验证数据展示
发表文章中的应用
| WB | See 1 publications below |
产品信息
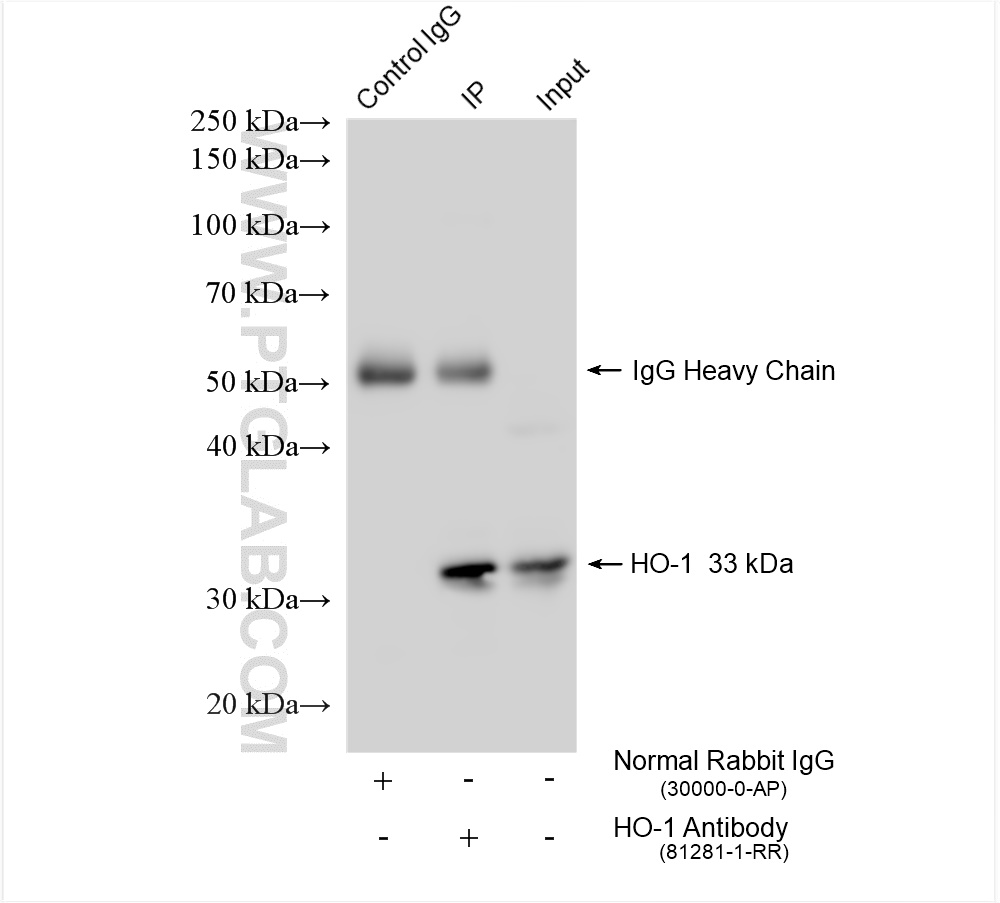
81281-1-PBS targets HO-1 in WB, IP, Indirect ELISA applications and shows reactivity with human, rat samples.
| 经测试应用 | WB, IP, Indirect ELISA Application Description |
| 文献引用应用 | WB |
| 经测试反应性 | human, rat |
| 文献引用反应性 | mouse |
| 免疫原 |
CatNo: Ag1190 Product name: Recombinant human HO-1 protein Source: e coli.-derived, PGEX-4T Tag: GST Domain: 1-288 aa of BC001491 Sequence: MERPQPDSMPQDLSEALKEATKEVHTQAENAEFMRNFQKGQVTRDGFKLVMASLYHIYVALEEEIERNKESPVFAPVYFPEELHRKAALEQDLAFWYGPRWQEVIPYTPAMQHYVKRLHEVGRTEPELLVAHAYTRYLGDLSGGQVLKKIAQKALDLPSSGEGLAFFTFPNIASATKFKQLYRSRMNSLEMTPAVRQRVIEEAKTAFLLNIQLFEELQELLTHDTKDQSPSRAPGLRQRASNKVQDSAPVETPRGKPPLNTRSQAPLLRWVLTLSFLVATVAVGLYAM 种属同源性预测 |
| 宿主/亚型 | Rabbit / IgG |
| 抗体类别 | Recombinant |
| 产品类型 | Antibody |
| 全称 | heme oxygenase (decycling) 1 |
| 别名 | HMOX1, HO-1/HMOX1, 2M6, bK286B10, EC:1.14.14.18 |
| 计算分子量 | 33 kDa |
| 观测分子量 | 33 kDa |
| GenBank蛋白编号 | BC001491 |
| 基因名称 | HO-1 |
| Gene ID (NCBI) | 3162 |
| 偶联类型 | Unconjugated |
| 形式 | Liquid |
| 纯化方式 | Protein A purification |
| UNIPROT ID | P09601 |
| 储存缓冲液 | PBS only, pH 7.3. |
| 储存条件 | Store at -80°C. The product is shipped with ice packs. Upon receipt, store it immediately at -80°C |
背景介绍
Heme oxygenase (HMOX1) catalyzes the first and rate-limiting step in the degradation of heme to yield equimolar quantities of biliverdin Ixa, carbon monoxide (CO), and iron. It has 3 isoforms: HO-1 is highly inducible, whereas HO-2 and HO-3 are constitutively expressed (PMID:10194478). Heme oxygenase-1 (HO-1) is expressed in many tissues and vascular smooth muscle cells, and endothelial cells (PMID:15451051) and has been identified as an important endogenous protective factor induced in many cell types by various stimulants, such as hemolysis, infiammatory cytokines,oxidative stress, heat shock, heavy metals, and endotoxin (PMID: 11522663).



