验证数据展示
经过测试的应用
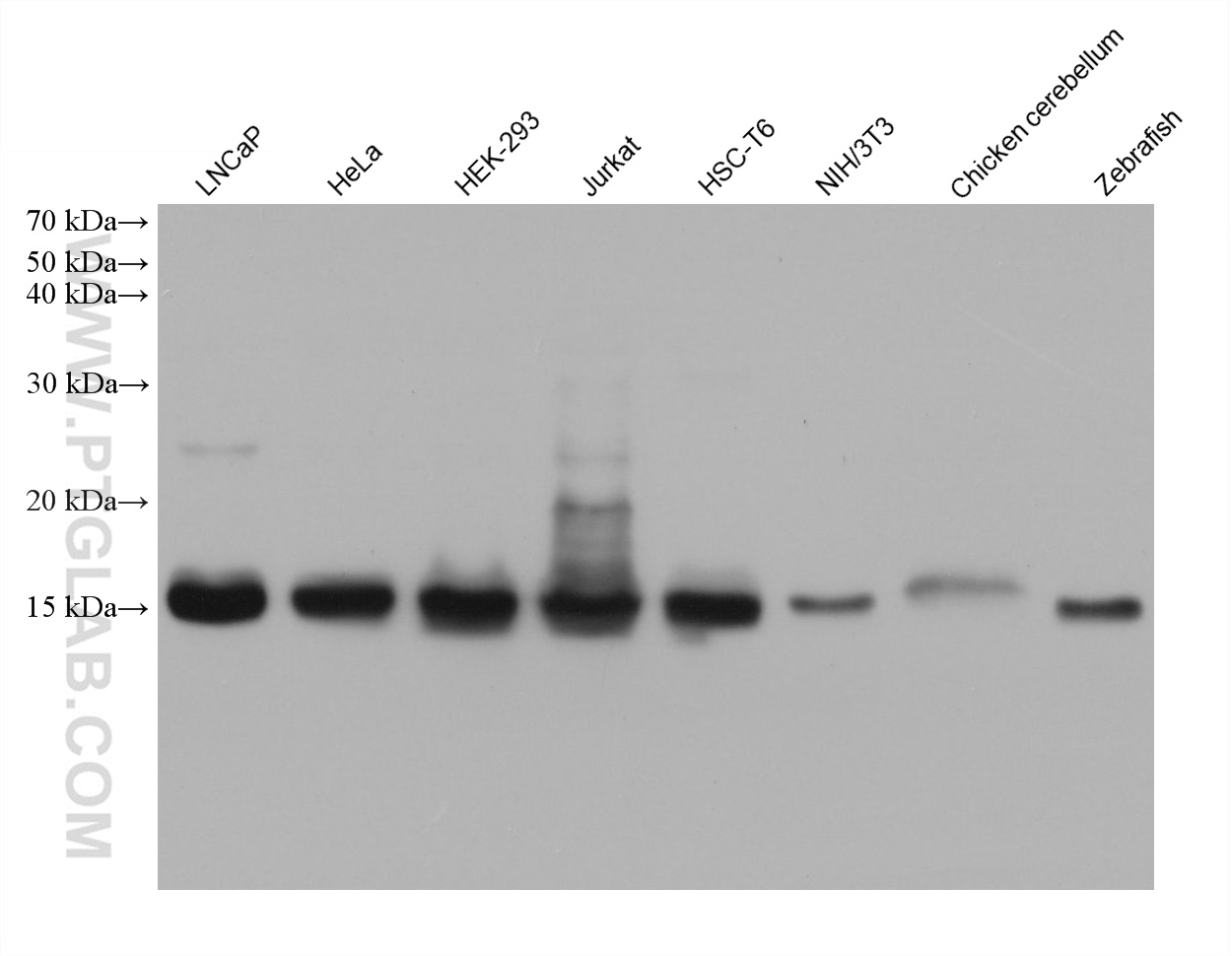
| Positive WB detected in | LNCaP cells, HeLa cells, HEK-293 cells, Jurkat cells, HSC-T6 cells, NIH/3T3 cells, chicken cerebellum tissue, zebrafish tissue |
| Positive IHC detected in | human lung cancer tissue Note: suggested antigen retrieval with TE buffer pH 9.0; (*) Alternatively, antigen retrieval may be performed with citrate buffer pH 6.0 |
| Positive IF/ICC detected in | HeLa cells |
| Positive FC (Intra) detected in | HeLa cells |
推荐稀释比
| 应用 | 推荐稀释比 |
|---|---|
| Western Blot (WB) | WB : 1:5000-1:50000 |
| Immunohistochemistry (IHC) | IHC : 1:250-1:1000 |
| Immunofluorescence (IF)/ICC | IF/ICC : 1:400-1:1600 |
| Flow Cytometry (FC) (INTRA) | FC (INTRA) : 0.40 ug per 10^6 cells in a 100 µl suspension |
| It is recommended that this reagent should be titrated in each testing system to obtain optimal results. | |
| Sample-dependent, Check data in validation data gallery. | |
发表文章中的应用
| WB | See 1 publications below |
产品信息
68393-1-Ig targets Histone H2B in WB, IHC, IF/ICC, FC (Intra), ELISA applications and shows reactivity with human, mouse, rat, chicken, zebrafish samples.
| 经测试应用 | WB, IHC, IF/ICC, FC (Intra), ELISA Application Description |
| 文献引用应用 | WB |
| 经测试反应性 | human, mouse, rat, chicken, zebrafish |
| 文献引用反应性 | human |
| 免疫原 |
Peptide 种属同源性预测 |
| 宿主/亚型 | Mouse / IgG1 |
| 抗体类别 | Monoclonal |
| 产品类型 | Antibody |
| 全称 | histone cluster 2, H2be |
| 别名 | HIST2H2BE, H2BC21, H2B/q, H2B.1, H2B |
| 计算分子量 | 14 kDa |
| 观测分子量 | 14-17 kDa |
| GenBank蛋白编号 | BC005827 |
| 基因名称 | Histone H2B |
| Gene ID (NCBI) | 8349 |
| RRID | AB_3085110 |
| 偶联类型 | Unconjugated |
| 形式 | Liquid |
| 纯化方式 | Protein G purification |
| UNIPROT ID | Q16778 |
| 储存缓冲液 | PBS with 0.02% sodium azide and 50% glycerol, pH 7.3. |
| 储存条件 | Store at -20°C. Stable for one year after shipment. Aliquoting is unnecessary for -20oC storage. |
背景介绍
Histones are nuclear proteins that are classified into five major protein groups: histones H2A, H2B, H3, and H4 are known as the core histones. Post-translationally modified H2B proteins can modulate the nucleosome/chromatin structure or DNA accessibility to affect the transcriptional pathways linked to embryonic development and cell differentiation. Monoubiquitination of histone H2B has emerged as an important chromatin modification with roles not only in transcription but also in cell differentiation, DNA repair or mRNA processing(PMID: 25027370).
实验方案
| Product Specific Protocols | |
|---|---|
| FC protocol for Histone H2B antibody 68393-1-Ig | Download protocol |
| IF protocol for Histone H2B antibody 68393-1-Ig | Download protocol |
| IHC protocol for Histone H2B antibody 68393-1-Ig | Download protocol |
| WB protocol for Histone H2B antibody 68393-1-Ig | Download protocol |
| Standard Protocols | |
|---|---|
| Click here to view our Standard Protocols |





