验证数据展示
经过测试的应用
| Positive WB detected in | CHO cells, HEK-293 cells, mouse liver tissue, rat liver tissue |
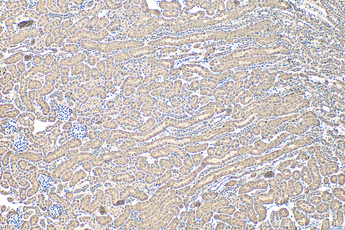
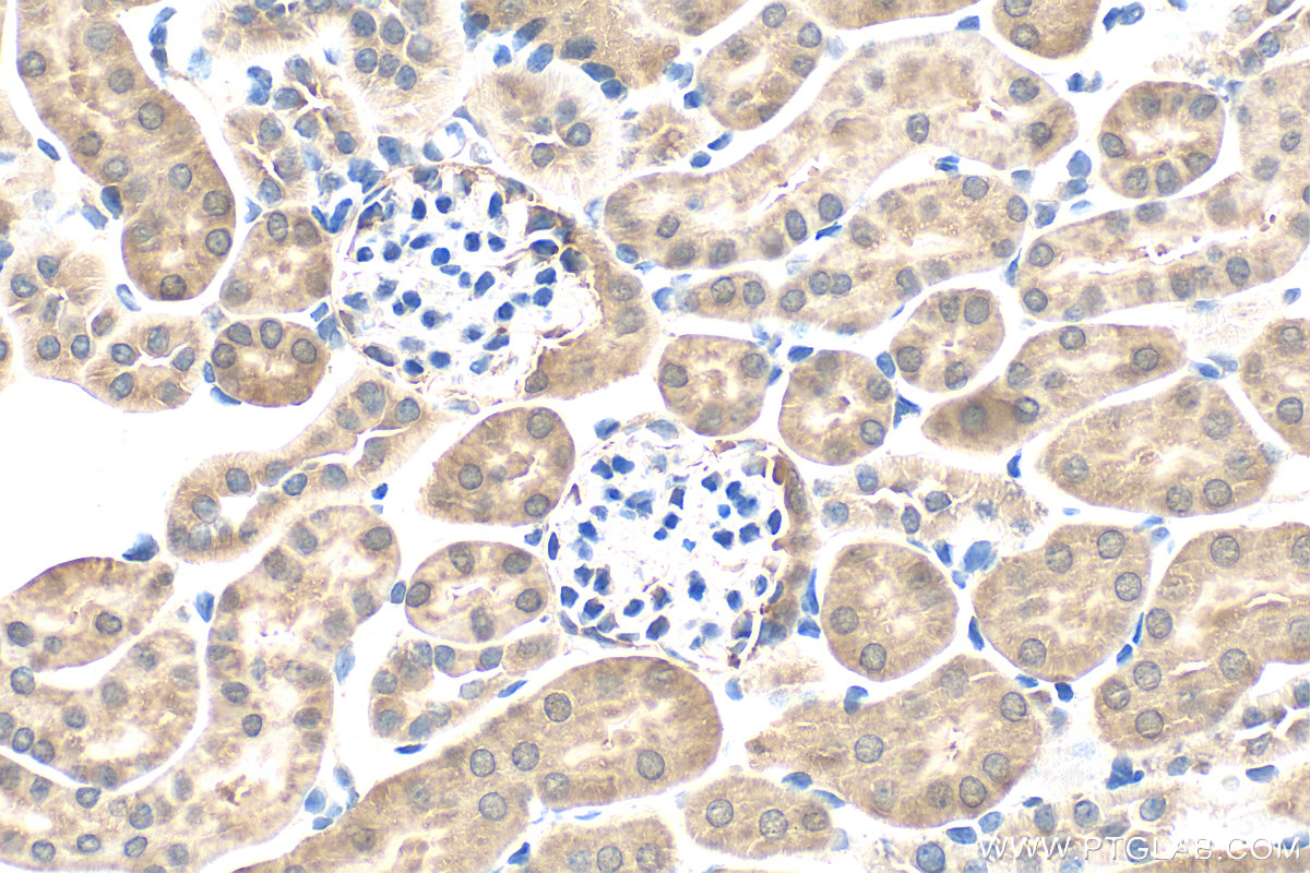
| Positive IHC detected in | human kidney tissue, mouse kidney tissue Note: suggested antigen retrieval with TE buffer pH 9.0; (*) Alternatively, antigen retrieval may be performed with citrate buffer pH 6.0 |
| Positive IF/ICC detected in | MDCK cells |
推荐稀释比
| 应用 | 推荐稀释比 |
|---|---|
| Western Blot (WB) | WB : 1:1000-1:4000 |
| Immunohistochemistry (IHC) | IHC : 1:100-1:400 |
| Immunofluorescence (IF)/ICC | IF/ICC : 1:50-1:500 |
| It is recommended that this reagent should be titrated in each testing system to obtain optimal results. | |
| Sample-dependent, Check data in validation data gallery. | |
产品信息
15712-1-AP targets GSS in WB, IHC, IF/ICC, ELISA applications and shows reactivity with human, mouse, rat, pig, canine, hamster samples.
