验证数据展示
经过测试的应用
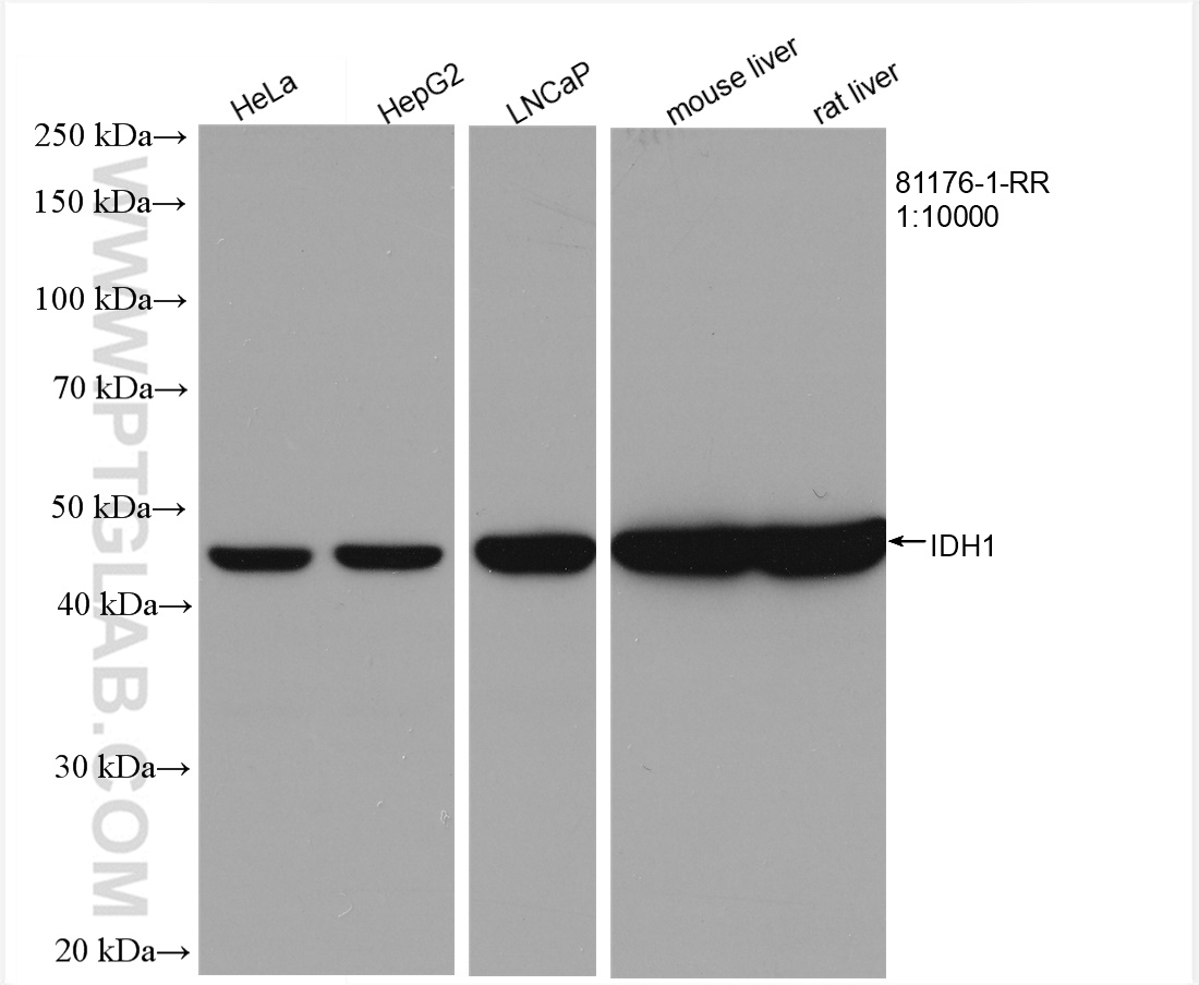
| Positive WB detected in | HeLa cells, HepG2 cells, LNCaP cells, mouse liver tissue, rat liver tissue |
| Positive IHC detected in | human gliomas tissue Note: suggested antigen retrieval with TE buffer pH 9.0; (*) Alternatively, antigen retrieval may be performed with citrate buffer pH 6.0 |
| Positive FC (Intra) detected in | HepG2 cells |
推荐稀释比
| 应用 | 推荐稀释比 |
|---|---|
| Western Blot (WB) | WB : 1:5000-1:50000 |
| Immunohistochemistry (IHC) | IHC : 1:50-1:500 |
| Flow Cytometry (FC) (INTRA) | FC (INTRA) : 0.25 ug per 10^6 cells in a 100 µl suspension |
| It is recommended that this reagent should be titrated in each testing system to obtain optimal results. | |
| Sample-dependent, Check data in validation data gallery. | |
产品信息
81176-1-RR targets IDH1 in WB, IHC, FC (Intra), ELISA applications and shows reactivity with human, mouse, rat samples.
| 经测试应用 | WB, IHC, FC (Intra), ELISA Application Description |
| 经测试反应性 | human, mouse, rat |
| 免疫原 |
CatNo: Ag19749 Product name: Recombinant human IDH1 protein Source: e coli.-derived, PGEX-4T Tag: GST Domain: 341-414 aa of BC012846 Sequence: AHRAKLDNNKELAFFANALEEVSIETIEAGFMTKDLAACIKGLPNVQRSDYLNTFEFMDKLGENLKIKLAQAKL 种属同源性预测 |
| 宿主/亚型 | Rabbit / IgG |
| 抗体类别 | Recombinant |
| 产品类型 | Antibody |
| 全称 | isocitrate dehydrogenase 1 (NADP+), soluble |
| 别名 | 6L18, Cytosolic NADP-isocitrate dehydrogenase, EC:1.1.1.42, IDCD, IDH |
| 计算分子量 | 414 aa, 47 kDa |
| 观测分子量 | 46 kDa |
| GenBank蛋白编号 | BC012846 |
| 基因名称 | IDH1 |
| Gene ID (NCBI) | 3417 |
| RRID | AB_2923706 |
| 偶联类型 | Unconjugated |
| 形式 | Liquid |
| 纯化方式 | Protein A purification |
| UNIPROT ID | O75874 |
| 储存缓冲液 | PBS with 0.02% sodium azide and 50% glycerol, pH 7.3. |
| 储存条件 | Store at -20°C. Stable for one year after shipment. Aliquoting is unnecessary for -20oC storage. |
背景介绍
IDH1, also named as PICD and IDP, belongs to the isocitrate and isopropylmalate dehydrogenases family. It is a common feature of a major subset of primary human brain cancers. It can form a homodimer(PMID:15173171). IDH1 mutation is always heterozygotic and IDH1 functions as a dimer, theoretically there will be 25% each wild type and mutant homo-dimers and 50% hetero-dimers present in the tumor cells(PMID:21079649 ).
实验方案
| Product Specific Protocols | |
|---|---|
| FC protocol for IDH1 antibody 81176-1-RR | Download protocol |
| IHC protocol for IDH1 antibody 81176-1-RR | Download protocol |
| WB protocol for IDH1 antibody 81176-1-RR | Download protocol |
| Standard Protocols | |
|---|---|
| Click here to view our Standard Protocols |




