主/亚型 | Rabbit / IgG |
| 抗体类别 | Polyclonal |
| 产品类型 | Antibody |
| 全称 | interferon, alpha-inducible protein 6 |
| 别名 | 6 16, FAM14C, G1P3, IFI 6 16, IFI6, IFI616 |
| 计算分子量 | 13 kDa |
| GenBank蛋白编号 | BC015603 |
| 基因名称 | IFI6 |
| Gene ID (NCBI) | 2537 |
| RRID | AB_2121810 |
| 偶联类型 | Unconjugated |
| 形式 | Liquid |
| 纯化方式 | Antigen affinity purification |
| UNIPROT ID | P09912 |
| 储存缓冲液 | PBS with 0.02% sodium azide and 50% glycerol, pH 7.3. |
| 储存条件 | Store at -20°C. Stable for one year after shipment. Aliquoting is unnecessary for -20oC storage. |
背景介绍
G1P3, also named as IFI6, belongs to the FAM14 protein family and is localized in mitochondria. G1P3 is one of the interferon (IFN)-stimulated genes. It was reported as anti-apoptotic in myeloma, gastric and breast cancers (PMID: 29899394). G1P3 has 3 isoforms with the molecular mass of 13 kDa.
实验方案
| Product Specific Protocols | |
|---|---|
| IHC protocol for G1P3 antibody 11246-1-AP | Download protocol |
| Standard Protocols | |
|---|---|
| Click here to view our Standard Protocols |
发表文章
| Species | Application | Title |
|---|---|---|
Nat Immunol Exosomes mediate the cell-to-cell transmission of IFN-α-induced antiviral activity. | ||
Arthritis Rheumatol Role and Therapeutic Potential for Targeting Fibroblast Growth Factor 10/FGFR1 in Relapsed Rheumatoid Arthritis |






