验证数据展示
经过测试的应用
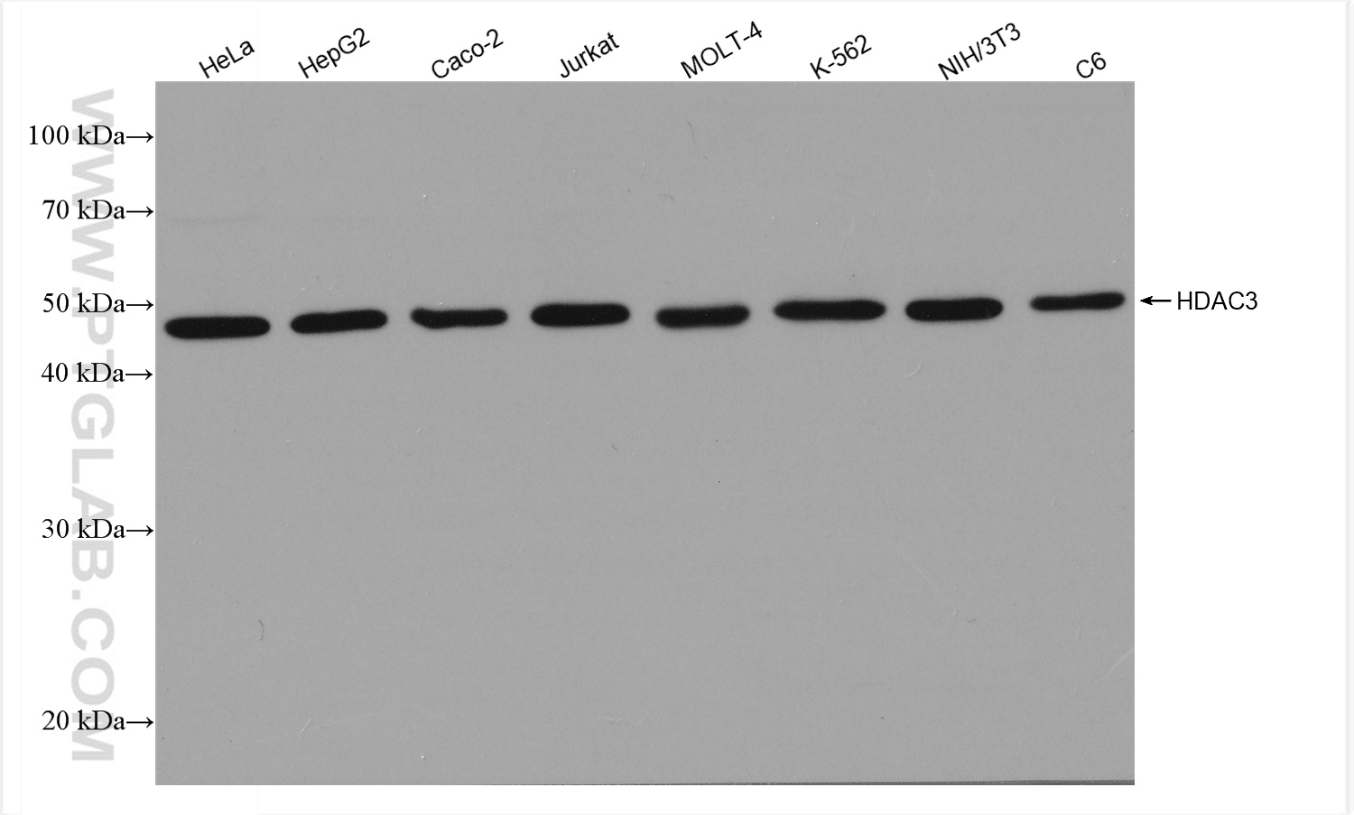
| Positive WB detected in | HeLa cells, HAP1 cells, HepG2 cells, MOLT-4 cells, Caco-2 cells, Jurkat cells, K-562 cells, NIH/3T3 cells, C6 cells |
| Positive IHC detected in | human thyroid cancer tissue, human liver cancer tissue Note: suggested antigen retrieval with TE buffer pH 9.0; (*) Alternatively, antigen retrieval may be performed with citrate buffer pH 6.0 |
推荐稀释比
| 应用 | 推荐稀释比 |
|---|---|
| Western Blot (WB) | WB : 1:5000-1:50000 |
| Immunohistochemistry (IHC) | IHC : 1:50-1:500 |
| It is recommended that this reagent should be titrated in each testing system to obtain optimal results. | |
| Sample-dependent, Check data in validation data gallery. | |
发表文章中的应用
| WB | See 1 publications below |
产品信息
81211-1-RR targets HDAC3 in WB, IHC, ELISA applications and shows reactivity with human, mouse, rat samples.
| 经测试应用 | WB, IHC, ELISA Application Description |
| 文献引用应用 | WB |
| 经测试反应性 | human, mouse, rat |
| 文献引用反应性 | human |
| 免疫原 |
CatNo: Ag0396 Product name: Recombinant human HDAC3 protein Source: e coli.-derived, PGEX-4T Tag: GST Domain: 187-395 aa of BC000614 Sequence: VMTVSFHKYGNYFFPGTGDMYEVGAESGRYYCLNVPLRDGIDDQSYKHLFQPVINQVVDFYQPTCIVLQCGADSLGCDRLGCFNLSIRGHGECVEYVKSFNIPLLVLGGGGYTVRNVARCWTYETSLLVEEAISEELPYSEYFEYFAPDFTLHPDVSTRIENQNSRQYLDQIRQTIFENLKMLNHAPSVQIHDVPADLLTYDRTDEADA 种属同源性预测 |
| 宿主/亚型 | Rabbit / IgG |
| 抗体类别 | Recombinant |
| 产品类型 | Antibody |
| 全称 | histone deacetylase 3 |
| 别名 | 2N1, EC:3.5.1.-, EC:3.5.1.98, HDAC 3, Histone deacetylase 3 |
| 计算分子量 | 49 kDa |
| 观测分子量 | 49 kDa |
| GenBank蛋白编号 | BC000614 |
| 基因名称 | HDAC3 |
| Gene ID (NCBI) | 8841 |
| RRID | AB_2923709 |
| 偶联类型 | Unconjugated |
| 形式 | Liquid |
| 纯化方式 | Protein A purification |
| UNIPROT ID | O15379 |
| 储存缓冲液 | PBS with 0.02% sodium azide and 50% glycerol, pH 7.3. |
| 储存条件 | Store at -20°C. Stable for one year after shipment. Aliquoting is unnecessary for -20oC storage. |
背景介绍
Histone acetylation/deacetylation alters chromosome structure and affects transcription factor access to DNA. Histone deacetylase (HDAC) and histone acetyltransferase (HAT) are enzymes that regulate transcription by selectively deacetylating or acetylating the (-amino groups of lysines located near the amino termini of core histone proteins. At least 4 classes of HDAC were identified. HDAC3 is a class I HDAC. HDAC3 has histone deacetylase activity and may participate in the regulation of transcription through its binding with the zinc-finger transcription factor YY1. HDAC3 can also down-regulate p53 function and thus modulate cell growth and apoptosis. The gene encoding HDAC3 is regarded as a potential tumor suppressor gene.
实验方案
| Product Specific Protocols | |
|---|---|
| WB protocol for HDAC3 antibody 81211-1-RR | Download protocol |
| IHC protocol for HDAC3 antibody 81211-1-RR | Download protocol |
| Standard Protocols | |
|---|---|
| Click here to view our Standard Protocols |






