验证数据展示
经过测试的应用
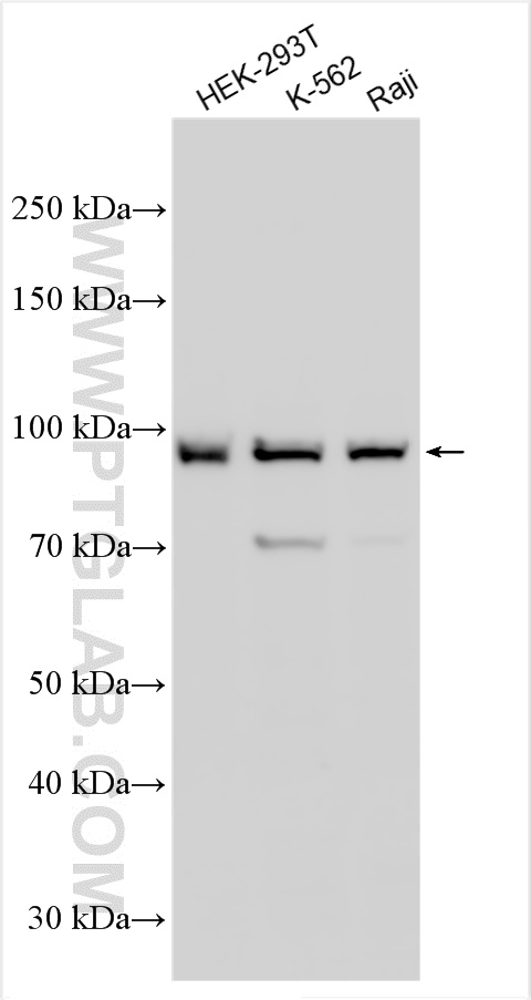
| Positive WB detected in | HEK-293T cells, K-562 cells, Raji cells |
推荐稀释比
| 应用 | 推荐稀释比 |
|---|---|
| Western Blot (WB) | WB : 1:500-1:2000 |
| It is recommended that this reagent should be titrated in each testing system to obtain optimal results. | |
| Sample-dependent, Check data in validation data gallery. | |
产品信息
55454-1-AP targets GSG2 in WB, ELISA applications and shows reactivity with human samples.
| 经测试应用 | WB, ELISA Application Description |
| 经测试反应性 | human |
| 免疫原 |
Peptide 种属同源性预测 |
| 宿主/亚型 | Rabbit / IgG |
| 抗体类别 | Polyclonal |
| 产品类型 | Antibody |
| 全称 | germ cell associated 2 (haspin) |
| 别名 | H haspin, HASPIN |
| 计算分子量 | 88 kDa |
| 观测分子量 | 90 kDa |
| GenBank蛋白编号 | NM_031965 |
| 基因名称 | GSG2 |
| Gene ID (NCBI) | 83903 |
| RRID | AB_3086451 |
| 偶联类型 | Unconjugated |
| 形式 | Liquid |
| 纯化方式 | Antigen affinity purification |
| UNIPROT ID | Q8TF76 |
| 储存缓冲液 | PBS with 0.02% sodium azide and 50% glycerol, pH 7.3. |
| 储存条件 | Store at -20°C. Stable for one year after shipment. Aliquoting is unnecessary for -20oC storage. |
背景介绍
Haploid germ cell-specific nuclear protein kinase (Haspin, alias GSG2) is an atypical eukaryotic protein kinase that was for a long time considered an inactive pseudokinase due to the low degree of structural homology of GSG2 with the 'classical' protein kinases (PMID: 29698892). GSG2 is a serine/threonine kinase that associates with chromosomes and phosphorylates threonine 3 of histone 3 during mitosis (PMID: 32439830).
实验方案
| Product Specific Protocols | |
|---|---|
| WB protocol for GSG2 antibody 55454-1-AP | Download protocol |
| Standard Protocols | |
|---|---|
| Click here to view our Standard Protocols |
