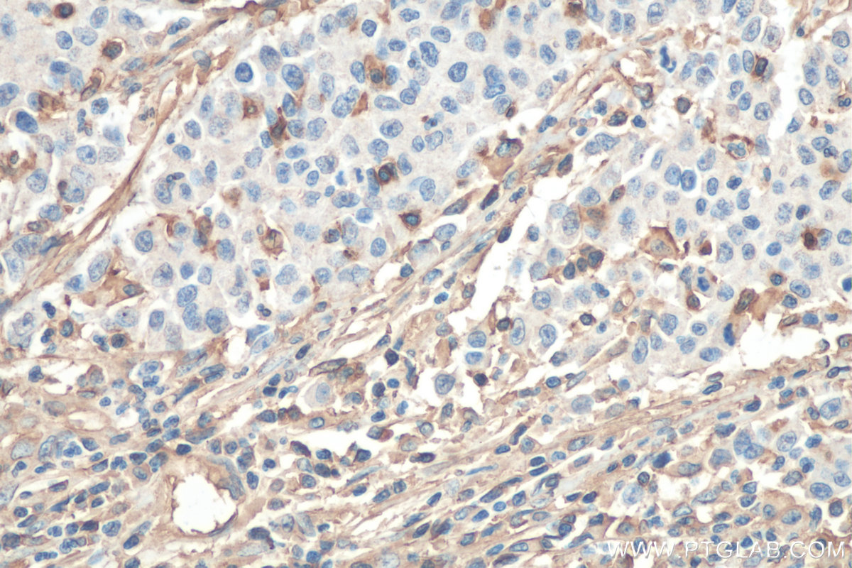
验证数据展示
产品信息
66013-1-PBS targets HLA class I ABC in WB, IHC, IF/ICC, FC, IP, Indirect ELISA applications and shows reactivity with human, pig samples.
| 经测试应用 | WB, IHC, IF/ICC, FC, IP, Indirect ELISA Application Description |
| 经测试反应性 | human, pig |
| 免疫原 |
CatNo: Ag7488 Product name: Recombinant human HLA class I (HLA-A) protein Source: e coli.-derived, PET28a Tag: 6*His Domain: 28-303 aa of BC003069 Sequence: SMRYFFTSVSRPGRGEPRFIAVGYVDDTQFVRFDSDAASQKMEPRAPWIEQEGPEYWDQETRNMKAHSQTDRANLGTLRGYYNQSEDGSHTIQIMYGCDVGPDGRFLRGYRQDAYDGKDYIALNEDLRSWTAADMAAQITKRKWEAVHAAEQRRVYLEGRCVDGLRRYLENGKETLQRTDPPKTHMTHHPISDHEATLRCWALGFYPAEITLTWQRDGEDQTQDTELVETRPAGDGTFQKWAAVVVPSGEEQRYTCHVQHEGLPKPLTLRWELSSQ 种属同源性预测 |
| 宿主/亚型 | Mouse / IgG2b |
| 抗体类别 | Monoclonal |
| 产品类型 | Antibody |
| 全称 | major histocompatibility complex, class I, A |
| 别名 | HLA-A, 5C5B7, HLA A, HLA class I, HLA class I (HLA-A) |
| 计算分子量 | 41 kDa |
| 观测分子量 | 40-44 kDa |
| GenBank蛋白编号 | BC003069 |
| 基因名称 | HLA-A |
| Gene ID (NCBI) | 3105 |
| RRID | AB_11042593 |
| 偶联类型 | Unconjugated |
| 形式 | Liquid |
| 纯化方式 | Protein A purification |
| UNIPROT ID | P04439 |
| 储存缓冲液 | PBS only, pH 7.3. |
| 储存条件 | Store at -80°C. The product is shipped with ice packs. Upon receipt, store it immediately at -80°C |
背景介绍
Human major histocompatibility complex (MHC) antigens, also referred to as human leukocyte antigens (HLA), are encoded by genes located on the short arm of chromosome 6 (6p21.3). There are two classes of HLA antigens: class I (HLA-A, B and C) and class II (HLA-D). This class I molecules are polymorphic membrane glycoproteins composed of a heavy (alpha) chain (44 kDa) which is encoded by a HLA class I gene (HLA-A, B or C), and β2-microglobulin light (beta) chain (12 kDa). They are involved in the presentation of foreign antigens to the immune system. (PMID: 667938; 3375250)

