| 经测试应用 | WB, IHC, IF/ICC, ELISA Application Description |
| 文献引用应用 | WB, IHC, IF |
| 经测试反应性 | human, mouse, rat, pig, canine, hamster |
| 文献引用反应性 | human, mouse, rat, pig, chicken |
| 免疫原 |
CatNo: Ag8338 Product name: Recombinant human GSS protein Source: e coli.-derived, PGEX-4T Tag: GST Domain: 125-474 aa of BC007927 Sequence: RSDYMFQRSADGSPALKQIEINTISASFGGLASRTPAVHRHVLSVLSKTKEAGKILSNNPSKGLALGIAKAWELYGSPNALVLLIAQEKERNIFDQRAIENELLARNIHVIRRTFEDISEKGSLDQDRRLFVDGQEIAVVYFRDGYMPRQYSLQNWEARLLLERSHAAKCPDIATQLAGTKKVQQELSRPGMLEMLLPGQPEAVARLRATFAGLYSLDVGEEGDQAIAEALAAPSRFVLKPQREGGGNNLYGEEMVQALKQLKDSEERASYILMEKIEPEPFENCLLRPGSPARVVQCISELGIFGVYVRQEKTLVMNKHVGHLLRTKAIEHADGGVAAGVAVLDNPYPV 种属同源性预测 |
| 宿主/亚型 | Rabbit / IgG |
| 抗体类别 | Polyclonal |
| 产品类型 | Antibody |
| 全称 | glutathione synthetase |
| 别名 | EC:6.3.2.3, Glutathione synthase, glutathione synthetase, GSH S, GSH synthetase |
| 计算分子量 | 474 aa, 52 kDa |
| 观测分子量 | 52 kDa |
| GenBank蛋白编号 | BC007927 |
| 基因名称 | GSS |
| Gene ID (NCBI) | 2937 |
| RRID | AB_2878171 |
| 偶联类型 | Unconjugated |
| 形式 | Liquid |
| 纯化方式 | Antigen affinity purification |
| UNIPROT ID | P48637 |
| 储存缓冲液 | PBS with 0.02% sodium azide and 50% glycerol, pH 7.3. |
| 储存条件 | Store at -20°C. Stable for one year after shipment. Aliquoting is unnecessary for -20oC storage. |
实验方案
| Product Specific Protocols | |
|---|---|
| IF protocol for GSS antibody 15712-1-AP | Download protocol |
| IHC protocol for GSS antibody 15712-1-AP | Download protocol |
| WB protocol for GSS antibody 15712-1-AP | Download protocol |
| Standard Protocols | |
|---|---|
| Click here to view our Standard Protocols |
发表文章
| Species | Application | Title |
|---|---|---|
ACS Nano Engineered Extracellular Vesicle-Delivered CRISPR/Cas9 for Radiotherapy Sensitization of Glioblastoma | ||
Adv Sci (Weinh) Paracrine Orchestration of Tumor Microenvironment Remodeling Induced by GLO1 Potentiates Lymph Node Metastasis in Breast Cancer | ||
Oxid Med Cell Longev IMCA Induces Ferroptosis Mediated by SLC7A11 through the AMPK/mTOR Pathway in Colorectal Cancer. | ||
Redox Biol γ-glutamylcysteine exhibits anti-inflammatory effects by increasing cellular glutathione level. | ||
Pharmacol Res Phyto-sesquiterpene lactones DET and DETD-35 induce ferroptosis in vemurafenib sensitive and resistant melanoma via GPX4 inhibition and metabolic reprogramming. | ||
FASEB J Taurine treatment prevents derangement of the hepatic γ-glutamyl cycle and methylglyoxal metabolism in a mouse model of classical homocystinuria: regulatory crosstalk between thiol and sulfinic acid metabolism. |






