验证数据展示
经过测试的应用
| Positive WB detected in | HEK-293T cells, HeLa cells, HepG2 cells |
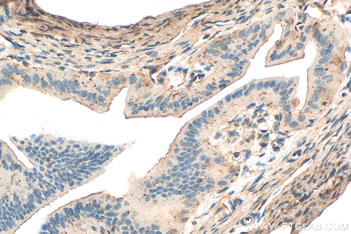
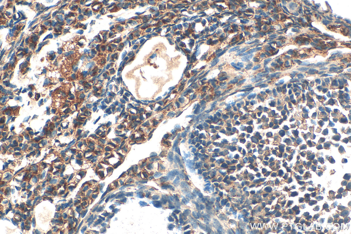
| Positive IHC detected in | mouse ovary tissue Note: suggested antigen retrieval with TE buffer pH 9.0; (*) Alternatively, antigen retrieval may be performed with citrate buffer pH 6.0 |
| Positive IF/ICC detected in | HepG2 cells |
| Positive FC (Intra) detected in | A2780 cells |
推荐稀释比
| 应用 | 推荐稀释比 |
|---|---|
| Western Blot (WB) | WB : 1:500-1:2000 |
| Immunohistochemistry (IHC) | IHC : 1:50-1:500 |
| Immunofluorescence (IF)/ICC | IF/ICC : 1:200-1:800 |
| Flow Cytometry (FC) (INTRA) | FC (INTRA) : 0.25 ug per 10^6 cells in a 100 µl suspension |
| It is recommended that this reagent should be titrated in each testing system to obtain optimal results. | |
| Sample-dependent, Check data in validation data gallery. | |
产品信息
21749-1-AP targets HIGD1A in WB, IHC, IF/ICC, FC (Intra), IP, ELISA applications and shows reactivity with human samples.
| 经测试应用 | WB, IHC, IF/ICC, FC (Intra), ELISA Application Description |
| 文献引用应用 | WB, IF, IP |
| 经测试反应性 | human |
| 文献引用反应性 | human |
| 免疫原 |
CatNo: Ag14027 Product name: Recombinant human HIGD1A protein Source: e coli.-derived, PET28a Tag: 6*His Domain: 1-93 aa of BC000601 Sequence: MSTDTGVSLPSYEEDQGSKLIRKAKEAPFVPVGIAGFAAIVAYGLYKLKSRGNTKMSIHLIHMRVAAQGFVVGAMTVGMGYSMYREFWAKPKP 种属同源性预测 |
| 宿主/亚型 | Rabbit / IgG |
| 抗体类别 | Polyclonal |
| 产品类型 | Antibody |
| 全称 | HIG1 hypoxia inducible domain family, member 1A |
| 别名 | HIG1, HIG1 domain family member 1A, HIG1 domain family member 1A, mitochondrial, HSPC010, Hypoxia-inducible gene 1 protein |
| 计算分子量 | 93 aa, 10 kDa |
| 观测分子量 | 10 kDa |
| GenBank蛋白编号 | BC000601 |
| 基因名称 | HIGD1A |
| Gene ID (NCBI) | 25994 |
| RRID | AB_10858789 |
| 偶联类型 | Unconjugated |
| 形式 | Liquid |
| 纯化方式 | Antigen affinity purification |
| UNIPROT ID | Q9Y241 |
| 储存缓冲液 | PBS with 0.02% sodium azide and 50% glycerol, pH 7.3. |
| 储存条件 | Store at -20°C. Stable for one year after shipment. Aliquoting is unnecessary for -20oC storage. |
背景介绍
HIG1 domain family member 1A (HIGD1A) is a proposed subunit of cytochrome c oxidase (COX, complex IV), which is the terminal component of the mitochondrial respiratory chain that catalyzes the reduction of oxygen to water. May play a role in the assembly of respiratory supercomplexes (22342701). It is induced by hypoxia induction.This antibody is a rabbit polyclonal antibody raised against a full-length human HIGD1A protein.
实验方案
| Product Specific Protocols | |
|---|---|
| WB protocol for HIGD1A antibody 21749-1-AP | Download protocol |
| IHC protocol for HIGD1A antibody 21749-1-AP | Download protocol |
| IF protocol for HIGD1A antibody 21749-1-AP | Download protocol |
| Standard Protocols | |
|---|---|
| Click here to view our Standard Protocols |
发表文章
| Species | Application | Title |
|---|---|---|
Proc Natl Acad Sci U S A Higd1a is a positive regulator of cytochrome c oxidase.
| ||
Oncogene DNA damage-induced translocation of mitochondrial factor HIGD1A into the nucleus regulates homologous recombination and radio/chemo-sensitivity.
| ||
Mol Cell Proteomics HIGD2A is Required for Assembly of the COX3 Module of Human Mitochondrial Complex IV
| ||
Mol Cell Proteomics HIGD2A is Required for Assembly of the COX3 Module of Human Mitochondrial Complex IV.
| ||
PLoS One Nuclear localization of the mitochondrial factor HIGD1A during metabolic stress. |





