验证数据展示
经过测试的应用
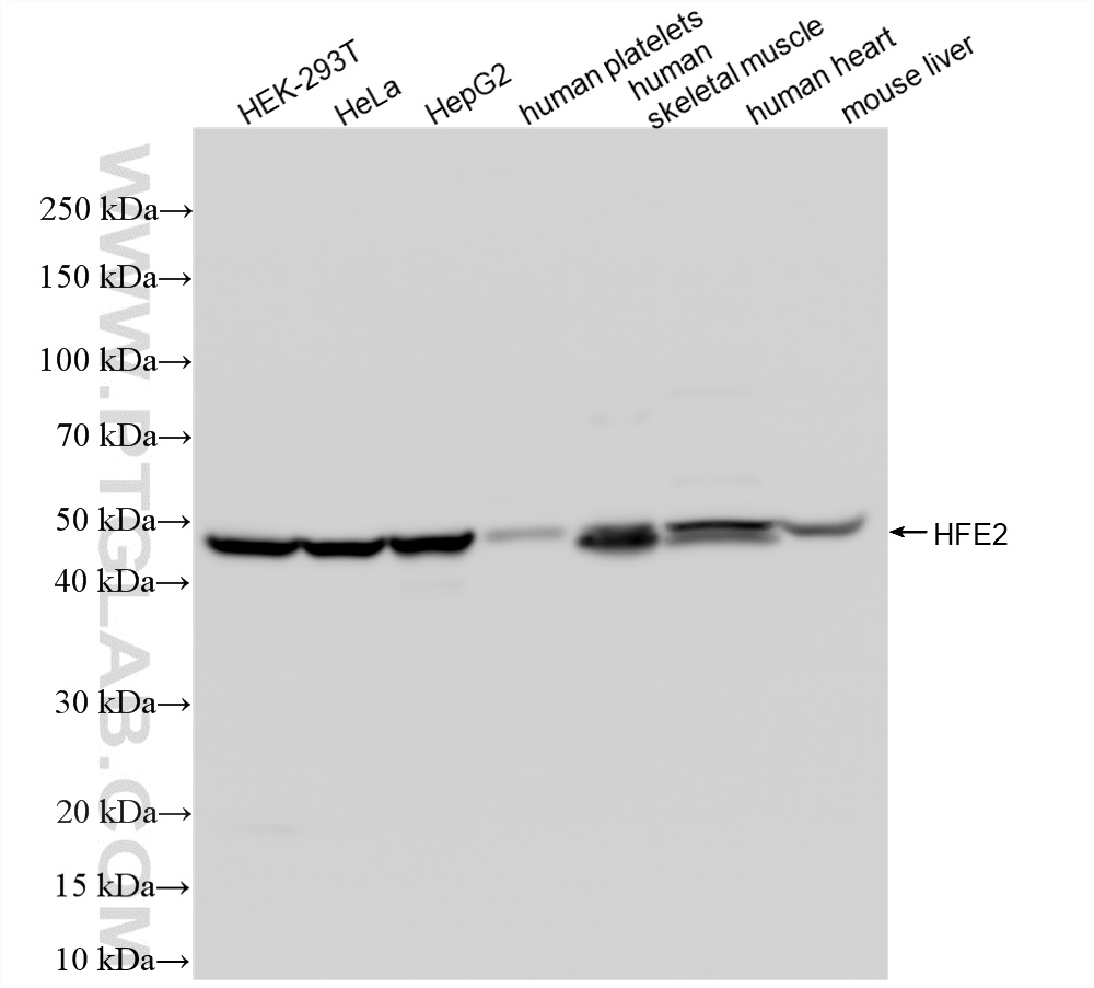
| Positive WB detected in | HEK-293T cells, HeLa cells, HepG2 cells, human platelets, human skeletal muscle tissue, human heart tissue, mouse liver tissue |
| Positive IF/ICC detected in | HepG2 cells |
推荐稀释比
| 应用 | 推荐稀释比 |
|---|---|
| Western Blot (WB) | WB : 1:1000-1:6000 |
| Immunofluorescence (IF)/ICC | IF/ICC : 1:50-1:500 |
| It is recommended that this reagent should be titrated in each testing system to obtain optimal results. | |
| Sample-dependent, Check data in validation data gallery. | |
产品信息
86775-3-RR targets HFE2/Hemojuvelin in WB, IF/ICC, ELISA applications and shows reactivity with human, mouse samples.
| 经测试应用 | WB, IF/ICC, ELISA Application Description |
| 经测试反应性 | human, mouse |
| 免疫原 |
CatNo: Ag2354 Product name: Recombinant human HFE2 protein Source: e coli.-derived, PGEX-4T Tag: GST Domain: 227-426 aa of BC017926 Sequence: MQECIDQKVYQAEVDNLPVAFEDGSINGGDRPGGSSLSIQTANPGNHVEIQAAYIGTTIIIRQTAGQLSFSIKVAEDVAMAFSAEQDLQLCVGGCPPSQRLSRSERNRRGAITIDTARRLCKEGLPVEDAYFHSCVFDVLISGDPNFTVAAQAALEDARAFLPDLEKLHLFPSDAGVPLSSATLLAPLLSGLFVLWLCIQ 种属同源性预测 |
| 宿主/亚型 | Rabbit / IgG |
| 抗体类别 | Recombinant |
| 产品类型 | Antibody |
| 全称 | hemochromatosis type 2 (juvenile) |
| 别名 | Hemojuvelin, HFE2, Hemochromatosis type 2 protein, Hemojuvelin BMP coreceptor, HFE2A |
| 计算分子量 | 426 aa, 45 kDa |
| 观测分子量 | 45 kDa |
| GenBank蛋白编号 | BC017926 |
| 基因名称 | HFE2 |
| Gene ID (NCBI) | 148738 |
| 偶联类型 | Unconjugated |
| 形式 | Liquid |
| 纯化方式 | Protein A purification |
| UNIPROT ID | Q6ZVN8 |
| 储存缓冲液 | PBS with 0.02% sodium azide and 50% glycerol, pH 7.3. |
| 储存条件 | Store at -20°C. Stable for one year after shipment. Aliquoting is unnecessary for -20oC storage. |
背景介绍
HFE2, also known as Hemojuvelin (HJV), is a GPI-anchored protein that binds to new proteins and bone morphogenetic proteins (BMP2 and BMP4) and can be released from the cell membrane. HFE2 plays a key role in the regulation of hepcidin, which regulates the absorption and recycling of iron.(PMID: 17331953; PMID: 17938254)
实验方案
| Product Specific Protocols | |
|---|---|
| IF protocol for HFE2/Hemojuvelin antibody 86775-3-RR | Download protocol |
| WB protocol for HFE2/Hemojuvelin antibody 86775-3-RR | Download protocol |
| Standard Protocols | |
|---|---|
| Click here to view our Standard Protocols |


