验证数据展示
经过测试的应用
| Positive WB detected in | HL-60 cells, K-562 cells, RT-4 cells, U-251 cells |
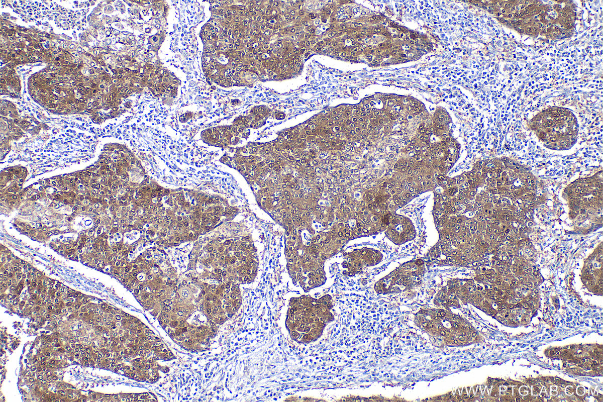
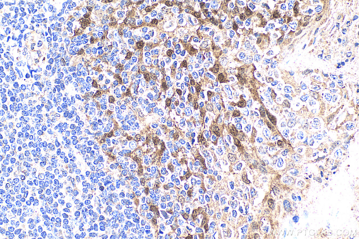
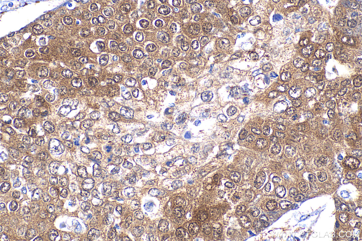
| Positive IHC detected in | human tonsillitis tissue, human lung cancer tissue Note: suggested antigen retrieval with TE buffer pH 9.0; (*) Alternatively, antigen retrieval may be performed with citrate buffer pH 6.0 |
推荐稀释比
| 应用 | 推荐稀释比 |
|---|---|
| Western Blot (WB) | WB : 1:1000-1:8000 |
| Immunohistochemistry (IHC) | IHC : 1:50-1:500 |
| It is recommended that this reagent should be titrated in each testing system to obtain optimal results. | |
| Sample-dependent, Check data in validation data gallery. | |
产品信息
32468-1-AP targets HSPA4L in WB, IHC, ELISA applications and shows reactivity with human samples.
| 经测试应用 | WB, IHC, ELISA Application Description |
| 经测试反应性 | human |
| 免疫原 |
CatNo: Ag38354 Product name: Recombinant human HSPA4L protein Source: e coli.-derived, PGEX-4T Tag: GST Domain: 690-839 aa of NM_001317381.1 Sequence: MKYMEHEERPKALNDLGKKIQLVMKVIEAYRNKDERYDHLDPTEMEKVEKCISDAMSWLNSKMNAQNKLSLTQDPVVKVSEIVAKSKELDNFCNPIIYKPKPKAEVPEDKPKANSEHNGPMDGQSGTETKSDSTKDSSQHTKSSGEMEVD* 种属同源性预测 |
| 宿主/亚型 | Rabbit / IgG |
| 抗体类别 | Polyclonal |
| 产品类型 | Antibody |
| 全称 | heat shock 70kDa protein 4-like |
| 别名 | APG1, Heat shock 70 kDa protein 4L, Heat shock 70-related protein APG-1, Heat shock protein family H member 3, Heat-shock protein family A member 4-like protein |
| 计算分子量 | 95kDa,839aa |
| 观测分子量 | 95~100 kDa |
| GenBank蛋白编号 | NM_001317381.1 |
| 基因名称 | HSPA4L |
| Gene ID (NCBI) | 22824 |
| 偶联类型 | Unconjugated |
| 形式 | Liquid |
| 纯化方式 | Antigen affinity Purification |
| UNIPROT ID | O95757 |
| 储存缓冲液 | PBS with 0.02% sodium azide and 50% glycerol, pH 7.3. |
| 储存条件 | Store at -20°C. Stable for one year after shipment. Aliquoting is unnecessary for -20oC storage. |
背景介绍
HSPA4L (Heat shock 70-kDa protein 4-like), also known as APG1 or OSP94, is a member of the heat shock protein 110 family, whose mRNA is strongly expressed in normal human testis and overexpressed in leukemia cells. HSPA4L was also restrictedly expressed in normal tissues and the its product was capable of eliciting a humoral immune response likely induced by its high-level expression in leukemia cells. Up-regulation of the Hspa4l gene in kidney and renal cell lines by osmotic stress suggested that Hspa4l may function to enable the kidney to compensate for osmotic stress present within the kidney (PMID: 16923965, 17588478).
实验方案
| Product Specific Protocols | |
|---|---|
| IHC protocol for HSPA4L antibody 32468-1-AP | Download protocol |
| WB protocol for HSPA4L antibody 32468-1-AP | Download protocol |
| Standard Protocols | |
|---|---|
| Click here to view our Standard Protocols |



