验证数据展示
经过测试的应用
| Positive WB detected in | human blood tissue, HepG2 cells, human blood, human red blood cells |
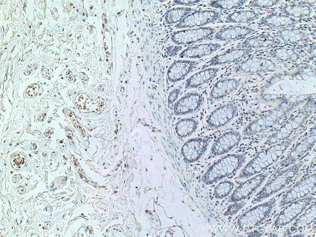
| Positive IHC detected in | human spleen tissue, human colon tissue, human placenta tissue Note: suggested antigen retrieval with TE buffer pH 9.0; (*) Alternatively, antigen retrieval may be performed with citrate buffer pH 6.0 |
| Positive IF-P detected in | mouse spleen tissue |
推荐稀释比
| 应用 | 推荐稀释比 |
|---|---|
| Western Blot (WB) | WB : 1:20000-1:100000 |
| Immunohistochemistry (IHC) | IHC : 1:2500-1:10000 |
| Immunofluorescence (IF)-P | IF-P : 1:200-1:800 |
| It is recommended that this reagent should be titrated in each testing system to obtain optimal results. | |
| Sample-dependent, Check data in validation data gallery. | |
发表文章中的应用
| WB | See 1 publications below |
产品信息
67014-1-Ig targets ICAM4 in WB, IHC, IF-P, ELISA applications and shows reactivity with human, mouse samples.
| 经测试应用 | WB, IHC, IF-P, ELISA Application Description |
| 文献引用应用 | WB |
| 经测试反应性 | human, mouse |
| 文献引用反应性 | human |
| 免疫原 |
CatNo: Ag27628 Product name: Recombinant human ICAM4 protein Source: e coli.-derived, PET28a Tag: 6*His Domain: 23-152 aa of BC029364 Sequence: ALGRRTKRAQSPKGSPLAPSGTSVPFWVRMSPEFVAVQPGKSVQLNCSNSCPQPQNSSLRTPLRQGKTLRGPGWVSYQLLDVRAWSSLAHCLVTCAGKTRWATSRITAYKPPHSVILEPPVLKGRKYTLR 种属同源性预测 |
| 宿主/亚型 | Mouse / IgG1 |
| 抗体类别 | Monoclonal |
| 产品类型 | Antibody |
| 全称 | intercellular adhesion molecule 4 (Landsteiner-Wiener blood group) |
| 别名 | CD242, ICAM 4, ICAM-4, Landsteiner-Wiener blood group glycoprotein, LW |
| 计算分子量 | 271 aa, 29 kDa |
| 观测分子量 | 38-42 kDa |
| GenBank蛋白编号 | BC029364 |
| 基因名称 | ICAM4 |
| Gene ID (NCBI) | 3386 |
| RRID | AB_2882330 |
| 偶联类型 | Unconjugated |
| 形式 | Liquid |
| 纯化方式 | Protein G purification |
| UNIPROT ID | Q14773 |
| 储存缓冲液 | PBS with 0.02% sodium azide and 50% glycerol, pH 7.3. |
| 储存条件 | Store at -20°C. Stable for one year after shipment. Aliquoting is unnecessary for -20oC storage. |
背景介绍
This gene encodes the Landsteiner-Wiener (LW) blood group antigen(s) that belongs to the immunoglobulin (Ig) superfamily, and that shares similarity with the intercellular adhesion molecule (ICAM) protein family. The protein migrate as a 42 kDa glycoprotein on SDS PAGE. Alternative splicing results in multiple transcript variants encoding distinct isoforms.
实验方案
| Product Specific Protocols | |
|---|---|
| IF protocol for ICAM4 antibody 67014-1-Ig | Download protocol |
| IHC protocol for ICAM4 antibody 67014-1-Ig | Download protocol |
| WB protocol for ICAM4 antibody 67014-1-Ig | Download protocol |
| Standard Protocols | |
|---|---|
| Click here to view our Standard Protocols |










